Jeder Fall ist anders. Mal sind vor allem die oberen, mal die unteren oder nur die vorderen, oder selten auch alle Zähne gleichermassen betroffen. Je nachdem kann man dann nur
Diese Kollegen machen auch Bisserhöhungen mit Komposit:
Dr. med. dent. Stefanie HirtMitglied SSOLeimern 3 CH-3150 Schwarzenburg Tel 031 731 07 51 Email: zahnarztpraxis@drhirt.ch Webseite: Zahnarztpraxis Dr. Hirt
|
Dr. med. dent. Christian KallweitMitglied SSOGähwilerstrasse 27 CH-9533 Kirchberg Tel 071 931 70 75 Email: christian@kallweit.ch Webseite: Zahnarztpraxis Kirchberg
|
Hinweis: In Deutschland gibt es keine Kassenleistung für eine Bisshebung, weil sie per se keine Sachleistung ist. Hier tritt sie bloss als ein sekundärer Nebeneffekt auf bei der Wiederherstellung abrasiv verloren gegangener Zahnhartsubstanz. Verrechnet wird keine Bisshebung, sondern nur je eine Kompositfüllung pro restauriertem Zahn. Zusatzversicherungen können Bisserhöhungen ausdrücklich einschliessen.
Normalerweise entstehen abgenützte einzelne Zähne und Bissenkungen durch mechanischen Abrieb und gleichzeitige Entkalkung der Zähne. Dies geschieht, wenn jemand häufig knirscht und saure Speisen und Getränke konsumiert.
Ca. 60% der Betroffenen haben keine Schmerzen (ausser zeitweise süss- oder kaltempfindliche Zähne). In diesen Fällen ist eine Bisshebung mit Komposit eine gute Lösung.
Ca. 30% der Betroffenen haben aber zudem auch Muskelschmerzen in den Wangen und/oder Kopfschmerzen in der Stirn. Diese Schmerzen verschwinden nicht ohne ein Kaugummi-Verbot und/oder eine Aufbissschiene (wie NTI).
Manchmal überwiegt der mechanische Abrieb (Rohkost), manchmal eher die Säure (Bulimie, fluoridfreie Zahnpasten). Je nachdem ist auch die Essgewohnheit resp. die Zahnpaste zu bedenken.
Bei weniger als 10% der Betroffenen haben die Schmerzen weitere Ursachen (wie zwanghaftes Knirschen oder eine Erkrankung eines Kiefergelenks), was ein synoptisches Vorgehen ratsam macht.
Nächtliches Knirschen kann man mit einer kleinen NTI- oder FOS-Knirscherschiene verhindern. Es gibt auch grosse Knirscherschienen (Michigan-Schienen, Plastikschienen zum selber anpassen). Diese verhindern das Knirschen jedoch nicht. Sie schützen zwar die Zähne, sind aber auch Trainingsgeräte für die Knirschermuskeln.
Tagsüber kann man sich das Knirschen bewusst abgewöhnen (oft helfen dazu bunte Erinnerungskleber, die man an verschiedenen Orten anbringt). Man kann natürlich auch die Knirscherschiene am Tag tragen (zum Beispiel bei gewissen Arbeiten). Wichtig ist ein Verzicht auf Kaugummi. Kaugummi-Kauen trainiert die Knirschermuskeln.
Es kommt vor allem darauf an, dass man nur vereinzelt etwas Saures isst. Einmal pro Tag ist kein Problem.
Aber dreimal täglich und dazu noch bei den Zwischenmahlzeiten ist zu viel.
Die Säure wirkt sofort, und der Abtrag des sauren Dentins geschieht sofort während des Kauens.
Sowohl Früchte als auch Salatsaucen mit Essig wirken abrasiv.
Es gibt Zahnpasten (zum Beispiel Duraphat), welche viel Fluorid enthalten und so das Dentin widerstandsfähig gegen Säuren machen.
Man kann sie auch nur ein- oder zweimal pro Woche nehmen.
Einmal Zähneputzen pro Tag genügt vollauf. Dreimal pro Tag ist zu viel. Wichtig ist, das man zuerst die Zahnzwischenräume putzt (Interdentalbürste ist ideal, Zahnseide und Zahnstocher putzen nicht so gut). Wenn die Zwischenräume sauber sind, profitieren sie auch von der Zahnpasta.
Die Zähne werden am meisten durch Raucher-Zahnpasten und solche für weisse Zähne abgeschliffen. Sie haben die höchsten RDA-Werte. Man sollte sie nur einmal pro Woche verwenden, wenn die Zähne abgenützt sind.
Michigan-Schiene: bis 1000 CHF.
NTI- und FOS-Schiene: 250-300 CHF
Plastik-Schiene aus dem Handel: 50-80 CHF
Zahnpasten, die das Dentin stärken:
Duraphat, Parodontax F
Diese Zahnpasten wirken auch bei einem süss-empfindlichen Zahn. Dann werden sie mit dem Finger auf die empfindliche Stelle gestrichen.
Wasser hat eine RDA-Wert von 0. Die Borsten der Zahnbürsten sind aus Nylon
Die Zahnpaste soll einen RDA-Faktor von 30 oder weniger haben (wie Elmex grün oder "sensitive"-Zahnpasten).
Man kann die Zähne auch nur mit einem Mundspülmittel (Listerine etc.) putzen (RDA = 0).

Der erodierte Frontzahn ist eine häufige Erscheinung bei Leuten, die viel Rohkost und Früchte essen. Erodierte Zähne werden mit den Jahren emfpindlich, weil das Dentin über dem Nerv immer dünner wird. Solche Defekte lassen sich heute sehr leicht mit Komposit reparieren.
Die blauen Flecken sind Reste vom Poliergummi und fallen von selber nach kurzer Zeit ab.
Gesamte Arbeitszeit: 30 Minuten.

Diese Frontzähne wurden durch viel Knirschen abradiert. Stehen sie
im Kopfbiss (die Schneidekanten treffen genau aufeinander), so werden alle gleichmässig kürzer. Beim non−invasiven Vorgehen ist die Klebefläche für das Komposit minimal klein und hält schlecht.
Beim invasiven Vorgehen wird der
Schmelz
rund um den Zahn abgeschliffen. Und beim minimal-invasiven Vorgang
wird nur die Vorderfläche wegen der Ästhetik etwas beschliffen.

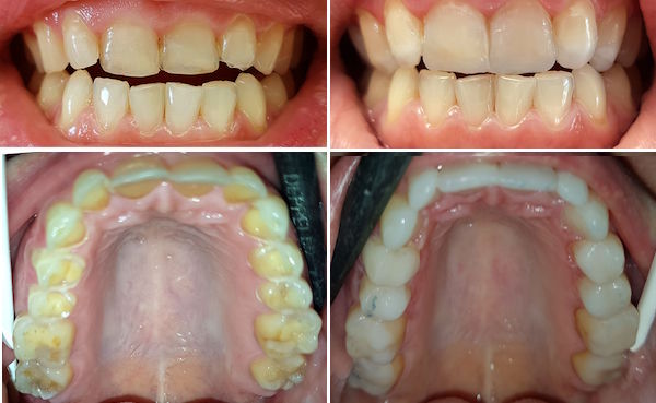
48-jähriger Patient (30.01.2021 / 8084)
1: Abnützung der Seitenzähne durch links-rechts-Knirschen. Die Höcker haben scharfkantige Schlifffacetten.
2: Abnützung der Zahnhälse durch zu häufiges Zähneputzen mit einer Zahnpaste mit hohem RDA-Wert. Das Dentin am Zahnhals wird durch Säuren UND durch das Knirschen aufgeweicht.
3: Abnützung der Kauflächen durch Säuren und Rohkost. Das gelbliche Dentin neben den Füllungen hat Poren und saugt die Säuren sofort auf.
4: Abnützung der Schneidekanten durch vor-und-zurück-Knirschen. Die oberen Schneidekanten werden durchsichtig, die unteren brechen manchmal etwas ab.
Beachte: Alle diese Abnützungen sind nicht schlimm. Das Gebiss bleibt voll funktionsfähig, Man kann die abgenützten Stellen nach Wunsch jederzeit mit Komposit nur abdecken oder auch etwas aufbauen (=Bisshebung).
| Einfach ist ein Fall | • wenn nur Prämolaren oder Frontzähne vorhanden sind, |
|---|---|
| • wenn nur ein Kiefer betroffen ist, | |
| • wenn es ein ruhiger Patient ist. |

70-jähriger Patient (27.01.2016 / 618)
Anamnese: Der Patient knirscht fest, betreibt aber eine sehr gute Mundhygiene. Bereits 1995 mussten die Seitenzähne 2 Millimeter erhöht werden. Jetzt, 20 Jahre später, sind auch die vorderen Zähne abgenutzt, irritieren mit den scharfen Kanten die Zunge und klemmen (wegen dem Deckbiss) manchmal die Lippe ein.
10:12 Uhr: Abgenützte Frontzähne
10:27 Uhr: Unter dem Kofferdam wird alles noch deutlicher. Nun werden alle braunen Stellen leicht beschliffen, der Schmelz angeschrägt, dann Säure und Syntac appliziert, und dann das Tetric und EvoCeram in kleinen Portionen angesetzt und schön verstrichen.
10:53 Uhr: Die grob aufgebauten Zähne. Jetzt wird der Kofferdam entfernt und die "Füllungen" grob eingeschliffen, bis sie links und rechts gleichzeitig zusammenkommen beim Zubeissen.
12:11 Uhr: Die grob polierten Zähne. Nun fehlen noch die Stockzähne: links unten drei, und rechts unten zwei. Die sind relativ leicht aufzubauen, weil der Patient einfach ins weiche EvoCeram beissen kann, und schon stimmt die Höhe und alle Zähne sind erhöht, also der "Biss gehoben".
Nachkontrolle 1 Tag später: Der Patient ist sehr zufrieden und möchte nur noch zwei drei etwas rauhe Stellen polieren lassen. Er konnte sofort wieder
gut essen - wie früher.
Arbeitsszeit: ca. 2.5 Stunden
Kosten: CHF 950.-

76-jähriger Patient (09.04.2019 / 6311)
Anamnese: Der Patient kam auf Wunsch seiner Tochter. Das Sozialamt erteilte bereits nach 3 Tagen subsidiär eine Kostengutsprache.
Arbeitsszeit 1. Sitzung: 2 1/4 Stunden
Kosten: CHF 946.60
Falls der Patient wieder kommt, wird der Eckzahn fertig wurzelbehandelt und aufgebaut. Die weiteren Zahnschäden sind nicht dringend und empfindet der Patient wohl auch nicht als dringend.

81-jähriger Patient (17.07.2024 / 6311)
Anamnese: Inzwischen ist der Patient noch 14 Mal gekommen: 6 mal zur Zahnreinigung und 8 mal zum Zahnarzt. Dafür hat er etwa 3'800 CHF ausgegeben. Das Resultat ist nur teilweise erfreulich.
Befund: Aus parodontalen und kariösen Gründen sind in dieser Zeit noch zwei Molaren und zwei untere Frontzähne verloren gegangen. Die verlängerten Frontzähne halten und sind zum Kauzentrum geworden.

37-jährige Patientin (07.02.2025 / 8794)
Anamnese: Die Patientin bekam letzten Sommer zwei Teilkronen. Da fühlte sich der Biss aber komisch an, und seit seit zwei Monaten schmerzt er beim Kauen unerträglich und kann sie sich nur noch mit Flüssigkeiten ernähren. Ihre Zahnärztin hat mehrmals eingeschliffen und meinte zuletzt, es stimme alles und sie schleife nicht weiter ein. Ein anderer Zahnarzt riet zu einer CMD-Therapie.

Therapie: Die Okklusion wurde in einer Sitzung korrigiert. Dabei durfte die Patientin jeden Arbeitsschritt vorschlagen und nachher genau prüfen, ob er sich gut anfühlt. Weil sie schon seit zwei Monaten nicht mehr kaut, war das nicht so einfach. Zuerst wollte sie den 16 aufbauen, denn er war 2−3 mm zu kurz. Dann kam auf der anderen Seite der 26. Dann wollte sie die Porzellankrone 36 verändern mit den scharfkantigen tiefen Grübchen. Zuletzt wollte ich noch bei 45 und 35 das Kauzentrum vergrössern.
Nach der Behandlung folgte eine Kauprobe mit einigen Salzstengeln. Da stellte sich heraus, dass die Patientin wieder schmerzfrei kauen konnte. Das machte ihr so viel Freude, dass sie Tränen bekam.
Arbeitszeit: 3.5 Std. Preis: 1'220 CHF
Die Patientin hat keine Schmerzen mehr. Allerdings mochte sie nach drei Tagen wieder nur weiche Sachen kauen. Denn wenn sie auf die neuen Zähne beisst, fühlen sich diese hart und wie metallene Nadeln an.
Dieses Gefühl ist die Folge der Unterfunktion des Kiefers. Denn unbelastete Zähne haben ein engeres Zahnfach (0.1 − 0.2 mm) als belastete (0.4 mm). Entsprechend sinkt ihre natürliche Beweglichkeit von 0.2 auf 0.1 mm, und ihre Funktion als Stossdämpfer ist im engen Zahnfach nur noch halb so gross wie normal. Die parodontalen Drucksensoren spüren den Kaudruck stärker, rascher und härter als in einem weiten Zahnfach.
Dieses schmerzhafte, unangenehme Kaugefühl hätte durch ein Kautraining verhindert werden können. Leider habe ich die Folgen der Unterfunktion aber erst nachher im ChatGPT gefunden:
| Schwieriger ist eine Bisshebung | • wenn man zwei Sitzungen braucht, |
|---|---|
| • wenn mehrere Molaren vorhanden sind, | |
| • wenn der Patient unruhig und ungeduldig ist. | |
Distelöl
Um die Arbeit zu beschleunigen, kann der Patient auf das noch weiche Komposit beissen und somit vorformen.
Allerdings verformt es sich, wenn man wieder öffnet, weil es etwas am Antagonisten klebt.
Bestreicht man die Antagonisten vorher mit Distelöl, so wird das Komposit beim Öffnen nur ganz minimal verformt.

49-jähriger Patient (05.04.2016 / 2406)
links (13:53 Uhr): 654- sind okklusal angeraut, die Kanten und Schmelzränder abgerundet. Es folgen Ätzen und Dentinkleben. Dann wird eine dünne Schicht Tetric mit kleinen Stopfbewegungen aufgetragen, so dass keine Luft eingeschlossen wird. Das ist relativ zeitraubend. Aber nun kommt EvoCeram. Es klebt sofort und sehr gut am Tetric.
Das EvoCeram wird mit dem grossen Kugelstopfer etwa gleichmässig flach und dick über alle Zähne verteilt. Dann werden die Antagonisten mit DistelöL bestrichen und kann der Patient zubeissen und mit dem Unterkiefer hin- und herrutschen. Bei Öffnen hat das Komposit an den wichtigsten Stellen bereits die richtige Form. Man muss nur noch die Seitenwände und Abflussrillen ausmodellieren. Insbesondere müssen die Zahnzwischenräme sauber ausgeformt werden (scharf geschliffener Spatel), sodass die Zähne nur minimal zusammenkleben. Dann Härten.
rechts (14:12 Uhr): Nach groben Einschleifen.

Gleiches Prozedere wie links, wieder mit Biss auf das noch weiche EvoCeram.
links (14:37 Uhr): -4567 sind vorbereitet fürs Ätzen und Dentinkleben.
rechts (15:14 Uhr): Nach Einschleifen und etwa zehn Mal anfärben.
Nun wurde der Patient entlassen. Der nächste Termin zur Erhöhung der unteren Frontzähne war in zwei Tagen. In der Zwischenzeit sollte er erste Erfahrungen beim Essen, tagsüber und beim Schlafen machen.
Der Patient ging direkt nach der Behandlung zur Arbeit und spürte stundenlang die neue Bisshöhe. Beim Abendessen konnte er die Spaghetti nicht wie gewohnt mit einem einzigen Biss zerquetschen und dann hinunterschlucken. Vielmehr musste er jetzt mehrmals zubeissen, bis sie genug zerkleinert waren. Abbeissen konnte er nicht mehr, weil die vorderen Zähne zu kurz waren. Hingegen quietschten die neuen Höckerpitzen manchmal. Er begann also, mit weniger Kraft zu kauen und überlegte, dass er sich wegen den flachen Zähnen wohl einen übermässig starken Biss angewohnt hatte. Was ihn seit vielen Jahren beim Essen störte: dass er immer als erster fertig war. Die neuen Zähne zwangen ihn nun, langsamer zu essen, worum er froh war.

links (08:54 Uhr): Der Patient empfand die neue Okklusion bereits als normal und wollte nun aber auch die Frontzähne erhöhen.
rechts (10:14 Uhr): Mit der aufgebauten Front kam das gewohnte Gefühl beim Vorbiss sofort wieder zurück. Der Patient meinte sogar, dass sich die Zähne jetzt gleichmässiger belasten liessen als früher.
Er verliess die Praxis hochzufrieden und wird sich in den nächsten Wochen überlegen, ob er die oberen Zähne auch erhöhen will. Der Preis bis hierher betrug CHF 1'000.

Die Sitzung fand Mitte August statt.
Dauer: 90 Min.
Preis: 616.- CHF
72-jährige Patientin (21.06.2019 / 7698)
Ausgangslage: Die oberen Zähne waren auf der Hinterseite so stark abgenützt, dass dort die Pulpa durchschimmerte (Pfeil). Es bestanden keinerlei Schmerzen. An der UNI in Basel wurde eine Behandlung für über 20'000 CHF empfohlen.
Nach 2 1/2 Stunden: sind 321+123 verdickt, 4+4 verlängert und +2 zum Lückenschluss verbreitert.
Die Bisshebung beträgt 2.5 Millimeter. Die Patientin hat sich schon nach 90 Minuten weitgehend daran gewöhnt.
Das ging so rasch, weil sie auch auf 4+4 beissen kann. Das Komposit ist grün gezeichnet:

Bei dieser starken Bisshebung dauert das aber viel länger als ein Jahr, und die drei Implantate können nicht elongieren. Also würde ein einseitiger Biss entstehen.

52-jähriger Patient (26.09.2023 / 8554)
Der Patient sucht seit 5 Jahren nach einer Lösung für seine Zähne. Sie würde 30'000 Euro kosten, was er sich nicht leisten kann. Zudem würden Kronen auf seinen kurzen Zähnen nicht halten.
Doch mit Komposit kann man solche Zähne verlängern. In einer Sitzung wurden die oberen vorderen zehn Zähne (54321+12345) verlängert. Morgen wird der Patient wieder kommen. Je nach Wunsch wird dann eine Bisskorrektur vorgenommen, die Politur verbessert oder werden weitere Kompositfüllungen gemacht.
Arbeitszeit: 2 ¾ Stunden
Preis: 1'115 CHF
| Bisshebungen brauchen 3−6 Sitzungen | − um 14 – 28 Zähne aufzubauen, − wenn auch Füllungen zu ersetzen sind, − wenn zudem Wurzelfüllungen nötig sind. |
|---|
| Die Reihenfolge ist beliebig | Die Zähne können zuerst in der Front, dann hinten, oder umgekehrt zuerst hinten, dann vorne, oder zuerst unten, dann oben, oder einige unten, oben, wieder unten usw. erhöht werden. Es gibt m.E. nur eine Notwendigkeit zu Beginn der Bisshebung: links und rechts ein gleichzeitiger Kontakt auf der neuen Bisshöhe. |
|---|

54-jähriger Patient (31.03.2017 / 3884)
Die Unterkieferzähne wurden nach Gefühl anatomisch modelliert. Durch Einschleifen bekam jeder einen Kontakt.
Die oberen Zähne wurden mit Überschuss modelliert. Dann wurden die unteren mit Öl bepinselt und der Patient biss zu und rieb die Zähne gegeneinander. Wieder öffnen, ausmodellieren, wieder zubeissen und Härten bei geschlossener Zahnreihe. Nun ist das Einschleifen sehr einfach.
Der Patient meinte sofort, dass sich die Zähne jetzt besser und gleichmässiger berührten als vorher.

Die Frontzähne werden langsam, langsam,....>
...langsam und langsam von selber etwas länger.
Dabei wächst das Zahnfleisch mit ihnen und werden die Zahnzwischenräme nicht grösser.
Diese Erosionen sind durch Coca-Cola entstanden.
Der Patient konnte immer alles ohne Beschwerden essen und sagte, er habe keinerlei Beschwerden.
Ein Zahnarzt schlug eine Behandlung für 28'000 - 35'000 CHF vor.
Eine Behandlung in Ungarn hätte 14'000 CHF gekostet.
Erste Reaktionen nach der Bisshebung:
"Die Zähne berühren sich jetzt besser und gleichmässiger als vorher.
Alles ist schön rund und vorher hatte es lauter scharfe Kanten, mit denen ich mir manchmal auf die Zunge gebissen habe.
Bin gespannt, ob jetzt immer noch überall Speiseresten kleben bleiben, vor allem nach einer Suppe."
Die Bisshebung dauerte 2 Sitzungen zu je 3.5 Stunden und kostete knapp 2'200 CHF. Vorgesehen waren 3 Sitzungen für 3'000 - 3'500 CHF. Aber der Patient fand es nicht nötig, die Frontzähne zu erhöhen.
47-jähriger Patient (30.06.2017 / 7246)
1. Sitzung: 7654-4567 und 76+.
Zuerst wurden 7654- gute 2 Millimeter erhöht.
Die vier Kauflä,chen wurden als einfache Flächen modelliert und zusammen gehärtet.
Nach kurzem Einschleifen der Vorkontakte entstand bei jedem Zahn ein Kontakt.
Dann wurden -4567 ebenfalls mit ebenen Kauflächen erhöht. Härten bei geschlossener Zahnreihe. Kurzes Einschleifen der Kontakte.
Der Patient fühlte sich sofort wohl mit der erhöhten, flachen Okklusion.
Nun wurden 76- mit zwei zentrischen Gruben und Abflussrillen versehen, 76+ erhöht und in zusammengebissener Stellung gehärtet.
Nach dem Einschleifen fühlte der Patient, dass der Biss absolut stimmig war.
So wurde er entlassen, um die neue Zentrik auszuprobieren.
2. Sitzung: 54+4567.
Zwei Tage später berichtet der Patient, dass er gut essen kann. Nun wurden 54+ und schliesslich +7654 aufgebaut.
Zuerst wurden bei den Antagonisten stets zentrische Gruben und Abflussrillen angebracht, damit beim Zubeissen das Komposit automatisch die richtige Form bekam.
Der Patient fand die Zentrik auch jetzt jeweils sicher und sofort.
Während der Behandlung ist der Patient mehrmals fast eingeschlafen. Dass die Front (321+-123) ausser Kontakt war, störte ihn nicht, und er wollte vorderhand keinen dritten Termin. Er verliess die Praxis in bester Laune und bedankte sich herzlich. Es gibt noch viele andere Menschen mit einem "vorn offenen Biss".

Der Patient erschien aus purer Neugier, ob die Bisserhöhung noch in Ordnung sei. Er knirsche immer noch stark, aber er habe keinerlei Schmerzen oder sonstige Probleme.
Die Bilder zeigen die abgenützten Komposit-Füllungen. Keine ist abgebrochen. Die Frontzähne sind immer noch ohne Kontakt. Ich empfahl, die Eckzähne auch aufzubauen. Aber der Patient wollte vorderhand nichts verändern.

Diese Erosionen sind durch die Vorliebe für saure Speisen entstanden. Zusätzlich wurde beim Patienten ein saurer Speichel gemessen.
Erste Reaktion nach der Bisshebung:
"Wissen Sie, darauf habe ich schon 20 Jahre gewartet. Und jetzt sieht es mega gut aus!
Kann ich die Eckzähne weisser machen?"
49-jähriger Patient (17.08.2017 / 7293)
Die abgebröckelten Frontzähne störten immer mehr. Bereits vor 20 Jahren meinte ein Zahnarzt, dass einst eine grosse Behandlung nötig wird.
Kürzlich schlug seine Zahnärztin eine Behandlung für 40'000 CHF vor. Auch das Zentrum für Zahnmedizin der UNI Zürich wollte so viel. Dann erhielt er eine bessere Kostenschätzung für 5'000 CHF. Darauf standen die Worte "Komposit" und "Bisserhöhung". Mit diesen Worten suchte er dann selber im Google - und fand unsere Praxis...
Zuerst wurden die Zähne 1+1 verlängert und dann die Verdickung eingeschliffen. Dann wurden 7653+ verlängert mit Zubeissen, Korrigieren, zugebissen Härten und Einschleifen. Dann gleiches Vorgehen bei +3567, und zuletzt noch bei 2+2. 5+5 wurden nicht erhöht, weil dort im Unterkiefer zwei Zähne fehlen.
Die Bisshebung dauerte 3 Stunden und kostete 1'200 CHF.

Wegen den Abnützungen ist der Biss zusammengesunken und wurden die vier Frontzähne nach vorne gedrückt.
Die Frontzähne wurden absichtlich nicht erhöht. Der bespändige Druck der Oberlippe wird sie in 3-6 Monaten automatisch zurückschieben.
55-jähriger Patient (28.09.2017 / 7249)
... meinte sein Zahnarzt (was nachweislich so nicht stimmt!). Der Kostenvoranschlag (25'000 CHF) war der Zahnversicherung des Patienten zu hoch.
Zufällig erfuhr der Patient von mir. Nach 2 Stunden waren alle oberen Seitenzähne etwa 1.5 mm erhöht. Die unteren Zähne wird er in einigen Monaten auch erhöhen lassen.

39-jähriger Patient (11.07.2017 / 7717)
Passt die neue Okklusion? Oder macht sie Probleme und Kiefergelenkschmerzen?
Bei der indirekten Bisshebung müsste dann der Zahnarzt den Biss registrieren, einen Einschleifplan machen lassen und alle Porzellanzähne im Mund selber einschleifen. Sehr schwierig!
Bei der direkten Bisshebung kann man sofort korrigieren, wenn sich ein Höcker störend anfühlt. Das ist ein grosser Vorteil verglichen zur Arbeit an Porzellanzähnen im Labor. Erstaunlich ist, dass die Patienten die neuen Höcker sofort auch als eine Verbesserung empfinden verglichen zum flachen Gebiss von vorher.

53-jährige Patientin (11.02.2020 / 7833)
Ursache der Abrasionen: den ganzen Tag: Coca-light, Energy-Drink, Eistee, Vollkorn-Müesli und -Guetzli, Pommes-Chips mit Salz.
Die Patientin hatte subjektiv keinerlei Probleme mit den Zähnen. Wenn nicht ihre Zahnärztin immer mehr darauf gepocht hätte, dass man etwas machen muss. Die meisten Abnützungen hatten 8765-5678 und 321+123.
Die Bisshebung erfolgte mit einem kleinen Stück Watterolle, das ich ihr beim Zubeissen zwischen die Frontzähne hielt.
1 Sitzung: zuerst 87654-, dann -45678.
2. Sitzung: 87654+, dann +4567, zuletzt 321+123.
Arbeitszeit: 5 Stunden. Preis: 1'942 CHF
Erstaunlich war, dass die Patientin nach jedem Arbeitsschritt sofort zufrieden, ja begeistert reagierte, noch bevor ich die Details eingeschliffen hatte. Das Distelöl und selber zubeissen ersparen Zeit und vereinfachen die Bisshebungen!

27-jährige Patientin (07.11.2024 / 8656)
Nach einer mehrjährigen Bulimie in der Jugend sind schliesslich einzelne Zähne 4-5 mm tief erodiert. Zudem sind die Fronzähne 1-2 mm kürzer geworden, und beim Essen schmerzen einzelne Zähne immer wieder.
Bei ihr zuhause in Deutschland wollte der Zahnarzt alle 28 Zähne überkronen. Das hätte sehr viel gekostet. Weil sie ihre Zähne nicht abschleifen lassen wollte, suchte sie eine andere Lösung und kam hierher in die Schweiz.
Die Bisshebung erfolgte in zwei Sitzungen zu je 4 Stunden:
Szg 1 (8 Schritte): 6-, -6, 54-, -45, 321-123, 7-, -7
Szg 2 (6 Schritte): 76+, +67, 543+, +345, 21+12
Beide Male konnte die Patientin gut kooperieren und hielt den Mund geduldig weit offen. Dabei spürte sie keine Schmerzen wie die Patienten, die eine Bisshebung wegen Bruxismus brauchen. Sie hat das nach jedem Arbeitsschritt wieder neue Kaugefühl jeweils sofort als eine Verbesserung empfunden. Dies aber nur weil wir das Bissgefühl nach jedem Schritt liegend und sitzend ausgiebig kontrolliert und auf 1/100 mm genau eingeschliffen haben.
Arbeitszeit: 8 Stunden. Preis: 3'309 CHF

38-jährige Patientin (04.09.2025 / 8826)
Diese Patientin hat gelernt, mit geschlossenen Lippen zu lächeln. Ihre Hauptanliegen waren, dass man die oberen Frontzähne wieder sehen konnte, und dass von den Zähnen nichts abgeschliffen wird.
Es war keine Bisshebung notwendig, und es konnten einfach nur die oberen Zähne überdeckt werden.
Dazu waren drei Sitzungen zu 2.5, 2.5 und 3 Stunden nötig:
Szg 1 (2 Schritte): 76+, +67
Szg 2 (2 Schritte): 54+, +45
Szg 3 (5 Schritte): 1+1, 3+, +3, 2+, +2
Bei der Behandlung freute sich die Patientin sehr ab dem neuen Gefühl, das jetzt beim Zubeissen entstand. Auch das Sprechen fühlte sich anders an. Dass sie beim Lächeln jetzt die Zähne zeigen durfte, das konnte sie nicht sofort und brauchte dazu wohl noch einige Tage Übung.
Arbeitszeit: 8 Stunden. Preis: 3'330 CHF

47-jährige Patientin (11.09.2025 / 8884)
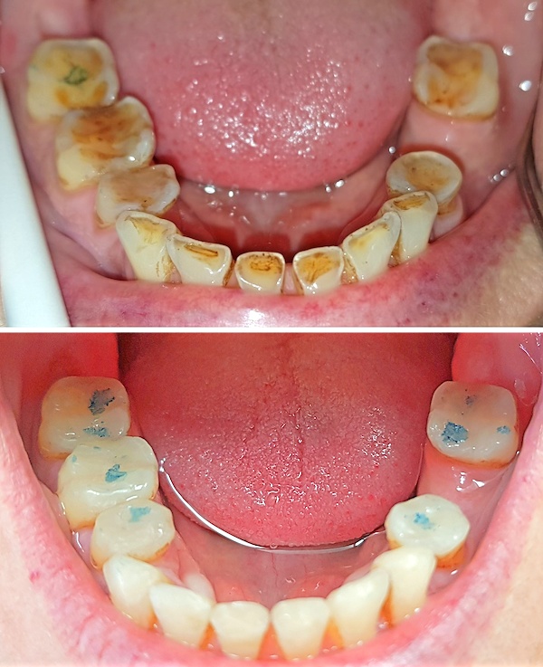
Die Patientin hat früher pro Tag bis zu 3 Liter Coca Cola und Energy-Drinks getrunken. Dadurch ist viel Zahnsubstanz verloren gegangen. Zuletzt hatte sich der ganze Biss auf einen einzigen Zahn konzentriert: auf den hintersten Molar unten rechts. Viele Zahnärzte konnten nicht helfen. Einer meinte sogar: "Ihr Kopf spielt Ihnen einen Streich! Sie haben keine Schmerzen!". Dabei tat ihr jeder Bissen weh.
Der überlastete Zahn konnte mit einem ganz gewöhnlichen blauen Anfärbepapier sichtbar gemacht werden.
Bei ihm begann die Bisshebung um 2 Millimeter in 2 Sitzungen noch am selben Tag:
Szg 1 (3 Schritte): 76-, -57, +7
Szg 2 (4 Schritte): 3-, -3, 21-12, 7+
Arbeitszeit: 7.5 Stunden. Preis: 3'000 CHF
In dieser Zeit dauerten alle Besprechungen, Erklärungen, Beruhigungen und Entwarnungen etwa eine Stunde.
Man kann gut sehen, dass das abgenützte Gebiss (oberes Bild) nur einen einzigen Kontakt hatte.
Durch die Gewohnheit des häufigen Zubeissens ist der betreffende Molar schmerzhaft überlastet worden.
Nach der Bisshebung (unteres Bild) verteilte sich die Kaukraft gleichmässig auf fünf Zähne.
Der Jig hilft zudem, das Muskelspiel zur ständigen Suche "nach dem richtigen, nicht schmerzenden Biss"
zu verhindern.
Die Terminvergabe erfordert einige Informationen:

54-jährige Patientin (05.02.2025 / 8134)
Die Patientin schrieb mir im Email, dass sie eine Zahnknirscherin sei und deswegen alle Zähne kürzer geworden seien. Damit habe sie kein Problem. Aber durch die kurzen Vorderzähne leidet z.T. auch die Aussprache. In der Nacht trage sie konsequent eine Knirschschiene.
Die Okklusion wurde in zwei Sitzungen zu 210 und 120 Minuten korrigiert:
Szg 1: 654-456, 321+123
Szg 2: 7-7 und +6
Arbeitszeit: 5.5 Stunden. Preis: 2075 CHF
Ein Kollege in der Schweiz hat eine sehr viel grössere Behandlung empfohlen.Die Frontzähne werden mit Komposit verlängert. Bei einer hellen Beleuchtung und Trocknung der Zähne wird die Verlägerung sichtbar.
Der erste Zahn, der erhöht worden ist, sieht deutlich höher aus als die anderen.

38-jährige Patientin (09.01.2025 / 8739)
Ein Reflux der Magensäure hat den Schmelz der unteren Kauflächen und der oberen Frontzähne erodiert.
Sie sind deshalb empfindlich geworden, und die Patientin hat ihre Zähne deshalb bei einem Zahnarzt immer wieder imprägnieren lassen.
Wegen den Erosionen sind nur noch Zahnkontakte auf den Schmelzkanten an der Aussenseite der Zähne übrig geblieben, und in der Mitte der Zähne gibt es keine Kontakte mehr.
Eine Bisserhöhung war nicht nötig, weil es noch keine Bissenkung gegeben hat, sondern nur eine Verbesserung der Okklusion.
Die Okklusion wurde in zwei Sitzungen zu 180 und 90 Minuten korrigiert:
Szg 1 (3 Schritte): 7-7, 654-456, 21+12
Szg 2 (2 Schritte): 4+4
Die Kompositfüllungen konnten alle als erweiterte Versiegelungen abgerechnet werden.
Die Bemerkungen zu Kooperation, Schmerzen, Kaugefühl usw. sind wie beim obigen Fall.
Arbeitszeit: 4.5 Stunden. Preis: 1.523 CHF
Zwei Kollegen in Deutschland haben sehr viel umfangreichere Behandlungen empfohlen.