Die Reparaturen sind nicht so einfach, weil die grosse Kraft häufig zu einem Verlust der Zahnhalsfüllung führt. Es gilt, die Klebewirkung der Füllung durch mechanische Rillen zu unterstützen. Obwohl keine Karies vorhanden ist, lohnt sich eine Reparatur, weil der Defekt sonst immer tiefer wird.
Zahnhals

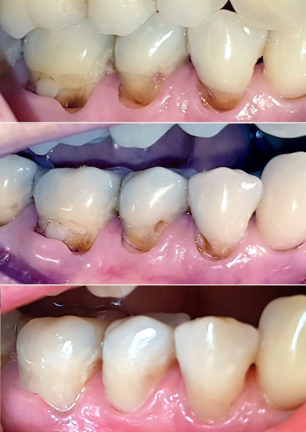
Die Patientin hat wegen dem sporadischen Genuss von homöopathischen zuckerhaltigen Kügeli eine etwas erhöhte Kariesanfälligkeit. Die Bakterien im Kerbgrund sind deshalb etwas aggressiver als normal.
oben: Anfangsbefund
Mitte: Nach der Exkavation. Die Kergründe waren alle etwas weicher als sonst. Die kariösen Läsionen sind vor allem approximal entstanden.
unten: Schlussbefund

Die Patientin hat mehrere kleine Zahnhalsdefekte und deutliche Zahnabnützungen vom Knirschen.
links:Beim Eckzahn ist diese kleine störende Verfärbung entstanden. Auf der Foto sieht sie wie eine kleine Karies aus.
rechts: Die neue Füllung. Sie ist noch nicht fertig poliert.
Auf dieser Aufnahme von 2023 ist der Zahnhals bereits etwas verfärbt gewesen.

Dieser Zahnhalsdefekt ist sehr schmal, und das Zahnfleisch beginnt, darüber zu wachsen. Deshalb wird er schwierig zu putzen und beginnt er sich zu verfärben.
links: Anfangsbefund
Mitte: präpariert
rechts: fertig