Die Grundlagen des Bruxismus sind die beiden Amygdalae und ihre Verbindung zu den festsitzenden Zähnen.
Die Amygdalae steuern Angst, Freude und Wut und entscheiden bei Stress über Kampf, Flucht oder Totstellreflex.
Beim Kampfgefühl aktivieren sie die Beissmuskeln.
Pränataler Stress einer Schwangeren
vergrössert die Amygdalae des Fötus, was Bruxismus, ADHS und Fingernägelkauen begünstigt. Meistens
verursacht aber ein ungesunder Lebensstil mit viel Coffein, Nikotin, Alkohol oder Stress den Bruxismus.
Die Therapie soll schonend und multifaktoriell sein.
Die meisten Kieferdysfunktionen sind nur kurzzeitig und harmlos.
| 1. Pressen (jaw clenching) | Den Ausdruck "die Zähne zusammenbeissen" gibt es auch in Italien, Frankreich, Russland und China, aber nicht in Afrika. |
| 2. Knirschen (teeth grinding) | Kinder können die Milchzähne etwa 3 mm / 10 Jahre abschleifen. Ein starker Knirscher schleift seine Zähne etwa 1 mm / 10 Jahre ab. Ein Knirscher mit Teilgebiss, Komposit und Porzellan bis 1 mm / 2 Jahre. |
| 3. Heavy biter | Die durchschnittliche Beisskraft beträgt 20−80 kg. Der Weltrekord liegt bei 430 kg. Heavy biter haben häufig auch einen festen Händedruck. |
| 4. Schlafbruxismus | kann kurzzeitig maximale Beisskraft erzeugen. |
| 5. Wachbruxismus | entsteht meist bei stressiger Arbeit mit kleinerer Beisskraft. |
| 6. Craniomandibuläre Dysfunktion (CMD) | vom Öffnungsschmerz über steife Nacken und Schultern bis zum Beckenschiefstand. |
| 7. Okklusale Dysästhesie | Ein beständiges Gefühl, dass der Biss nicht stimmt. Das wird fortwährend mit variabler Beisskraft kontrolliert. |
Die Ursache ist meistens Stress und nicht die Okklusion.
| 1. Okklusale Fehler | Einschleifen und Ansetzen, Kons |
| 2. Stress Überlastung, Ehrgeiz, Erwartung, hoher Leistungswille, Langeweile, Isolation |
Harte Michigan-Schiene, DROS, NTI usw. Unerfülltes Grundbedürfnis suchen und verarbeiten mit Do-it-yourself, Physio- therapie, Dentosophie, Psychotherapie |
| 3. Trauma, Angst, Depression bindungsbezogen Unsicherheitsgefühl | Weiche Michigan-Schiene bei okklusaler Dysästhesie |
| 4. Schlechter Schlaf Tagesmüdigkeit, Schnarchen | Schnarchschiene, Smartwatch, Schlafapnoe-Maske, Schlaflabor |
| 5. Medikamente, Hormone | Hausarzt, Psychiater |
Zähne und Füllungen brechen nach Überlastungen wegen Bruxismus, Okklusionsfehlern und Verlust von Zähnen. Wenn ein Patient ein heavy biter ist, oder wenn ein Kauzentrum auf dem Füllungsrand liegt statt in der Mitte der Füllung und wenn eine Füllung auf einem schiefen Boden liegt, oder wenn die Belastung doppelt so hoch wird, weil ein Nachbarzahn ausgefallen ist, dann kann das Komposit brechen. Um solche Missgeschicke zu vermeiden, werden oft Gold- und Porzellankronen oder Implantate hergestellt.
Im Gegensatz dazu soll diese Seite helfen, Kompositfüllungen zu verbessern und bruchsicherer zu machen. Wer mit Komposit arbeiten will, sollte also auch ein
Global hat jeder dritte Mensch TMD.
Bis 2050 könnten es 44% sein.
2004-2014 machte ich 1 − 10 FOS-Schienen pro Jahr.
Ab 2014 stieg die Zahl auf etwa 20 Stück pro Jahr.
In den Corona-Jahren 2020/1 stieg sie auf 40 pro Jahr.
Dann ist sie wieder auf 20 Stück pro Jahr gesunken.
Wird die Zahl je auf 1 − 10 Stück zurückkehren?
Eher nein, denn alle Statistiken und Prognosen deuten darauf, dass der Stress zunehmen wird.
Die Angst vor Corona und der Wunsch nach Schutz und Sicherheit davor dauern bis heute an. Nicht selten ist jemand wegen der Corona-Pandemie sehr vorsichtig geworden und trägt deswegen immer wieder mal einen Mundschutz.
Die Medien machen mit ihren Head-Lines alle bösen Dinge der Welt zu Geld. Dabei übertreiben sie nach Möglichkeit, auch wenn sie uns so noch mehr stressen.
Die ständige Erreichbarkeit mit digitalen Medien ist ein weiterer Stressfaktor. Er senkt die Zufriedenheit allem bei jungen Menschen.
Die "diagnostische Inflation" erhöht die Zahl der psychischen Krankheiten. Früher ermahnten die Eltern ihre Kinder einfach mit "tu nicht so dumm!" und haben mit diesem Spruch das Thema beendet.
Die Zunahme der Anzahl Zähne
Die Jahrgänge 1910-1930 hatten etwa 9 Zähne pro Kiefer. Die Prothesen, Teilprothesen und Zahnlücken
schränkten den Bruxismus ein.
Bis 1960 stieg dank der Schulzahnpflege die Zahl der Zähne auf 12 pro Kiefer.
Seither bleiben fast bei jedem 14 und mehr Zähne gesund.
Auf solchen lässt sich bis ins hohe Alter stets kraftvoll knirschen.
Die Zunahme des Alters der Zähne verlängert die mechanische Belastung durch den Bruxismus. Das Alter der Patienten hat in den letzten 35 Jahre volle 20 Jahre zugenommen (siehe hier). Interessanterweise bleibt der Stress auch im Alter erhalten. Zum Beispiel kann ein stark belasteter Zahn schliesslich abbrechen. Oder es beginnt ein Zahn zu schmerzen, weil der Nachbarzahn verloren gegangen ist. Oder die Zähne nützen sich so weit ab, dass plötzlich mehrere Füllungen nötig werden. Während solche Zähne früher oft mit Prothesen ersetzt wurden, mit denen man nicht knirschen kann, werden sie heute meisens ersetzt und setzt sich der Bruxismus fort.
Wissenschaftliche Übersichtsarbeit:
Mehr Behandlungen, aber nicht weniger
Angst- und affektive Störungen: Warum? Sieben Hypothesen und ihre Bewertung
Johan Ormel, Paul M.G. Emmelkamp
Buchempfehlung für Laien:
What Mental Illness Really Is... (and what it Isn’t)
Lucy Foulkes
Informationen über Krankheiten wirken paradox.
Statt dass sie zu mehr Gesundheit führen, fühlen sich viele Menschen nach
den Informationen kränker als vorher. Ganz im Sinne von
"Was ich nicht weiss macht mich nicht heiss".
Am meisten Stress haben die 50- bis 65-Jährigen. Aber auch kräftige und gesunde 80-Jährige bekommen noch Knirscherschmerzen.
Frauen: 215
Männer: 96
Bruxismus beschädigt immer wieder zahnärztliche Arbeiten.
Das führt nicht selten zu Streit.
Deshalb wird empfohlen, stets auch auf den Bruxismus zu achten, zum Beispiel mit einem
Fragebogen, den man im Wartezimmer ausfüllen kann.
Der moderne Zeitgeist stellt bei der Arbeit und in der Freizeit die Leistung in den Vordergrund, ganz im Sinne
des Kapitalismus und der wirtschaftlichen Systeme.
Deshalb sind auch bei einer "Work-Life-Balance" vielfach sowohl "Work" als auch "Life" voller Stress.
Monatelanger Stress schwächt aber das Immunsystem, stört den Schlaf, den Blutdruck und
die Verdauung, und erzeugt Angst, Depressionen und Burnout.
Vor grossen Behandlungen MUSS man auf den Bruxismus achten.
In Deutschland wurden 2009 ca. 2 Mio. Knirscherschienen hergestellt.
Der biologische Sinn des Stress ist die sofortige Aufmerksamkeit und Anspannung der Muskeln, um die Reaktion und Leistung zu verbessern. Typische Stressauslöser sind kurzfristige Ereignisse wie eine schnelle Bewegung, ein Geräusch, ein Duft oder das Erscheinen eines Fressfeindes. Der heutige ständige Stress ist eine evolutionäre Neuheit.
Ganz anders wie bei Karies betreffen die Symptome des Bruxismus den ganzen Menschen. Aber trotz aller Symptome bleibt er meistens unbemerkt und braucht auch keine Behandlungen. Er gehört bis zu einem Grad zu den normalen Belastungen des Lebens.
Zähne sind wie Hebel. Sie können die Kaukraft beim Knirschen verdoppeln.
kurz: steiler Spee
lang: flacher Spee
− flach
− mit Höckern und Hyperbalancen?
− mit Erosionen und Bisssenkung?
Diskuskompression
Diskusverlagerung
Knacken/Reiben
degen. Veränderung
Normale Kaubewegungen bewirken nur einen kleinen Druck auf die Zellen, Blutgefässe und Drucksensoren in den Kaumuskeln, an den Zahnwurzeln und in den Kiefergelenken. Im Normalfall folgt nach einer Sequenz solcher Belastungen die Ruheschwebe, in welcher die Muskeln, Zähne, Kiefergelenke, motorischen Nervenendigungen und Blutgefässe von den Verpressungen erholen können.
In der Ruheschwebe hält man die Zähne 2-8 Millimeter weit auseinander und wird die Durchblutung des Zahnhalteapparates und der Kaumuskeln nirgends gestört. Die Ruheschwebe dauert praktisch den ganzen Tag und die ganze Nacht und wird nur beim Essen und gelegentlich beim Schlucken unterbrochen. Stützt man am Tisch den Kopf auf das Kinn, so wird die Ruheschwebe manchmal trotzdem beibehalten, weil dann die Kieferöffner anspannen und verhindern, dass der Unterkiefer auf den Oberkiefer drückt.
Andauernde Belastungen ohne Ruheschwebe lassen hingegen den Muskeln keine Zeit, die Moleküle in den Muskelfasern zu reparieren. So entstehen bei zerrissenen Aktin-Fasern winzige Entzündungen, die den Muskel anschwellen lassen. Sie bewirken einen schmerzhaften Muskelkater. Analog führt auch die Dauerbelastung der Kiefergelenke zu zellulären Veränderungen des Knorpels der Gelenkscheibe, der Gelenkpfanne und des Kieferköpfchens, sowie der Sehnen und der Muskelfasern im Gelenk.
Beim Bruxismus fehlt die Ruheschwebe. Die Kaumuskeln machen mit nur kurzen Pausen zahllose kleine Zuckungen und belasten damit die Zähne und Kiefergelenke. Diese Belastungen variieren je nach der Geometrie des Gebisses und der Zahnstellung und sind je nach Veranlagung des Patienten gut erträglich oder werden ziemlich gross. Sie geschehen nur nachts und/oder auch tagsüber und betreffen nur den hintersten linken, oder rechten unteren, oder sonst einen Zahn oder eine ganze Gruppe von Zähnen. Zu Beginn der Belastungen werden häufig einige Zähne kaltempfindlich. Beim ausgeprägten Bruxismus hingegen entstehen auch Warmschmerzen und solche, die in die Wangen und zur Stirn ausstrahlen (Migräne), bis ein Zahnarzt vor Verzweiflung eine Wurzelbehandlung macht. Ursache dieser Schmerzen ist die anhaltende Quetschung der Kapillaren im Muskel und in der Wurzelhaut (Desmodont). Letztere ist nur 0.1 - 0.2 Millimeter dick und zwischen dem Zahn und dem Knochen eingeklemmt.
Vertikale Belastungen drücken die Wurzelspitze des Zahnes gegen den Knochen. Dort wird die Pulpa mit ihren Temperatursensoren gereizt (roter Punkt). Zuerst entsteht eine Kaltempfindlichkeit, bei hohem Druck auch eine Warmempfindlichkeit.

Die Patienten kann mit den hohen Tabletops besser kauen, hat keinerlei Schmerzen und fühlt sich wohl.
Der hinterste Molar ist etwa 3 cm lang.
NB: 6 mm hohe Aufbissschienen verkleinern die Aktivität der Kaumuskeln mehr als nur 3 mm hohe Aufbissschienen.

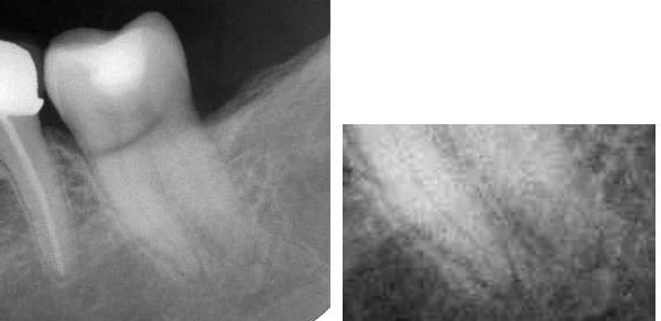
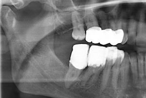
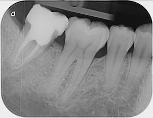
19.1.26: Der -7 wurde beim Pressen stark belastet und hat stark geschmerzt.
Beide apikalen Aufhellungen sind sehr klein.
Ist die Ursache bakteriell oder nur mechanisch?
Die Patientin spürt, dass sie häufig ihre Zähne zusammenpresst. Deswegen hatte sie am 19.1.26
starke Schmerzen links unten.
Am 22.1.26 waren diese verschwunden, dafür schmerzte nachher die Wange links oben.
Bei den oberen Molaren zeigt das Röntgenbild keine Aufhellung.
Ist der -7 entzündet und braucht er eine Wurzelbehandlung?
Stattdessen hab ich ihr eine FOS-Knirscherschiene gemacht. Diese wird zeigen, ob die Beschwerden wieder aufhören.
Die Patientin hat einen Nachtbruxismus und spürt morgens verspannte Wangen. Sie hat nur Kontakt auf den hintersten Molaren und keine Schmerzen. Das reibende Geräusch ist wahrscheinlich eine stabile Diskus-Degeneration und braucht keine Behandlung.
M. pterygoideus lateralis
Zahnhalsdefekt: 3 x Knirschkraft
M. temporalis + M. masseter
Spaltkraft: bis 3 x Kaukraft
Bei Molarenverlust kann wegen Pressen eine Diskuskompression entstehen.
Der M. temporalis, M. masseter, M. pterygoideus lateralis und medialis haben eine durchschnittliche Kaukraft von 20-80 Kg. Der Weltrekord liegt bei 430 Kg.
Ein schiefer Interkuspidalkontakt zwischen den oberen und unteren Seitenzähnen kann ein Diastema verursachen, in das beim Essen Speisereste hineingestopft werden.
Bei schiefen Ebenen kann ein kleiner Interkuspidalwinkel eine grosse Spaltkraft verursachen. Dies zum Beispiel bei einer abgenützten Füllung oder tiefen Verzahnung.

Beachte: Die Fraktur verläuft mesial 2 mm weit durch eine initiale Karies, zentral 6 mm neben einer Amalgamfüllung, und distal 3 mm lang mitten durch eine intakte Kompositfüllung. Diese ist mittig gespalten, aber nirgends vom Zahn abgerissen. Das Zentrum der Amalgamfüllung ist nicht gespalten.
Der Patient ist ein Heavy biter und kam seit Jahren immer wieder mal um Hyperbalancen einzuschleifen. Zudem war dieser +6 der letzte Molar links oben.
Auch auf diesem Röntgenbild ist weder die Hyperbalance noch der kleine Höckerwinkel mit der vertieften Zentrik sichtbar. Die initiale Karies war klinisch nicht sichtbar.
Bruxismus und Ruheschwebe sind subkortikale neuromotorische Automatismen resp. ein tonisches
Gleichgewicht. Daran beteiligt sind Basalganglien, Kleinhirn, Hirnstamm und kortikale Areale.
Die Abrasion bleibt meistens unbewusst.
Bei kräftigem Knirschen werden pro 10 Jahre die Milchzähne etwa 3 mm und die bleibenden Zähne etwa 1 mm abgeschliffen.
).
).
Hier ist eine andere Aufnahme vom Knirschen mit schmerzfreier Kiefergelenksdehnung: Siehe hier

Der N. trigeminus (V) enthält die sensorischen Fasern des Gesichts, der Kiefergelenke und der Zähne sowie die motorische Fasern der Kaumuskeln. Die Drucksensoren der Zähne sind die sensibelsten des Körpers, und das sensorische Areal des Mundes ist grösser als jenes beider Beine (siehe Homunculus).
Die beiden Amygdalae bewerten die sensorischen Afferenzen als angenehm oder als bedrohlich und reagieren mit der Ausschüttung von angstmindernden Hormonen wie Oxytocin und Dopamin oder von Stresshormonen wie Cortisol und Adrenalin. Bei Dauerstress können sie den Bruxismus und bei chronischem Misstrauen eine Hypervigilanz wie die okklusale Dysästhesie erzeugen.
Die Sensorik der Zähne und Motorik der Kiefergelenke ist sehr veränderlich und unterschiedlich gross.
Maximale Sensitivität entsteht bei einer Hypervigilanz, wo häufige Zahnkontakte die Sensorik bei jedem einzelnen Zahn trainieren.
Minimale Sensitivität findet sich bei Leuten mit Ruheschwebe. Sie haben nur selten Zahnkontakt und schenken ihm keine grosse Aufmerksamkeit,
insbesondere wenn sie noch einen Distalbiss ohne
Frontzahnkontakte haben und deshalb die höchste taktile Präzisionssensorik der Frontzähne kaum je benützen.
Die Frontzähne sind sensibler als die Molaren und hemmen die Kaumuskeln sofort,
wenn sie einen zu hohen Druck spüren. Darauf beruht die Wirkung der FOS-Anti-Knirscherschiene (siehe FOS-Schiene).

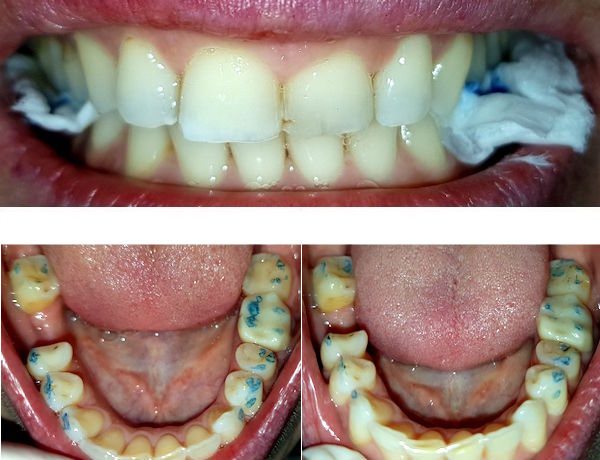
Die Patientin hat die Idee mit dem feuchten Papier zwischen den Zähnen selber gefunden, damit sie nachts nicht immer die Ecken und Kanten ihrer Zähne spüren muss. Mit dem Papier spürt sie nur noch einen Druck auf den Zähnen. Beim Zahn -6 war der Druck auffallend höher als bei den anderen Zähnen. Das Farbband zeigte bloss eine etwas breite Kontaktfläche an, die ich dann durch eine grössere Abflussrille reduzieren konnte, ohne den okklusalen Stop zu verlieren.
Eine Patientin mit okklusaler Dysästhesie hat sich beklagt, dass sich die Kontakte zwischen ihren Zähnen wie metallene Nägel anfühlten. Dabei war absolut kein Vorkontakt oder ähnliches zu finden. Entsprechend hat Einschleifen gar nichts genützt. Vielleicht wäre eine weiche Michigan-Schiene besser gewesen. Aber hätte sie den Fremdkörper im Mund tolerieren können?
Eine andere klagte, dass ihre Zähne gegeneinander schlagen würden, wenn sie zubeissen wolle. Die Zahnkontakte seien also falsch.
Sie sollte mitten im Gelenk liegen,
klemmt aber manchmal zu weit vorne odeAbr hinten.
Präfrontalcortex
Sensomotor. Areal
Basalganglien
N. trigeminus
Amygdala
Gelenkscheibe
Zähne
Hirnstamm
Der N. trigeminus versorgt die Augen und den Ober- und Unterkiefer inklusive Nase, Lippen, Zunge und Zähne. Die Kerne seiner drei Äste (N. ophthalmicus, N. maxillaris und N. mandibularis) liegen im Hirnstamm und sind mit der Amygdala im limbischen System verbunden. Der Hirnstamm erzeugt auch die Arousals mit ihrem Schlafbruxismus.
Die Amygdalae sind zwei etwa 1-2 cm3 grosse Bewertungszentren. Sie sind ein emotionales Kontrollzentrum und bewerten Gefahren, erzeugen Angst und steuern das Sozialverhalten und auch die sexuelle Bereitschaft. Sie spüren alle taktilen, akustischen und visuellen Informationen und speichern sie, wenn ein Nachteil folgt wie
Der Präfrontalcortex steuert kognitiv das sensomotorische Areal und moduliert die Aktivität der Amygdalae. Er ist mit seinen Leistungen und mit der Selbstkontrolle viel langsamer als die Amygdalae und der Hirnstamm.
Das heisst, das Bewusstsein kommt immer zu spät, und man hat bereits geknirscht, wenn man es eigentlich vermeiden wollte. Hier endet der "freie Wille".
Die Hintergründe sind individuell, und die Anamnese entscheidet zu 80%, wie die Therapie aussehen soll.
Ursache ist Arbeitsdruck, sozialer Stress, Verantwortung, Perfektionismus, hohe
Selbstkontrolle, Pflichtgefühl usw.
Es entsteht meist ein Wachbruxismus mit Pressen (nicht Knirschen) und findet statt
beim Autofahren, am Handy/PC, am Arbeitsplatz usw.
Nützlich sind Entspannungsübungen und Stressreduktion, Atemübungen, progressive
Muskelrelaxation, Achtsamkeit und Verhaltensänderungen.
Ursachen des Bindungstraumas sind Vernachlässigung oder Missbrauch durch Bezugspersonen.
Ursachen des Ereignis-Traumas sind Unfall, Katastrophe, Notfall, plötzlicher Verlust, Misshandlungen, Kriegserlebnisse usw.
Es entsteht oft ein Wach- und Schlafbruxismus mit Knirschen und Pressen, das man trotz einer Aufforderung nicht unterlassen kann.
Nützlich ist zuerst Sicherheit, nicht Entspannung. Dabei helfen Körperpsychotherapie,
sehr sanfte Atemarbeit, Arbeit mit Sicherheit und Grenzen, langsame Regulation und spezialisierte Psychotherapie, siehe
auch Psychoneuroimmunologie, Affektmotorik, Dentosophie, klass. Musik, Gesangsunterricht usw.
Neocortex
Ursache ist der Hirnstamm, aber auch Reizüberflutung und Stress.
Er kommt bei etwa 50% der Kinder vor, ist meistens nicht schmerzhaft und verschwindet, wenn die bleibenden Zähne kommen.
Nützlich ist Gewährenlassen, denn er trainiert die Zunge und Kaumuskeln und verbessert die Zahnkontakte.
Der Schlafbruxismus beginnt oft schon in der Kindheit.
Dabei kann man im Schlaf laute Knirschgeräusche machen, die man selber nicht hört.
Der Kaudruck kann bis auf das Zehnfache ansteigen und dauert
bis zu 40 Minuten lang. Es kann in einer Nacht bis zu über 1000 Bisskontakten kommen.
Gemäss ICD 10 ist er eine sonstige Schlafstörung (G47.8) bzw. somatoforme Störung (F45.8).
Wenn überhaupt, wird er erst beim Aufwachen wegen einem Steifegefühl
in den Wangen, im Schultergürtel, wegen Kiefergelenkknacken oder Kopfschmerzen (bis Migräne) bemerkt.
Meistens spüren die Betroffenen den Schlafbruxismus nicht und fühlen sich auch nicht gestresst.
Beim Wachbruxismus können Press-, Saug- und Beissbewegungen mit dem Kiefer, der Zunge und den Wangen vorkommen. Er wird ebenfalls meistens nicht bemerkt.
Bei Zwangsstörungen (Waschzwang, Kontrollzwang usw.) findet man oft auch eine Unruhe und Zwangsgedanken. Ähnliches kann auch beim Bruxismus vorkommen.
Unruhe: Die Zwangsmotorik beginnt mit einer Unruhe, die entsteht, wenn man die Bewegung nicht ausführen will (wie beim Drang zur Toilette).
Zwangsgedanken: Sie lauten zum Beispiel: "Ist der Zahn immer noch zu hoch? Den hab ich früher nie gespürt. Er stört erst seit der neuen Krone. Den muss ich abschleifen!".
Beckenschiefstand: Wenn die Muskelkette ein schiefes Kaugefühl korrigieren soll, indem man zuerst nur eine Schulter ganz leicht anhebt, dann zu Kiefergelenkschmerzen noch Rückenweh bekommt, und schliesslich auch ein Beckenschiefstand entsteht, der bis zu den Füssen reichende Schmerzen beim Gehen verursacht (siehe hier).
Neurodivergenz: Die Wahrnehmung der Zahnkontakte ist eine hochpräzise Sinnesleistung. Und die tägliche hundertfache Wiederholung ist ein hochpräzises Sinnestraining, das die Hirnstruktur verändert. Für Menschen ohne Ruheschwebe ist Hochsensibilität der Zähne eine Normalität. Sie kann sich auch zu anderen hochsensiblen Gewohnheiten und zu einer gedanklichen und sinnlichen Neurodiversität entwickeln. So hat die überdurchschnittliche Aufmerksamkeit gegenüber den Zähnen eine Analogie zum Beispiel in der überdurchschnittlichen Aufmerksamkeit eines Musikers auf eine Tonfolge oder auf den Rhythmus einer Melodie, welche alle Muskelketten in seinem Körper erfasst. Die Veränderungen im Gehirn solcher Musiker sind messbar, und man spricht vom Musikerhirn mit einem typisch vergrösserten Areal des Gehörs. Bei Bruxern hingegen werden das somatosensorische und motorische Areal für körperliche Gefühle im Gesicht und für die Bewegungen der Kaumuskeln überdurchschnittlich oft aktiviert.
Bruxismusschmerzen können in jedem Alter entstehen. Wenn zum Beispiel eine 80-jährige Bruxerin, die nie Knirscherschmerzen hatte, den hintersten Molaren wegen Karies verliert, kann sie auf den verbliebenen Zähnen plötzlich Bruxismus-Schmerzen bekommen, weil der extrahierte Zahn jetzt nicht mehr hilft, den Kaudruck zu tragen und die verbliebenen Zähne ohne ihn mechanisch überlastet werden.
Bei den meisten Menschen bewirkt ein Zahnverlust oder eine neue Füllung ein vorsichtiges Sich-Angewöhnen. Dabei wird vorsichtiger gekaut und eventuell auch die Ruheschwebe öfters eingenommen. Aber es entsteht keine Angst, dass man wegen der Zahnlücke oder dem neuen Kaugefühl nicht mehr essen kann.
Den Kindern zum Beispiel, die eine kieferorthopädische Behandlung bekommen, wird häufig ein Zahn gezogen. Danach entstehen kaum je Knirscherschmerzen.
Die Ruheschwebe ist in jedem Alter hilfreich, so zum Beispiel auch bei einer Bisshebung mit dem Dahl-Prinzip bei Erwachsenen. Dabei wird der gesamte Kaudruck auf die Frontzähne verlagert, bis die hinteren Zähne langsam (innert 3 bis 6 Monaten) etwas aus dem Knochen herausgewachsen sind. Dies geschieht ohne Schmerzen, wenn der Patient eine Ruheschwebe hat und nicht dauernd versucht, die Zähne selber an den richtigen Ort zu drücken. Sie finden den richtigen Ort nämlich selber, und sonst würde ein schmerzhaftes RSI-Syndrom entstehen (Siehe oben)
Und eine 92-jährige Italienerin hatte nur noch einen einzigen Zahn im Oberkiefer. Sie ist trotz Zahnverlust und Zahnlücken immer zufrieden geblieben und erklärte mir ganz einfach:
Wenn man jemanden bittet, einmal ein paar mal zusammenzubeissen, dann kann man zwei Reaktionen beobachten, nämlich eine eher langsame des Präfrontalcortex oder eine eher schnelle, die subkortikal gesteuert wird.
Wer die Ruheschwebe hat, beisst eigentlich nie auf die Zähne. Er gibt nun seinem Unterkiefer ganz bewusst den
Befehl, zuzubeissen. Dann erinnert er sich an die Bitte, mehrmals die Zähne zusammen zu beissen und beisst sogleich nochmals zu.
Das wiederholt er einige Male. Die Geschwindigkeit ist nicht eingeübt und verbleibt beim langsamen Denk-Tempo des Präfrontalcortex.
Im Gegensatz dazu hat ein Knirscher nicht viel zu überlegen. Sein M. masseter bewegt sich ja dauernd um zu knirschen oder zu pressen. Die Bewegungen sind automatisiert und ähnlich schnell wie bei einem Tic mit subkortikaler Steuerung.
Von der okklusalen Dysästhesie sind zu 80% Frauen im Klimakterium betroffen, die unter einer hohen emotionalen Belastung, Angst, Depressionen oder somatoformen Störung leiden. Chronischer Stress ohne hormonellen Einfluss hat ähnliche zentralnervöse Wirkungen bei ADHS, Bruxismus, Fingernägelkauen, erhöhtem Würgereflex, Reizdarmsyndrom und Fibromyalgie.
Symptome: Bei der okklusalen Dysästhesie betastet man den ganzen Tag jeden Zahnkontakt.
Dabei hat man das Gefühl, die Zähne würden sich nicht am richtigen Ort berühren und der Biss sei falsch.
Im Schlaf macht man keine Kontrollbisse.
Oft scheint eine Füllung oder Krone die Ursache zu sein, und man meint, diese sei zu klein oder zu gross, und
dass vorher alles immer gut war. Man sammelt deswegen Röntgenbilder und Gipsmodelle von früheren Behandlungen, und
man beginnt, Zahnärzte zu besuchen mit der Bitte,
dem Zahn seine frühere Form wieder zu geben, sonst könne man nicht mehr richtig essen und würde alles schlimmer.
Aber nach jeder Zahnbehandlung findet sich ein neues Problem, vielleicht jetzt auf einem Nachbarzahn.
Auf diese Weise entsteht eine Hochsensibilität, Hypervigilanz oder gar eine Neurodiversität,
und allmählich wird die Dysästhesie zu einem gedanklichen, gesundheitlichen, familiären und sozialen Schwerpunkt.
Das Irritierende ist, dass die Bisskontrollen nicht durch Zurückhaltung vermieden werden können.
Jedem ist klar, dass ein pausenloses Zubeissen nichts verändert und nur mühsam ist.
Dieses Verhalten zeigt die reflexartige, nicht beherrschbare subkortikale Kraft des limbischen Cortex, der unsere Triebe
und Emotionen steuert wie Hunger, Durst, Sexualität, Angst, Lust und Aggression. Genau davon macht auch das Neuromarketing Gebrauch,
sogar für zahnärztliche Produkte, zum Beispiel mit Bildern von fröhlichen jungen Frauen mit sehr weissen Zähnen.
Prävalenz: Die okklusale Dysästhesie kommt in Spezialkliniken für orale psychosomatische Störungen bei weniger als 10% der Patienten vor.
Befunde: Objektiv ist der Biss in Ordnung und gibt es nur unbedeutende minimale Verbesserungsmöglichkeiten der Okklusion.
Therapie: Von weiteren Zahnbehandlungen rät die S1-Leitlinie zur okklusalen Dysästhesie (von 2024) in den meisten Fällen ab. Stattdessen sind psychosomatische und psychotherapeutische Ansätze zum Stress- und Angstabbau sinnvoll. Manchmal sind auch SSRI-Medikamente wie Dothiepin (Antidepressivum) und Pimozid und Haloperidol (Antipsychotika) möglich und zu empfehlen.
Mischformen: Das Anfärben der Okklusion zeigt regelmässig einzelne Zähne mit viel und andere mit wenig Kontakt. Bei einer erhöhten taktilen Wahrnehmung stören beide Arten. Wenn die andauernden Betastungen kraftvoll sind, entstehen die gleichen Schlifffacetten wie beim Bruxismus. Werden die Zähne nur mit leichtem Druck okkludiert, so können die Betroffenen sogar sprechen, während sich ihre Zähne kontinuierlich störend berühren.
Weil man mit den Zähnen jeden feinen Druck ganz genau spüren kann, entsteht durch die vielen Kontrollen, ob der Biss stimmt, eine hochpräzise Erinnerung an jede Zahnform und wird man ständig an diese erinnert. Aber weil der Unterkiefer viele verschiedene Stellungen einnehmen kann und die Zähne nie alle genau zusammenpassen, lässt sich der Wunsch nach dem perfekt passenden Biss nicht verwirklichen.
Bei der okklusalen Dysästhesie ist die Wahrnehmung gestört,
nicht die Okklusion.
Die Dysästhesie dauert bei etwa 40% der betroffenen Patienten mehr als 5 Jahre lang.
Der Drang zum Beissen ist etwa so kräftig wie der Drang der Lungen zum nächsten Atemzug. Einige Betroffene beissen sogar konstant zu, also auch während des Sprechens. Dabei erscheint es ihnen, als ob ein Zahn zu lang sei.
Eine genaue Beschreibung ist hier:
Phantom bite syndrome: Revelation from clinically focused review
von Tu TTH et al. (2021)
Weder kurz und bündig noch sichtbar: Normalerweise weist ein Patient mit wenigen Worten auf seinen Zahnschaden hin. Dieser ist bei einem kurzen Untersuch sichtbar und hat eine typische Diagnose (Karies, Zahnfraktur, Zahnfleischbluten usw.). Er ist auch gut sichtbar auf einer Foto oder auf einem Röntgenbild. Beim Dysästhesie-Patient dauert die Anamnese sehr lange, weil man nichts sieht.
Starke Emotionen: Diese sind wegen der langen Dauer der Zahnschmerzen und den bisherigen enttäuschenden Zahnarztbesuchen gut verständlich. Und es leuchtet auch die Kritik an den früheren zahnärztlichen Arbeiten ein. Der Patient wiederholt mehrfach mit ratlos machenden Erklärungen sein Anliegen, oft in einem klagenden Ton, der bis an die Tränen reichen kann ("die Ecke da hinten knallt gegen den Zahn", "der Zahn ist seit der letzten Behandlung zu hoch", "früher war alles in Ordnung" usw.). Und vor der besagten ersten Füllung war immer alles in Ordnung.
Weit ausholende Kieferbewegungen: Der Patient zeigt mit überdurchschnittlich weit ausholenden und auch etwas hinter der Hand versteckten Kieferbewegungen die störende(n) Stelle(n). Aber er berührt etwas unruhig nicht jedesmal denselben Zahn, fast als ob es ihm peinlich wäre und er sich dabei schämen würde, oder ob er doch nicht so ganz genau wüsste, welche Stelle es ist. Die Kiefergelenke sind so beweglich, dass auf einem Zahn beim Anfärben ganz verschiedene Stellen markiert werden können.
Keine normale Ruhelage möglich: Er findet seltsamerweise keine Antwort auf die Frage, weshalb er immer wieder auf den schmerzenden Zahn beisse und man doch normalerweise einen schmerzenden Zahn durch Nicht-Zubeissen schonen würde.
Allgemeine Verwirrung: Im Gespräch entstehen Momente, wo alle durcheinander sprechen: Der Patient: "Da hinten ist zuviel, und da vorne ist zu wenig", die Assistentin: "es kann doch nicht gleichzeitig zu viel und zu wenig haben!", der Partner: "Wir müssen halt wieder bei Punkt Null beginnen!", der Zahnarzt: "Schauen Sie, auf dem Foto sind die Kontaktpunkte auf allen Zähnen schön gleichmässig angefärbt!".
Starke soziale Komponente: Wenn der Patient seinen Partner mitbringt und dieser beim Gespräch anwesend ist, so wird auch er von Emotionen ergriffen, ähnlich wie eine Mutter voller Angst vor dem Zahnarzt, die in einer schützenden und gar verzweifelten Absicht ihr Kind bei der Zahnbehandlung begleiten und vor Schmerzen bewahren will.
Nein, Bruxismus ist keine Denkstörung. Er ist ein stressbedingter motorischer Automatismus, der wenigstens im Fall von Wachbruxismus kontrolliert werden kann.
Medikamente werden nicht gerne eingenommen. Sie können den Bruxismus nicht beenden. Aber wenn ständig Schmerzen oder starke Emotionen entstehen, kann man ein Beruhigungsmittel versuchen. Da helfen zum Beispiel die SSRI. Sie müssen aber von einem Psychiater verschrieben werden. Sie wirken vielleicht erst nach ein paar Wochen, verbessern aber die Stimmung und könnten sogar Mut machen zur Physiotherapie, um die verkrampften Muskeln zu entspannen.
Wenn beim Bruxismus Zahnschmerzen entstehen, muss man dauernd an die Zähne denken. Leider kann da keine Zahnbehandlung helfen. Einen Ausweg findet man, wenn man beginnt, an andere Dinge zu denken als immer nur an die Zähne. Schliesslich sind diese ja fest, haben keine Karies und hat man kräftige Kaumuskeln. Um Umdenken zu lernen ist ein Coaching ganz ohne Zahnbehandlung zu empfehlen.

55-jährige Patientin (21.01.2026 / 8916)
Anamnese: Vor 10 Jahren wurde auf ihren Wunsch der Oberkiefer kieferorthopädisch rotiert. Denn ein Eckzahn stand zu weit vorne und der andere zu weit hinten. Nach dieser Behandlung habe der Biss nicht mehr gestimmt. Die Irritation überträgt sich sogar auf die Zunge, welche komische Bewegungen macht. Hinzu entsteht gelegentlich ein Drehschwindel, der durch die gedankliche Rückrotation des Oberkiefers entsteht. Sie hat eine flache Michigan-Knirscherschiene. Aber sie meint, ihr Kiefer sollte gestärkt und nicht entspannt werden.

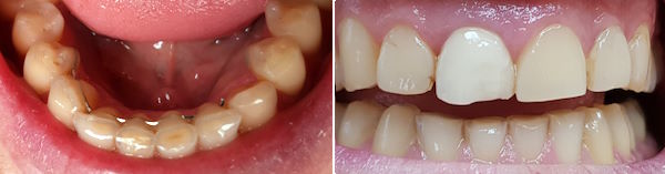
67-jährige Patientin (04.06.2025 / 8785)
Anamnese: In den letzten Jahren wurden 65+45(6)7 und 8(7)6-4(56)7 neu überkront. Auffällig sind die fast sekündlichen Bisskontrollen der Patientin. Sie trägt jede Nacht eine Michigan-Schiene. Keine parodontalen Probleme. Immer wieder teils starke Zahnschmerzen, und zudem sei der Aufbiss nicht gut. Es sei zuviel abgeschliffen worden und es brauche neue Kronen. Sie wünscht jetzt eine Bisserhöhung mit Komposit.
Therapie: Nur ein minimales Einschleifen von 15 und 24, um die Erwartungen der Patientin zu erfüllen. Immerhin war ihr Anfahrtsweg über 5 Stunden lang. Zudem eine FOS-Schiene.

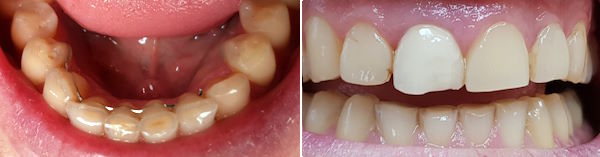
37-jährige Patientin (07.02.2025 / 8794)
Anamnese: Die Patientin bekam letzten Sommer zwei Teilkronen. Da fühlte sich der Biss aber komisch an, und seit seit zwei Monaten schmerzt er beim Kauen unerträglich und kann sie sich nur noch mit Flüssigkeiten ernähren. Ihre Zahnärztin hat mehrmals eingeschliffen und meinte zuletzt, es stimme alles und sie schleife nicht weiter ein. Ein anderer Zahnarzt riet zu einer CMD-Therapie.

Therapie: Die Okklusion wurde in einer Sitzung korrigiert. Dabei durfte die Patientin jeden Arbeitsschritt vorschlagen und nachher genau prüfen, ob er sich gut anfühlt. Weil sie schon seit zwei Monaten nicht mehr kaut, war das nicht so einfach. Zuerst wollte sie den 16 aufbauen, denn er war 2−3 mm zu kurz. Dann kam auf der anderen Seite der 26. Dann wollte sie die Porzellankrone 36 verändern mit den scharfkantigen tiefen Grübchen. Zuletzt wollte ich noch bei 45 und 35 das Kauzentrum vergrössern.
Nach der Behandlung folgte eine Kauprobe mit einigen Salzstengeln. Da stellte sich heraus, dass die Patientin wieder schmerzfrei kauen konnte. Das machte ihr so viel Freude, dass sie Tränen bekam.
Arbeitszeit: 3.5 Std. Preis: 1'220 CHF
Die Patientin hat keine Schmerzen mehr. Allerdings mochte sie nach drei Tagen wieder nur weiche Sachen kauen. Denn wenn sie auf die neuen Zähne beisst, fühlen sich diese hart und wie metallene Nadeln an. Sie nimmt sich vor, demnächst in Russland alle Zähne mit Goldkronen versorgen zu lassen (sie selber kommt aus der Ukraine).
Dieses Gefühl ist die Folge der Unterfunktion des Kiefers. Denn unbelastete Zähne haben ein engeres Zahnfach (0.1 − 0.2 mm) als belastete (0.4 mm). Entsprechend sinkt ihre natürliche Beweglichkeit von 0.2 auf 0.1 mm, und ihre Funktion als Stossdämpfer ist im engen Zahnfach nur noch halb so gross wie normal. Die parodontalen Drucksensoren spüren den Kaudruck stärker, rascher und härter als in einem weiten Zahnfach.
Dieses schmerzhafte, unangenehme Kaugefühl hätte durch ein Kautraining verhindert werden können. Leider habe ich die Folgen der Unterfunktion aber erst nachher im ChatGPT gefunden:
Kieferorthopäden empfehlen, dass Kinder (solange der Unterkiefer wächst) immer wieder auch harte Nahrung (rohe Karotten etc.) essen sollen statt weiche, weil dann die Kaumuskeln und die Zunge grösser werden und so den Unterkiefer und die Zahnbögen verbreitern. Das ergibt eine schönere Zahnstellung und eine bessere Atmung.
Indikation Blitzschmerz und Kaltempfindlichkeit: Wenn beim Essen ein Zahn genau im Moment des Zubeissens blitzartig schmerzt, dann wird einer seiner Höcker durch eine Querkraft nach links oder rechts überlastet. Die Überlastung ist nicht immer so gross, dass ein grosser Schmerz entsteht. Aber wenn sich die Überlastung jahrelang wiederholt, so wird der Zahn oft kaltempfindlich, seltener warmempfindlich. Die Querkraft könnte mit der Zeit einen Haarriss im Zahn verursachen und ihn schliesslich frakturieren. Um das zu verhüten, sollte man den Höcker etwas verkleinern (einschleifen). Das schmerzt meistens nicht oder nur wenig, wenn der Zahn wegen den Überlastungen empfindlich geworden ist.
Indikation fehlende Zentrik: Fehlt bei einem Zahn der zentrische Kontakt und/oder hat er einen breitflächigen Kontakt bei einem schiefen Höckerabhang, so sollte man den schiefen Kontakt prophylaktisch einschleifen um die Querkräfte zu vermindern. Zudem sollte man allenfalls einen zentrischen Kontakt herstellen.
Einen zentrischen Kontakt herstellen: Manchmal liegen die oberen und unteren Seitenzähne etwas versetzt gegenüber, weil der Oberkiefer zu schmal oder zu breit ist. In diesen Fällen fehlen einige zentrischen Kontakte. Oft entstehen stattdessen Höcker-Höcker-Kontakte und Kontakte auf schiefen Flächen. Je nach Bewegungsmuster des Unterkiefers können solche Zähne gut funktionieren. Aber bei einer Überlastung oder bei einem Gefühl, dass etwas fehlt, kann man mit einem Witzgall-Höcker aus Komposit einen idealen zentrischen Kontakt herstellen. Er liegt dann nicht am anatomisch normalen Ort, sondern an dem für die spezielle Zahnstellung funktional richtigen Ort, also irgendwo zwischen oder neben den anatomischen Zahnhöckern.

vorher - nachher anzeigen
62-jähriger Patient (17.12.2025 / 3074)
Anamnese: Der Patient hatte vor vier Jahren einen zentralen Riss unter der Amalgamfüllung von +7.
Nun ist er gekommen, weil er einen beginnenden Riss beim Zahn -6 beobachtet hat.
Die Schlifffacette auf dem Weisheitszähnen zeigt einen Bruxismus an.

vorher - nachher anzeigen
24-jähriger Patient (17.11.2025 / 8888)
Anamnese: Der Patient musste wegen einer kieferorthopädischen Behandlung 4+4 ziehen und 765+567 nach vorne verschieben lassen. Deshalb ist eine Minderbelastung des Kauzentrums 6-6 entstanden. Um besser kauen zu können, hat er nur noch links gebissen. Dabei ist aber +7 elongiert und ein Vorkontakt auf +-7 entstanden, der ihn störte. Er hat deshalb schon fünf verschiedene Knirscherschienen erhalten.
Therapie: Die mesialen Höcker des Zahnes 6- konnten ganz einfach mit Komposit erhöht werden.
Das Kaugefühl war dann sofort besser.
In der nächsten Sitzung wird auch noch der Zahn 5- erhöht, um das Kauzentrum noch etwas mehr zu vergrössern.
Vorbehalt: das Kaugefühl ist gut geblieben.

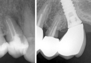
Der erste Prämolar ist zerbrochen wegen einer chronischen Überlastung und ohne Karies.
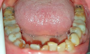
50-jährige Patientin (09.12.2025 / 8956)
Anamnese: Die Patientin spürte schon vor Jahren manchmal, wenn sie an dieser Stelle fest z. B. auf ein Korn gebissen hat, kurze einschießende Schmerzen.
Ihre Zahnärztin meinte, sie knirsche und man müsse den Zahn ziehen. Die Patientin selber hat aber nicht das Gefühl, das sie knirscht. Und ihre Zähne sind überdurchschnittlich gesund und haben lediglich in paar wenige kleine Füllungen.
Die schmerzhaften und viele kraftvolle Belastungen haben zur Fraktur geführt. Schuld war ein Nahkontakt zwischen dem palatinalen Höcker und dem Gegenzahn (Hyperbalance).
Insgesamt sind es 322 FälleDer Bruxismus verursacht Risse und Frakturen bei den Zähnen, Füllungen, Kronen, Brücken und Implantaten.
Diese Schäden können schon nach kurzer Zeit entstehen.
Muss der Patient trotzdem wieder bezahlen?
Nein, wenn der Zahnarzt den Bruxismus nicht berücksichtigt hat.
Hier werden einige Zahnfrakturen und Okklusionsfehler gezeigt, die trotz Bruxismus alle mit Komposit repariert worden sind.

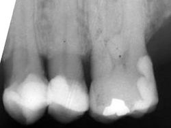
71-jährige Patientin (03.02.2026 / 137)
Keilförmige Defekte sind die häufigsten Zeichen von Bruxismus und wie ein kleiner Spiegel der Seele.
Mit kleinen Retentionsgrübchen kann man das Komposit besser retinieren. Der Bruxismus bewirkt in vielen Fällen nach 10-20 Jahren einen zweiten keilförmigen Zahnhalsdefekt unter der Zahnhalsfülung.

74-jährige Patientin (03.10.2024 / 7938)
Bei diesem Fall besteht das Kauzentrum aus dem Implantat 3-i, den vier schwächsten Zähnen 21-12 und einem wurzelbehandelten Eckzahn -3. Diese beissen und kauen gegen eine Kompositbrücke mit Drahtverstärkungen (siehe hier)
Die Frakturgefahr entsteht nicht durch Bruxismus, sondern durch die geringe Grösse des Kauzentrums. Bei einem kleinen Kauzentrum werden die Zähne mechanisch gesehen gleich überlastet wie beim Bruxismus.
Nach einem Jahr ist beim Implantat +2i die Kompositfacette abgesplittert. Komposit klebt nicht an metallenen Implantat-Sekundärteilen. Deshalb wurde die Haftung mit einem zusätzlichen queren Draht und mit einem um Draht und Implantat herumgewickelten Ligaturendraht rein mechanisch verbessert.

Der Patient wollte einen schöneren Zahn vor Weihnachten. Dann das Porzellan war von der Krone abgebrochen. Er hatte keine Schmerzen. Obwohl der Zahnhalsdefekt tiefer war als der Wurzelkanal!


79-jährige Patientin (10.07.2025 / 6563)
Das kräftige Beissen hat trotz einer Knirscherschiene diesen Prämolar beim Zahnhals querfrakturiert obwohl er vital und kariesfrei ist.
Porzellan- und Goldkronen sind nicht elastisch wie die Zähne sondern starr, so dass sich die Querkräfte alle am Kronenrand beim Zahnhals auswirken. Dieser Zahnhals hat den Querkräften gewiss 30 Jahre lang stand gehalten.

72-jähriger Patient (06.01.2025 / 8010)
Dies ist ein wurzelbehandelter Prämolar mit einer Porzellankrone. Er ist ebenfalls kariesfrei. Aber wegen der Wurzelfüllung bricht er schneller ab als ein Zahn mit lebendem Nerv.
Man bedenke: ein Bruxismus dauert jahrzehntelang. Es entstehen also sehr viele Überlastungen. Und vielleicht entsteht dann noch im hohen Alter eine Fraktur.

24-jähriger Patient (29.01.2026 / 8888)
Der Patient hatte nach der kieferorthopädischen Behandlung kein gutes Bissgefühl. Die Anfärbung zeigt, dass die wichtigsten Molaren 6-6 fast nicht belastet werden.
Mit Komposit wurde auf die Molaren 76-6 je ein Witzgall-Höcker aufgesetzt. Diese befinden sich nicht am gewöhnlichen Ort, sondern dort, wo sie den Biss am besten unterstützen. Bei der kieferorthopädischen Behandlung mussten die oberen Molaren etwas nach vorne verschoben werden und passten deshalb nicht mehr gut zu den unteren.

Es ist eine eigene Kunst, Porzellankronen mit Komposit zu reparieren. Dazu kann man wie in diesem Fall das Porzellan mit vielen mechanisch wirkenden Retentionsrillen aufrauhen. Diese sind nötig, weil das Komposit am Porzellan nicht so gut klebt.

85-jährige Patientin (30.06.2025 / 1259)
Bruxismus, Zigaretten und die schwierige Mundhygiene sind schuld an den Misserfolgen.

67-jähriger Patient (29.01.2026 / 2688)
Der Patient hat einen ausserordentlich starken Händedruck, und es sind ihm schon zwei andere Höcker abgebrochen. Die palatinalen Höcker der oberen ersten Prämolaren werden wegen Hyperbalancen zur Seite gedrückt und brechen häufiger ab als die anderen.
links: Der Prämolar mit dem abgebrochenen Höcker.
rechts: Der 0.6 mm kleine Rosenbohrer verbessert die Haftung des Komposits. Dazu bohrt man mit ihm dem Rand des Defektes entlang eine Serie von kleinen Löchern. Diese bewahren die Füllung vor dem Abrutschen wie die Nägel einer Schuhsohle.

36-jährige Patientin (27.01.2026 / 5278)
Der lose Höcker wird entfernt und mit einer Drahtnetz-Verstärkung repariert.

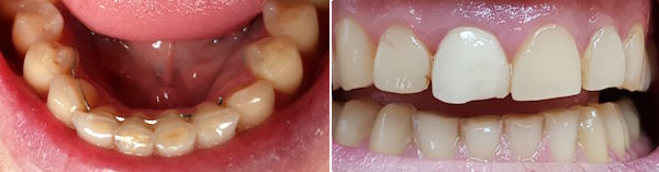
46-jähriger Patient (28.01.2026 / 8900)
Zuerst wurde 6- erhöht, dann -6, dann 87-, dann -7 (Bild rechts unten).
Der Patient bestätigte zwei Tage später per Email, dass er mit der neuen Bisslage gut zurecht kommt.
3 Wochen später 1+1, dann +234 und dann noch 32+ (Bild rechts oben). Zuletzt fertigte ich noch eine FOS-Schiene an.
Arbeitzeit: 2+3 Stunden, Preis: 1'930 CHF

75-jährige Patientin (03.02.2026 / 1422)
Bei dieser Patientin hat der Bruxismus etwa 1 Zahn und 1 mm Zahnsubstanz pro 10 Jahre gekostet.
Die Füllungen und Wurzelbehandlungen haben etwa 10'000 CHF und
die Kronen, Brücken und das Implantat etwa 20'000 CHF gekostet.
Diese Schäden sind mehrheitlich nicht wegen Karies, sondern wegen dem Bruxismus entstanden.
Wurzelfraktur 4+ (2026) Brücke +345i (2017)
Zahnstatus (2026)
Der Bruxismus und die okklusale Dysästhesie sind das Gegenteil der Ruheschwebe oder der Ruhelage des Unterkiefers. Die ständige Belastung des Kiefers nutzt die Zähne ab und macht Zahnbehandlungen nötig. Will man das nicht, so kann man versuchen, die Ruhelage zu lernen. Dazu muss man meistens zuerst den Grund des Bruxismus finden, und dann wird meistens auch etwas mehr Ruhe im Leben einkehren.
Den Wachbruxismus kann man selber loswerden mit neuronalen Ankern, mit autogenem Training,
mit einer Habit Reversal-Technik und dergleichen.
Beim Schlafbruximus kann man mit Biofeedback-Sensoren die Atmung, Schlaftiefe und Muskelanspannung etc. messen und dann die Schlafqualität verbessern, z.B. mit dem Garmin-Schlafcoach. Oder man kann den Schlaf auch vor dem Schlafengehen mit autogenem Training im Bett verbessern.
Gelingt das nicht, so gibt es professionelle Hilfestellungen von anderen Leuten. Bei diesen kommt es nicht so sehr auf die
Methode an, die sie verwenden, sondern vor allem auf eine vertrauensvolle Beziehung zu ihnen.
Eine gute und einfache Methode ist die Dentosophie.
Sie ist eine ganzheitliche Herangehensweise, die jeder lernen kann.
Sie hat mehr Erfolg als blosse zahnärztliche Eingriffe, weil
sie auf eine einfühlsame, freundliche und rücksichtsvolle Weise hilft,
die Entspannung der Gesichtsmuskeln, Atmung und sogar der Körperhaltung zu üben.
Die meisten Klienten sind Kinder mit Zahnproblemen.
Aber die Methode kann auch beim Bruxismus und bei der okklusalen Dysästhesie nützen.
Gelingt auch das nicht, so sind die Hintergründe zu stark. Diese kann man in einer psychotherapeutischen Behandlung finden und verändern. Auch sie verfügt über spezifische Techniken zum Lernen einer neuen Denkweise. Im Krankheitsfall ist eine Polysomnografie-Analyse im Schlaflabor angezeigt und vielleicht eine Schlafapnoeschiene oder eine Gewichtsabnahme hilfreich.
Das einfachste Mittel gegen Stress ist regelmässig Feierabend ohne E-Mails, Erreichbarkeit und To-do-Liste, denn die Psyche braucht eine Freizeit ohne Überraschungen in einem sicheren Umfeld und mit Entspannung. Dann werden viele Hobbies möglich ohne Stress. Zum Beispiel solche mit rhythmischen Bewegungen wie beim Tanz und Gruppentanz. Andere mit Naturkontakt beim Gärtnern, Angeln oder Spazierengehen. Andere sind kreativ wie Zeichnen und Töpfern usw. Und noch andere verlangen eine sanfte Aufmerksamkeit wie Briefmarken sammeln, stricken, Gobelin sticken, ein Kleid nähen, ein Tagebuch schreiben oder ein Buch lesen, oder Klavierspielen lernen, eine Mandala ausmalen, usw. Diese Hobbies sind ganz in Ruhe auszuführen, also Kochen ohne zusätzliche Ländlermusik und ohne Radio-Nachrichten "die bewegen", Joggen ohne Kopfhörer, Autofahren ohne Bedienung des Navigators und ohne Telefongespräche zu führen.
Wenn Patienten knirschen, pressen oder den ganzen Tag über immer wieder auf die Zähne beissen, dann führt dies unweigerlich zu Schmerzen. In der Nacht hilft eine Knirscherschiene (vorzugsweise eine FOS). Am Tag kann man mit der Anwendung eines neuronalen Ankers selber etwas dagegen unternehmen. Diese Methode wurde schon von vielen unserer Patienten erfolgreich angewendet.
Es werden kleine (ca. 5 mm Ø) runde Aufkleber (Kopfform) als neuronale Anker verwendet. Die Aufkleber können aber auch grösser und in der Lieblingsfarbe sein. Wichtig ist, dass eine positive Verbindung zu der zu verändernden Haltung hergestellt wird. Der Patient wird gefragt, welches Zeichen für ihn oder sie am besten wäre um die Ruheschwebe der Zähne zu symbolisieren. Zum Beispiel ein lachendes oder lächelndes Gesicht (beim Lachen sind die Zähne auseinander), oder wenn man bei geschlossenen Lippen ein o formt (die Zähne sind auseinander). Dann wird das entsprechende Gesicht auf die Kleber aufgemalt. Zwei Punkte für die Augen, eine für die Nase und dann ein o oder einen lachenden Mund.
Danach kommt die wichtige Verbindung zwischen Kleber anschauen und Wirkung. Die Patienten erfinden selber einen Satz, der sie beim Anblick des Klebers daran erinnert, die Zähne auseinander zu halten, also in der Ruheschwebe zu halten. Auf keinen Fall sollte der Satz lauten: "Zähne nicht zusammenbeissen". Das letzte Wort ist auschlaggebend für den erwünschten Gedanken. Also besser ist: "Zähne offen lassen" oder einfach "lächeln".
Nun kommt die Instruktion, mehrere dieser Kleber zu basteln und überall dort zu platzieren, wo man oft hinschaut. Also mindestens: auf die Uhr, das Handy, den PC, Fernbedienung, Kühlschrank, an den Spiegel im Badezimmer/WC, Lenkrad usw. Je mehr, desto wirkungsvoller.
Wenn die Patienten also z.B. auf das Handy schauen und den Kleber bewusst (mit der Zeit unbewusst) sehen und an den Satz „lächeln“ oder „Zähne offen lassen“ erinnert werden, dann wird ihnen bewusst gemacht, dass sich die Zähne in der Ruheschwebe befinden sollen und sie machen es sogleich. Je öfter, sie also daran erinnert werden, desto wirkungsvoller ist es.
Eine Veränderung kann mehrere Wochen dauern. Ein Patient machte den Vorschlag: wenn ich mich an die grünen Kleber gewöhnt habe, dann kaufe ich orange Kleber, damit sie den Effekt weiter herbeiführen können.
Weitere Do-it-yourself-Techniken zur Stressverminderung sind Meditation, Achtsamkeitsübung vor dem Schlafen, ein Spaziergang und Musikhören und viele mehr (siehe youtube).
| 1. Früh bemerken | War es Stress, am Steuer, Ärger, oder sonst eine Anspannung am PC/EMail? |
| 2. Kiefer lösen | Unterkiefer locker hängen lassen, Zunge locker an den Gaumen legen, Lippen sanft aufeinander legen. |
| 3. Ausatmen und Schultern senken | Und lob dich für jedes rechtzeitige Bemerken und Neu-Reagieren. Stichwort: 'locker lassen' |
| 4. Weitermachen | Auch zuhause anwenden, an der Arbeit, bei anderem Stress, in Gesprächen usw. |
Das Training für die Ruhelage braucht einige Wochen Übung.
Ein heisser Umschlag, feucht-heisses Tuch oder ein Wärmebeutel auf der schmerzen Wange verbessert die Durchblutung und vermindert den Schmerz.
Einen Korkzapfen über die schmerzende Wange rollen (Faszien-Rollmassage) und eine Dehnübung tun gut und massieren den Kaumuskel.
Kaugummi-Verbot: Der Kaugummi trainiert die Kaumuskeln, statt dass diese ruhig bleiben. Er ist wie ein Trigger, der das Kauen auslöst und die Ruheschwebe verhindert.
Magnesium beruhigt die Muskulatur. Bedenke: Stress, Zucker und Koffein erhöhen den Magnesiumbedarf.
Medikamente: kurzfristig können Schmerzmittel und Muskelrelaxantien wie Ibuprofen und Diclofenac eingenommen werden.
Aber langfristig sind die obigen Techniken besser als Medikamente.
Botox-Injektionen wirken zwei bis drei Monate, dann muss man sie wiederholen (ca. 400 CHF pro Spritze).
Jüngeren Patienten akzeptieren Medikamente oft lieber als eine Therapie.
Die FOS-Schiene stoppt den Bruxismus sofort. Sie ist rechts im Bild sichtbar (gelblich) und hält die hinteren Zähne auseinander. Nun befinden sie sich "in der Ruheschwebe", ob man will oder nicht, und können sich erholen.

Ein guter Ratgeber gegen Muskelverkrampfungen und Knirschen ist hier: www.liebscher-bracht
Auch eine Knirscherschiene kann ein Trigger werden (obwohl sie das Knirschen verhindert,
fördert sie manchmal das Pressen),
der Druckknopf eines Kugelschreibers, ein störender Zahnhöcker, ein Fingernagel,
eine Rauhigkeit auf einer Kaufläche, eine Hautschuppe auf der Lippe usw.
Bei Kindern mit vorstehenden Zähnen kann ein
Bad habit entstehen, wenn sie mit der Unterlippe
die oberen Frontzähne nach vorne schieben oder am Daumen lutschen. So kann sich der Zahnbogen verformen.
Es gibt zahlreiche Apps und Hilfsmittel, Kurse, Fortbildungen und Therapien gegen schlechte Gewohnheiten jeglicher Art.
Meeresrauschen hat eine nachweislich beruhigende Wirkung auf den Menschen.
Der rhythmische Klang der Wellen senkt den Cortisolspiegel, fördert Entspannung, reduziert Ängste und wirkt wie eine akustische Massage für das Gehirn.
Diese Geräusche signalisieren Sicherheit, überdecken störende Hintergrundgeräusche und wirken schmerzmindernd.
Rhythmus und Herzschlag: Die Frequenz der Wellen entspricht oft einem ruhigen, entspannten Herzschlag, was das Nervensystem beruhigt.
Wissenschaftliche Belege: Studien zeigen, dass das Geräusch Stress abbaut und die Gehirnaktivität in einen entspannten Zustand versetzt.
"Blue-Space"-Effekt: Nicht nur das Geräusch, sondern auch die Farbe Blau und die weite Sicht (Blue-Space) entspannen die Psyche.
Anwendung: Meeresrauschen wird häufig bei Entspannungsübungen oder zur Schmerzlinderung eingesetzt, etwa in Zahnarztpraxen.
Es ist eines der effektivsten natürlichen Geräusche, um den Körper in einen Ruhezustand zu versetzen.
Menschen in lärmigen Wohnorten haben mehr Stresssymptome und Kiefer- und Gesichtsschmerzen.
Lärm über 55 Dezibel gilt als eine psychische Belastung.
Durch lärmige Musik, Kinderschreie, schnelle Bewegungen und verführerische Turn- und Springgeräte werden die Kinder angeregt, sofort auch hektische Bewegungen zu machen. Die jungen Mütter wollen ihre kleinen Kinder instinktiv an diesen modernen hohen Stresspegel gewöhnen. Es ist unmöglich, bei einem solchen Hintergrundlärm ein Nickerchen zu machen, während dies beim Meeresrauschen gut denkbar ist.
Kein Wunder, dass alle Soziologen, Psychologen, Versicherungen und Meinungsforscher einen weiteren Anstieg des Stress prognostizieren.

Die Uhr registriert die Schlafphasen und hat ein Schlafprotokoll, einen Schlafcoach und viele weitere Funktionen. Bruxismus findet vor allem im Leichtschlaf in den Arousal-Phasen statt.
Ein Schema der Schlafphasen Wach/REM/Leicht/Tief ist hier.
Mögliche Ursache des Bruxismus ist eine Schlafapnoe. In solchen Fällen kann eine Unterkieferprotrusionsschiene den Bruxismus vermindern und den Schlaf verbessern.
Schnarchschiene Narval CC von Resmed
Bei der Dentosophie muss man keine Angst vor einer Zahnbehandlung oder vor einer tiefgreifenden Psychoanalyse haben. Damit sich der M. masseter und der M. temporalis entspannen lernen, muss man vielleicht eine bessere Körperhaltung und Atmung zu angewöhnen.
In der Schweiz ist gewiss die Praxis von Frau Dr. med. dent. Susanna Leu
in Bern zu empfehlen. Sie hat das Buch von Michel Montaud übersetzt, dem Gründer der Dentosophie.
Weitere Dentosophie-Therapeuten finden sich bei Dentosophie Schweiz.
In Deutschland möchte ich besonders Frau
Hilda Miryam Loewenstein
in Frankfurt empfehlen.
Sie kann bei ihren Klienten nach wenigen Wochen beobachten, dass die Entspannung der Kaumuskeln eine
Diskus-Dekompression
bewirkt, und zwar daran, dass die
oberen und unteren Molaren sich nicht mehr ganz berühren.
Dieses Phänomen verschwindet in den folgenden 3-6 Monaten automatisch von selber dank der
Elongation der Zähne.
Weitere Dentosophie-Therapeuten finden sich bei Dentosophie Deutschland.
Die Psychotherapie sucht die Ursachen des Bruxismus, macht sie dann bewusst und findet eine entsprechende Therapie zur Verhaltensänderung. Dabei sind allerdings die Sympathie zum Psychotherapeuten und die Angstfreiheit vor ihm entscheidend für den Erfolg. Die Suche geschieht mit einer Gesprächsanalyse (Fragen nach wiederkehrenden Problemen, Gefühlen usw.), Assoziationstechniken und evt. auch mit einer Traumdeutung. Die Ursachen sind verborgen und persönlich. Vielfach sind es Erfahrungen in der Kindheit, Angst, Ehrgeiz, hoher Leistungsdruck, Stress, ein Kontrollwahn, sogar auch Langeweile und Freude an Arztbesuchen usw. Durch die Bewusstmachung und durch das Verstehen des Zusammenhangs zum Bruxismus wird dann eine Bearbeitung möglich und ein neues Verhalten eingeübt. Dieses ist tiefenpsychologisch, kognitiv oder eher somatisch orientiert.
Tiefenpsychologische Ansätze sind sehr zahlreich und hoch interessant, siehe zum Beispiel Wikipedia: Tiefenpsychologie oder Wikipedia: Entwicklungspsychologie
Kognitiv sind ERP-Techniken. Da hält man zum Beispiel die Zungenspitze 5 Sekunden lang an das Gaumendach. Dabei sind die Zähne ein wenig auseinander und bleiben die Lippen geschlossen. Danach kontrolliert man, ob alles gut gegangen ist. Diese Kontrolle der Harmlosigkeit der gebogenen Zungenspitze wiederholt man jede halbe Stunde. Die Absicht ist, sich so den Beissreflex abzugewöhnen.
Somatisch sind TRE-Techniken, die Progressive Muskelentspannung, Feldenkrais, physiotherapeutische Übungen, usw.
Die Dentosophie hilft mit einer weichen Balancer-Schiene, die Kaumuskeln, Lippen und Zunge zu entspannen. Dazu gehören auch Atem-, Kau- und Schluckübungen. Diese verbessern sogar die Körperhaltung. Die Gefühle bei den Übungen und die dabei gespürten körperlichen Veränderungen kann man natürlich am besten in einer angstfreien Umgebung, ohne Manipulationen im Mund und ohne tiefgreifende psychologische Analysen sich bewusst machen und besprechen.
Diskus-Kompression Diskus-Dekompression
Eine dentosophische Balancer-Schiene
