
Die Veränderungen entstehen wegen der Kaukraft und sind bei einem Heavy biter am deutlichsten sichtbar. Dieser schleift pro Monat etwa einen hundertstel Millimeter vom Zahn ab, also etwa 1 mm pro 10 Jahre. Nach 30 Jahren braucht es dann manchmal eine Bisserhöhung. Diese kann sehr teuer werden (zB 20 Porzellankronen zu je 1000 CHF) Durch die Abnützung der Zähne entstehen mit der Zeit okklusale und inzisale Knirschfacetten sowie ein Gruppenkontakt. Er vermindert die Überlastung einzelner Zähne und ist deshalb ein natürlicher Schutzmechanismus.
Gewisse Formen der Abnützung verursachen jedoch Fehlbelastungen, Empfindlichkeiten und Schmerzen. Man kann sie weder auf dem Röntgenbild sehen noch irgendwie messen. Einige kann man mit dem Farbband markieren, aber andere kann man nur mit solchen Überlegungen zur Kaumechanik finden:
Leitsymptome:
Ursachen:
Therapien:
Der Unterkiefer kann sehr viele verschiedene Stellungen einnehmen. Sie dienen nicht nur zum Essen, sondern auch zum sehr kraftvollen Zubeissen mit leerem Mund. Entsprechende Redewendungen gibt wohl es in jeder Sprache um Schmerzen oder unangenehme Situationen zu ertragen, um besonders mutig oder tapfer zu sein, um eine maximale sportliche Leistung zu vollbringen usw.
Die Zähne sind von der Natur nicht zu einem hochpräzisen Werkzeug gemacht worden (wie etwa die Augen). Sie dienen nur dazu, das Essen mehr oder weniger fest zu zerkleinern, damit man es schlucken kann. Weil alle Zähne sehr individuelle Kauflächen haben, passen sie in keiner Stellung perfekt zusammen.
Aber immer häufiger stören sich besonders sensible Patienten an diesen "Unstimmigkeiten" in ihrem Biss. Sie versuchen dann, mit starkem und häufigen Zubeissen die Zahnstellung zu korrigieren. Dies führt nicht selten zu einer Verkrampfung der Muskelkette vom Unterkiefer, Nacken, Schultern, Rücken, Becken, Hüfte, Bein bis zum Fuss hinunter. Dabei ist diese vermeintlich "richtige" Form der Zähne keine physiologische, sondern eine parafunktionelle. Denn beim Kauen berühren sich die Zähne gar nicht oder höchstens einmal ganz kurz und unabsichtlich, sowohl beim normalen Kauen wie auch beim Frontzahnkauen.
Frontzahnkauen: Beim Kauen mit den Frontzähnen ist die Essware meistens ein kleines hartes Körnchen. Es wird ziemlich bewusst mit der Zungenspitze und den Lippen auf einen einzelnen Frontzahn geschoben und dort beim Kauen am Platz gehalten, bis es nach vielen Kaubewegungen weich und kleiner geworden ist. Alle anderen Zähne ausser diesem bleiben ausser Kontakt. Dabei macht der Unterkiefer eine Nagebewegung, bei welcher der kauende Zahn in einer Kopfbissstellung bleibt.

45-jähriger Patient (17.06.2025 / 2989)
links: Hier sieht man den spitzigen Höcker des oberen Weisheitszahnes. Der untere Weisheitszahn wurde vor etwa 20 Jahren entfernt. Deshalb ist der Höcker spitzig geblieben. Die anderen Zähne hingegen haben sich beim Kauen und Knirschen auf normale Weise abgenützt. Sie haben alle rundliche Höcker bekommen.
rechts: Unterdessen ist der Weisheitszahn aber etwas herausgewachsen, und sein spitziger Höcker sticht immer häufiger ins Zahnfleisch vom Unterkiefer. Deshalb habe ich ihn abgerundet. Und zwar etwa 2 mm. Das entspricht der oft beobachtbaren Abnützung von einem Millimeter pro zehn Jahre und tut überhaupt nicht weh.
Fehlbelastungen auch bei natürlichen Zähnen ohne Karies
Die Schulzahnpflege hat die Karies grösstenteils eliminiert.
Sie ist deshalb bei den Kindern und den meisten Erwachsenen zu einer Ausnahme geworden.
Aber manchmal muss man doch zum Zahnarzt wegen einer mechanischen Überlastung oder Fehlbelastung.
Diese ist meist stressbedingt und verursacht zunächst einmal Zahnschmerzen, Kauschmerzen oder Muskelschmerzen.
Schiefe Ebenen sind der Hauptgrund von Fehlbelastungen. Diese sind zum Beispiel schuld an einem Spalt zwischen zwei Zähnen, in dem sich immer Speiseresten befinden und schliesslich Zahnfleischschwund und Karies entsteht. Andere schiefe Ebenen verursachen Querkräfte, die zum Beispiel zu einer Ermüdungsfraktur führen oder den ganzen Zahn spalten. Die häufigsten schiefen Ebenen sind wohl die Hyperbalancen. Sie erzeugen sporadisch einen Blitzschmerz beim Kauen. Der Zahnarzt kann solche Fehlbelastungen erkennen und korrigieren − und auch prophylaktisch einschleifen.
Die vier nächsten Bilder zeigen natürliche Kauflächen des Unterkiefers und ihre Veränderungen im Laufe von 50 Jahren. Dank der Schulzahnpflege haben alle vier Gebisse keine oder nur wenig Karies. Die Veränderungen geschehen also vorwiegend wegen Knirschen und zahnschädlichen Essgewohnheiten. Man beachte vor allem die schiefen Ebenen, die entstanden sind!
Das letzte Bild zeigt einen älteren Patienten. Er hatte noch keine Schulzahnpflege und bekam deshalb viele künstliche Kauflächen aus Amalgam, Komposit, Gold und Porzellan. Überdies ist die rechte Seite durch ein Implantat und eine Brücke mehr verblockt als die linke Seite.

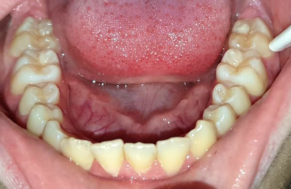
14-jähriger Patient (21.09.2022 / 7644)
Dies ist ein sehr schönes, kariesfreies Gebiss. Es ist typisch in der heutigen Schweiz.
vor 1960: Damals konnte niemand die Zähne gut putzen, und niemand wusste, dass Zucker gefährlich ist. Fast jedes 14-jährige Kind hatte ein Dutzend Amalgamfüllungen. In der Folge bekamen sie Kronen, Wurzelbehandlungen, Stiftzähne, Teilprothesen und Implantate. Damals war bei allen Patienten die Karies das Hauptproblem.
nach 1960: Um 1960 begann die Schulzahnpflege. Deshalb nahm die Karies ständig ab, und heute sind etwa 75% der Kinder kariesfrei.
2010: Die Zahnarztpraxen im Kanton Zürich sind durchschnittlilch nur noch zu 80% ausgelastet.
2023: Etwa 30% der 35-jährigen Patienten haben keine Karies, sogar schon einige 50-jährige sind kariesfrei. Bei älteren Menschen kann Karies unter Kronen und unter dem Zahnfleisch entstehen. Diese eher schwierigeren Fälle sind das Hauptproblem der Zahnheilkunde geworden.

33-jährige Patientin (11.04.2023 / 8413)
Das einzige Problem ist der Zahn -7 (im Bild rechts zuhinterst), auf dem die Patientin seit 4 Jahren nicht mehr kauen kann. Der Zahn gegenüber im Oberkiefer (+7, nicht sichtbar) hat auch eine solche weisse Füllung. Beim Essen entsteht immer ein Blitzschmerz, aber der Zahn ist nicht zu hoch. Ihr Zahnarzt hat ihn mehrmals eingeschliffen.
Die Kaufläche von -7 ist flacher als alle anderen und sie hat keine Abflussrillen. Es besteht der Verdacht eines breitflächigen Nahkontaktes.
Zudem haben 7-6 je eine Hyperbalance auf einer steilen Höckerwand (blau angefärbt). Besonders der Höcker bei 7- (im Bild links zuhinterst) erfährt bei jedem Biss eine Querkraft nach aussen. Sie könnte dazu führen, dass der Höcker in einigen Jahren abbricht. Er sollte also prophylaktisch abgeflacht werden.
Der Kauschmerz bei -7 konnte durch Einschleifen von Abflussrillen zur Beseitigung des breitflächigen Nahkontaktes zu +7 rasch und einfach beseitigt werden.

43-jährige Patientin (29.11.2023 / 8607)
Die Patientin hat keine Füllung, keine Karies und keine Zahnfleischentzündung und trotzdem schmerzt der 6- (roter Pfeil) manchmal etwas. Und neuerdings schmerzt manchmal der 6+ (blauer Pfeil). Beim Essen und nachts schmerzt nichts. Weshalb?
Der 6- hat zwei Farbpunkte: der vordere auf der Höckerspitze ist harmlos,
aber der hintere liegt auf einer schiefen Fläche, dem inneren Höckerabhang.
Das ist eine Hyperbalance und musste eingeschliffen werden.

64-jährige Patientin (07.11.2022 / 1192)
Die Patientin hat eine Füllung aus Amalgam und drei aus Komposit. Sie kam in den letzten 30 Jahren nur 5 mal zum Zahnarzt und ging 8 mal zur Dentalhygienikerin.
Wegen dem Knirschen fehlen alle Höcker, spürt sie immer wieder etwas Knirscherschmerzen bei den Wangenmuskeln und auch kaltempfindliche Zähne. Aber da wollte sie nie etwas dagegen machen bis 2024, als sich die kurzen Frontzähne komisch anzufühlen begannen. Da wollte sie einen Jig gegen das Knirschen ausprobieren (siehe hier).

88-jährige Patientin (07.09.2022 / 5387)
Dieses Gebiss ist ganz anders als die oberen vier, weil die Patientin noch keine Schulzahnpflege hatte.
Es hat eine Amalgamfüllung, vier Kompositfüllungen, sechs Porzellankronen, eine Implantatkrone und eine Porzellanbrücke. Die Frontzähne 321-123 sind abradiert und erodiert. 1+1 sind Porzellankronen. Sie haben die natürlichen Schneidekanten von 1-1 besonders stark abradiert.
Porzellankronen schleifen natürliche Zähne doppelt so schnell ab.
Erschwerte Therapie beim Heavy biter
Das Kauverhalten kann stressbedingt, krankheitsbedingt, okklusionsbedingt oder einfach wegen einer gut entwickelten Kaumuskulatur besonders kräftig sein.
Wegen dem Versagen des Schutzmechanismus bei keramischen Kauflächen kann eine bleibende Fehlbelastung entstehen.
Diese kann mit der Zeit auch ausserhalb des Mundes zu craniomandibulären Schmerzen im Kiefergelenk und Kopfbereich führen.
Je mehr Kronen, Brücken und Implantate vorhanden sind, desto mehr Kauflächen müssen mit Einschleifen und Ansetzen optimiert werden.
Aber nicht jeder Zahnarzt mag keramische Kauflächen mit Komposit verbessern.
Die nächsten vier Bilder zeigen Unterkiefer mit zahlreichen künstlichen Kauflächen bei jungen und älteren Patienten. Die Ursachen sind nicht Karies, sondern zahnschädigende Gewohnheiten und zahnärztliche Überbehandlungen.
Das letzte Bild zeigt, dass auch trotz vielen künstlichen Kauflächen die Zähne früh verloren gehen können.

37-jähriger Patient (16.11.2023 / 8596)
Dieser Patient hat seit 7 Jahren Zahnschmerzen. Anfangs sollten einige Porzellankronen und dann Wurzelbehandlungen helfen. Dann hiess es, diese seien giftig. Es folgten Extraktionen, Implantate und Brücken. Doch die Schmerzen sind immer noch da.
Das Problem: der Patient möchte einen zentrischen Gruppenkontakt, spürt aber nur einzelne punktförmige Kontakte. Geplant ist eine Korrektur mit Komposit.

41-jähriger Patient (22.08.2022 / 1871)
Der Patient hat schon immer viele Früchte gegessen. Mit 23 Jahren war der Schmelz bei allen Kauflächen bis ins Dentin abgesäuert, weshalb eine Bisserhöhung mit Komposit gemacht werden musste.
Jetzt, also 20 Jahre später, sind neue Erosionen zu sehen, und zwar genau dort, wo das Komposit bei der Bisserhöhung die Kauflächen nicht abgedeckt hat, nämlich bei 6- und 5- (links im Bild).
Zudem hat der Weisheitzahn -8 wegen Karies ein unrettbar tiefes Loch bekommen (im Bild rechts hinten). Dort hinten hat die Zahnbürste den Zahn wohl kaum gefunden. Der Patient hat sonst noch nie in seinem Leben eine Karies bekommen. Offenbar ist bei vielen Früchten nicht der Zucker das Problem, sondern die Fruchtsäure.

66-jährige Patientin (12.07.2023 / 475)
Die Patientin kaut und knirscht sehr kräftig. Deswegen sind alle Zähne niedriger geworden, werden immer wieder Speiseresten zwischen die Zähne oder gegen das Zahnfleisch gedrückt, bricht immer wieder mal eine Ecke von einer Kompositfüllung ab, entstehen Wangenschmerzen und bekam sie deswegen Wurzelbehandlungen, worauf diese dann zu knirscherbedingten Wurzelfrakturen und dann Extraktionen nötig machten...

70-jährige Patientin (24.08.2023 / 6728)
Weder stören die fehlenden Molaren -67 noch das Amalgam auf 76-. Die Porzellankronen 54- sind stark belastet, weil die Gegenzähne 65+ auch Kronen sind. Sie schmerzen nicht, weil 6+ wurzelbehandelt ist (blauer Pfeil).
In dieser Altersgruppe sind verschiedenartige und lückenhafte Kauflächen häufig und funktionieren meistens schmerzfrei.

90-jährige Patientin (11.08.2023 / 432)
Die Patientin stammt aus gutem Haus und hat früher sehr viele Zahnbehandlungen bekommen. Trotzdem hat sie einen Zahn nach dem anderen verloren. Seit etwa 40 Jahren hat sie oben eine Vollprothese und unten nur noch die Frontzähne 321-123 mit einer Goldkrone auf 3- und einem Druckknopf auf -3. Der dunkle Fleck hinter dem Druckknopf ist ein Amalgam-Tattoo. Dieses ist wahrscheinlich beim Entfernen einer Amalgamfüllung entstanden.
Sie kann seit fünf Jahren nicht mehr abbeissen und kauen, denn die Totalprothese im Oberkiefer kippt beim Abbeissen ab, und die untere Teilprothese schmerzt beim Kauen und kippt beim Draufbeissen weg. Die Patientin ist jedoch mit den schmackhaften weichen Menus und Suppen im Altersheim ganz zufrieden.
Im Senilium nehmen Stress, Kaukraft und der Wunsch nach Schönheit ab. Dann können auch zahnlose Menschen glücklich sein!