Die wurzelbehandelten Zähne enthalten immer Bakterien. Meistens sind sie kein Problem. Aber manchmal sind sie zu viel für die Körperabwehr. Dann entsteht ein Granulom im Alveolarknochen, oder eine Fistel im Zahnfleisch, oder eine Entzündung in der Kieferhöhle (Sinusitis), oder ein unsichtbares Störfeld mit einer Fernwirkung auf ein anderes Organ. Der Zahn kann oder muss dann extrahiert werden und sind somit seine Bakterien kein Problem mehr.
Die einzige Alternative zur Wurzelbehandlung ist die Zahnextraktion. Es entsteht dann eine Zahnlücke. Aber rein vom Essen her gesehen ist diese oft kein Problem. Wer sich doch daran stört, der kann sie mit einer Teilprothese, Klebebrücke, Porzellanbrücke oder einem Zahnimplantat usw. schliessen lassen. Alle diese Dinge können aber auch Probleme verursachen.
Der Erfolg einer Wurzelbehandlung hängt von all diesem ab:
- Sind neue Instrumente und Röntgengeräte da?
- Ist der Behandler sorgfältig genug?
- Kann der Patient den Mund weit genug öffnen?
- Lassen sich die Wurzeln gut putzen und füllen?
- Wird der Zahn dann dunkel und unschön?
- Wird er schwach und bricht schliesslich?
- Sind Zeitaufwand und Preis kein Problem?
und:
- Hat man Glück mit den Wurzelspitzen?

33-jährige Patientin (18.08.1981 / 404)
Bei der Wurzelbehandlung hat eine Nervnadel die Kieferhöhle eröffnet. Auf dem Röntgenbild verdeckt die Kortikalis der Kieferhöhlenwand die Wurzelspitze. Sie befindet sich etwa beim roten Pfeil.
Der Zahnarzt ist auch ein Risikofaktor
Der Zahnarzt war 29 Jahre alt und entsprechend unerfahren. Er hätte die Körpergrösser der Patientin beachten sollen. Sie ist ca. 1.65 m gross. Da geht man von einer Zahnlänge von 17 mm aus und nicht von 23 mm. Aber so etwas steht wohl in keinem Lehrplan.

33-jährige Patientin (22.02.1982 / 404)
Bei der Wurzelfüllung ist etwas Wurzelfüllmaterial (AH26)über die Wurzelspitze hinausgepresst worden. Das AH26 ist weitgehend keimfrei, liegt auf der Schleimhaut, härtet in 24 h aus und ist ein kleiner Fremdkörper in der Kieferhöhle.
Solche kleinen, beweglichen und sterilen Fremdkörper werden von den Cilien der Kieferhöhlenschleimhaut zum Ausgang der Kieferhöhle und von da in die Nasenhöhle geschoben.

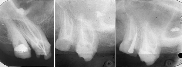
37-jährige Patientin (13.02.1986 / 404)
Das überfüllte AH26 ist ganz verschwunden, und die Patientin hat keine Schmerzen in der Kieferhöhle bekommen.
73-jährige Patientin (18.06.2021 / 404)
35 Jahre nach der Wurzelbehandlung sind starke Kieferhöhlenschmerzen entstanden. Das Röntgenbild vom Zahn 16 sieht gut aus. Um sicher zu sein wird noch ein DVT hergestellt.
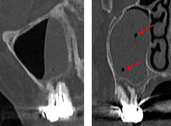
73-jährige Patientin (25.06.2021 / 404)
Das DVT zeigt, dass die Kieferhöhlenschleimhaut über den zwei verdächtigen Molaren stark angeschwollen ist. Zudem befinden sich in der Schwellung genau über den beiden wurzelbehandelten Molaren zwei kleine rundliche Aufhellungen. Das könnten Mikroabszesse sein, die von Bakterien in den Wurzelspitzen verursacht werden.
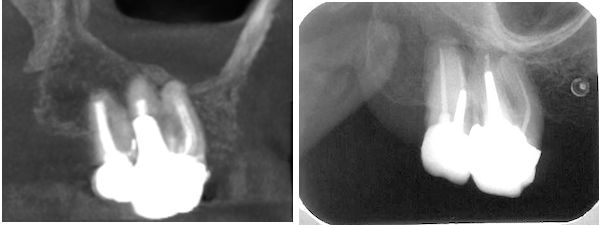
74-jährige Patientin (01.09.2022 / 404)
2022 zeigt ein CT eines Röntgeninstituts eine Perforation des Sinusbodens und eine direkte Verbindung zwischen dem Schleimhautpolster und der mesiobukkalen Wurzel des Zahnes 16. Leider wurde dies im Röntgenbefund nicht erwähnt. Wegen der unverdächtigen Röntgenbildes des Zahnarztes war die Patientin froh, dass der Zahn unverdächtig schien und sie ihn nicht extrahieren musste.

30-06-2025:
Der Röntgenbefund beschreibt ein grössenprogredientes Schleimhautpolster im dorsalen Recessus sowie eine zunehmende Sklerosierung der hinteren Kieferhöhlenwand.
09.07.2025:
Aber erst die zwei kleinen Mikroabszesse in der Schleimhaut (rote Pfeile) konnten
die Patientin motivieren, den 16 zu extrahieren.
Nach der Extraktion wurde der 16 zur Reinigung eine Stunde lang in NaOCl (1%) gelegt. Da erschienen bei der palatinalen und bukkomesialen Wurzelspitze zwei offene Wurzelkanäle! Diese haben wahrscheinlich schon seit Jahren eine ganz kleine Menge Bakterien beherbergt.
77-jährige Patientin (30.06.2025 / 404)
14 Tage nach der Extraktion war das Schleimhautpolster nur noch halb so gross:
09.07.2025 23.07.2025

▶ Der Wurzelkanal der bukkodistalen Wurzel (bd) ist biologisch perfekt verschlossen.
▶ Die Wurzelkanal der bukkomesialen Wurzel (bm) ist etwa 0.2 mm weit offen und wäre ohne die
Wurzelbehandlung noch kleiner geworden.
▶ Die palatinale Wurzel (pal) wurde instrumentell erweitert (kreisrunde Form) und dann mit
AH26 gefüllt. Das AH26 ist dann aber verschwunden. Es hat eine dunkle Verfärbung hinterlassen
und einen Platz für Bakterien freigegeben, welche die Sinusschleimhaut entzünden konnten.
Keine Wurzelfüllung kann den Apex so perfekt verschliessen wie der Nerv selber bei dieser bukkodistalen Wurzel (bd). Mit den Jahren werden Tausende von Bakterien im Blut an den apikalen Leerräumen der wurzelbehandelten Zähne (bm und pal) vorbeigeschwemmt.