Manchmal entstehen Karies, Zahnfleischschwund oder ein anderes Problem, obwohl
man die Zähne ganz normal putzt und auch nicht besonders viel Süsses isst.
Hier werden solche Fälle dargestellt.
Versuchen Sie, diese Rätsel zu erklären! Das fällt ihnen womöglich ziemlich leicht.
Aber typisch für die Medizin: ein streng wissenschaftlicher Beweis ist ziemlich schwierig.

34-jähriger Patient (18.12.2023 / 2753)
Der Weisheitszahn hat ein besonderes Wurzelwachstum wegen dem canalis mandibularis (rot). Er scheint die Wurzeln zu verbiegen und die Wurzelspitzen zu verdicken.

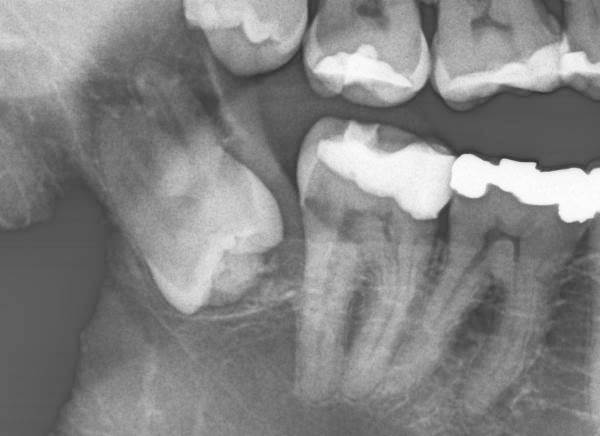
67-jährige Patientin (20.02.2024 / 7245)
Offensichtlich hat dieser Weisheitszahn die vorderen Zähne rechts unten während 36 Jahren nicht nach vorne gestossen. Um dies zu verhüten werden viele Weisheitszähne nach einer Zahnstellungskorrektur extrahiert. Doch hier ist vielmehr ein Knochendeckel über dem Weisheitszahn gewachsen.

63-jähriger Patient (30.01.2024 / 551)
Auch dieser Weisheitszahn liegt wie der obere nach 37 Jahren etwas tiefer im Knochen. Die vorderen Zähne sind etwas elongiert und abradiert.
Offenbar elongieren (und abradieren) die Seitenzähne im Laufe von 30 Jahren etwa 2 mm. Entsprechend höher wird ihre Alveole - und wächst auch neuer Knochen über dem retinierten Weisheitszahn.

23-jährige Patientin (22.06.2014 / 3912)
Dieser Weisheitszahn gehört einer jungen Schweizerin. Er hat einen zusätzlichen Höcker auf der Aussenseite gegen hinten.
Hintergrund: siehe Carabelli-Höcker. Der Zahn hat keine Symptome und sieht auf dem Röntgenbild ganz normal aus.
Anamnese: Seit einer Woche schmerzt das Zahnfleisch beim rechten Weisheitszahn, aber nur beim Kauen, auch wenn der Patient links kaut.
Das Besondere: Der Weisheitszahn hat einen kleinen, spitzigen Carabelli-Höcker auf der Wangenseite gegen vorne.
Therapie: Die Zähne und der Mund sind besonders gross, und auch die Schleimhaut auf der Innenseite der Wangen ist voluminös. Man kann sich vorstellen, dass es sich beim Kauen etwas faltet und der Carabelli-Höcker gegen die Wange sticht. Deshalb habe ich ihn mit einem Polierdiamanten flach abgetragen.
15-jähriger Patient (20.01.2016 / 4868)
Dieser Weisheitszahn gehört einem jungen Mann aus Süditalien. Er ist erst 15 Jahre und 5 Monate alt und hat bereits drei durchgebrochene Weisheitszähne - und hat sie ohne Schmerzen bekommen!
Hintergrund: Die normale Durchbruchszeit von Weisheitszähnen lag um 1970 im Kanton Zürich zwischen 18 und 22 Jahren. Offenbar kann das Wachstum auch viel rascher sein. Möglicherweise bekamen unsere Vorfahren in der Eiszeit ihre Weisheitszähne auch so früh und problemlos.
21-jährige Patientin (18.02.2020 / 4602)
Hintergrund:
Krumme Wurzeln sind gefürchtet. Wenn eine abbricht, ist es schwer, sie zu finden.
Rechter oberer Weisheitszahn: Wie ein Wunder ist keine Wurzel abgebrochen. Die grauen Ringe an den Wurzelspitzen kommen von der Antibiotika-Behandlung im Spital vor 6 Jahren.
20-jährige Patientin (08.04.2019 / 4602)
28-jährige Patientin (20.11.2018 / 7053)
Dies ist ein seltenes Exemplar eines Weisheitszahnes mit vier Wurzeln.76-jährige Patientin (21.11.2018 / 407)
Normaler Weisheitszahn

28-jähriger Patient (28.02.2019 / 2935)
Röntgenbild: links oben ist der Mini-Weisheitszahn (Zahn Nr. 18). Rechts unten hat ein Zahn (Zahn Nr. 46) eine kleine Karies im Zahnzwischenraum.
links unten: Der Mini-Weisheitszahn hat zwei Mini-Höckerchen.
rechts: Verglichen zum Nachbarzahn (Zahn Nr. 17) wirkt der Mini-Weisheitszahn wie ein Zwerg. Er bleibt so klein, weil die Zahnkronen schon lange vor dem Durchbruch fertig gebildet sind.
Auch der andere Weisheitszahn (Zahn Nr. 28) ist ein Zwerg

24-jähriger Patient (30.08.2018 / 3486)
Dieser Patient hat insgesamt 6 Zwergzähne, nämlich
8+7 und 75-57.

24-jähriger Patient (20.11.2023 / 4935)
Beide oberen Weisheitszähne haben eine komische Form.
Einer hat in kurzer Zeit wie von selber eine tiefe Karies bis zum Nerv bekommen.
Alle anderen Zähne haben noch nie Karies bekommen.

24-jährige Patientin (26.02.2024 / 5337)
Dieser Mini-Weisheitszahn ist ein Zufallsbefund. Er ist symptomlos.

47-jährige Patientin (02.12.2025 / 8911)
Anamnese: Die Patientin spürt nicht vom gedrehten Weisheitszahn 8+. Nur wenn sie ihn mit der Fingerspitze sucht, spüre sie einen kleinen Schmerz. Möglicherweise ist das keine Entzündung, sondern der Druck der Fingerspitze, der den Nerv gegen die Wurzelspitze presst.

Anamnese: Dieses Bild gehört einer Homepage-Besucherin. Sie schickte es mir, weil ihr Zahnarzt ein 3D-Röntgen und eine Operation empfahl. Davor hatte sie aber Angst. Der Zahn schmerzt nicht. Allerdings entsteht im Zahnfleisch über dem Zahn immer wieder ein kleines Loch, das jeweils rasch wieder zuwächst.
Hintergrund: Tatsächlich können Weisheitszähne so stark schmerzen, dass der Mund nicht mehr aufgeht. Dann kann nur noch der Spital helfen (Narkose). Hier hat es aber erst wenig Bakterien.
Eine minimalinvasive Alternative: Ich schlug vor, den Weisheitszahn mit einer kleinen Feder aufrecht zu drehen. Sobald er aus dem Zahnfleisch herausschaut, lässt er sich ganz einfach mit der Zange und ohne Operation entfernen. Die Drehung tut nicht weh, dauert aber etwa ein Jahr. Zwischendurch muss man die Feder wieder anpassen.
Behandlung: Die Patientin entschied sich schliesslich zur Operation, welche rasch und gut verlaufen sei.

35-jährige Patientin (10.08.2017 / 7321)
links: Das Röntgenbild zeigt einen grossen Mandibularkanal (=N. alv.). Der Weisheitszahn hat eine lange Wurzel, die den Mandibularkanal überlappt. Eine zweite Wurzel ist ganz kurz und endet knapp über dem Mandibularkanal
rechts: Nach der Extraktion erwies sich, dass die lange Wurzel auf der Wangenseite des Mandibularkanals lag. Gleich daneben befand sich anstelle der zweiten Wurzel bloss eine hohle Delle ohne Eingang zu einem Wurzelkanal.

25-jähriger Patient (29.06.2016 / 5272)
Anamnese: Der Patient wollte zur Sicherheit diesen Weisheitszahn ziehen lassen. Sein Vater sei einst wegen eines Weisheitszahns einen Monat lang im Spital gelegen.
Behandlung: Eine kleine Inszision genügt, um die Krone zu teilen. Die abgetrennten Höcker lassen sich gut entfernen. Dann wird mit dem Winterhebel der verbleibende Teil gelockert und herausluxiert. Dabei verrät ein heller Knack, dass eine Wurzelspitze abgebrochen ist. Sie kommt jedoch mit dem Zahn heraus und ist mit dem Desmodont immer noch mit ihm verbunden. Das ist totales Glück.

43-jähriger Patient (03.05.2019 / 2803)
Hintergrund: Die meisten Extraktionen sind einfach und innert 30 Minuten bequem gemacht. In seltenen Fällen ist eine Wurzel jedoch ziemlich fest mit dem Knochen verwachsen. Wenn es dazu noch ein Weisheitszahn ist, entstehen schwierige Situationen wie in diesem Fall hier.
links oben: Röntgenbild des Weisheitszahnes mit einer sichtbaren grossen Karies.
rechts oben: Der Weisheitszahn sitzt tief im Zahnfleisch drin. Er schaut nur teilweise aus dem Zahnfleisch heraus - und konnte deshalb nie gut geputzt werden.
links unten: Röntgenbild des halb ausgebohrten Weisheitszahnes. Auch dieser Wurzelrest liess sich kein bisschen bewegen und musste weiter weggebohrt werden.
rechts unten: Das sind die Stückchen, die jeweils abgebrochen sind, wenn ich den Zahn vom Knochen wegdrücken wollte.
Das unterste Stück beim Pfeil ist die hintere Wurzel. Der Rest der vorderen Wurzel konnte ich nicht lockern und liess ich schliesslich fest angewachsen im Knochen zurück.

26-jähriger Patient (16.09.2019 / 3549)
Hintergrund: Ein fauler Zahn ist weich und bricht beim Extrahieren gerne ab. Er ist dann oft schwieriger zu entfernen als ein gesunder Zahn. Mit der richtigen Zange kann es aber trotzdem schnell gehen.
1) Versuch mit geradem Hebel: Der Zahn brach sofort ein, und die braune, gummiweiche Karies kam zum Vorschein.
2) Versuch mit breiter Zange: Sie konnte die hinteren, noch festen Höcker nicht greifen.
3) Versuch mit schlanker Zange: Sie sollte nur die hinteren Höcker greifen, was auch nicht ging.
4,5) Versuch mit Kuhhornzange: Die spitz zulaufende Zange schliesslich konnte den Zahn tief unter dem Zahnfleisch zwischen den Wurzeln greifen... und er löste sich sofort :)

31-jähriger Patient (04.12.2021 / 76)
Anamnese: Der Patient hat seit einigen Tagen langsam zunehmende und manchmal klopfende Schmerzen beim oberen Weisheitszahn. Der untere Weisheitszahn fehlt schon lange, weshalb der obere etwas elongieren konnte. Die Schwellung am Gaumen ist ohne Eiter.
Behandlung: Spritze, dann Extraktion in fünf Minuten, dann mit dem Finger das Blut eine Minute lang stoppen, dann spülen lassen und schauen, ob es nicht mehr blutet, dann die Wunde mit Solcoseryl abdecken, damit der Speichel das noch frische Blut nicht aus der Wunde herauswaschen kann.
Besonderheit: Weil der Patient ein Nichtraucher ist, darf man mit einer komplikationslosen Heilung rechnen, welche keine Nachkontrolle erfordert.

24-jähriger Patient (01.12.2021 / 3989)
Anamnese: Der Patient hat keine Zahnschmerzen und wollte den Weisheitszahn entfernen, weil er keinen Gegenzahn hat und bei gewissen Bewegungen etwas stört.
Behandlung: Ein elongierter Weisheitszahn ist besonders einfach zu extrahieren.
Besonderheit: Die elongierten Weisheitszähne können langfristig ein (kleiner) Störfaktor werden, wenn sie so weit hinten sind, dass sie mit den Höckerspitzen ins Zahnfleisch stechen (siehe die folgenden zwei Bilder).

Der elonierte 8+ bei weit offenem Mund.
Der 8+ beisst bei geschlossenem Mund auf die Gingiva hinter dem unteren hintersten Molaren 7-.
49-jährige Patientin (28.03.2022 / 6317)
Anamnese: Die Patientin spürt mit dem Zahnstocher plötzlich eine komische Stelle, die ganz leicht schmerzt. Sie möchte den Zahn entfernen lassen.
Behandlung: Wie immer bei elongierten oberen Weisheitszähnen: nach der Anästhesie dauert die Extraktion kaum eine Minute.
Besonderheit: Die komische Stelle, die der Zahnstocher gefunden hat, ist eine grosse Karies ziemlich unter dem Zahnfleisch und eher auf der Gaumenseite.

23-jährige Patientin (03.02.2015 / 4875)
Anamnese: Die Patientin ging wegen Halsschmerzen zur Ärztin. Diese vermutete Eiter unter dem Zahnfleisch und schickte die Patientin zum Zahnarzt.
Behandlung: Auf dem Bild sah die Patientin sofort den Zusammenhang mit dem spitzigen Zahnhöcker. Und dann fiel ihr auf, dass der Schmerz zunahm, wenn sie stark zusammenbiss. Die Frage, was sie jetzt machen würde, antwortete sie ohne zu Zögern, dass sie den Höcker abrunden wurde. Gesagt, getan. Und schon war der Schmerz weg. Eine solche Druckstelle heilt in wenigen Tagen.
Prognose: Ohne Behandlung würde dieses Loch wahrscheinlich sehr lange unverändert bleiben

25-jähriger Patient (10.04.2013 / 4491)
Anamnese: Dieser Patient hatte Zahnschmerzen beim Gähnen, weil sich dabei der obere Weisheitszahn in die Schleimhaut des Unterkiefers bohrte.
Behandlung: Der obere Weisheitszahn wurde sofort gezogen, und die Schmerzen beim Gähnen waren sofort weg.

19-jährige Patientin (12.11.2018 / 4602)
Anamnese: Die Patientin hatte als 15-Jährige eine Darmentzündung und bekam Antibiotica im Spital. Es ist bekannt, dass Antibiotica wie Tetracyclin wachsende Zähne grau verfärben.
links: Röntgenbild kurz nach dem Spitalaufenthalt. Die Wachstumszentren (Zahnfollikel) haben das Antibioticum aufgenommen.
rechts: Extrahierter Weisheitszahn: alle Wurzelspitzen sind grau verfärbt.
N.B.: Bestimmt haben auch die anderen drei Weisheitszähne solche Grauverfärbungen. Und der Knochen?

57-jährige Patientin (13.12.2018 / 2770)
Hintergrund: Die Wange erschwert das Putzen bei den Weisheitszähnen. Einige bekommen dann ein Loch, mehr unter als über dem Zahnfleisch. Ist das wegen Zucker?
links: Die Wange hat die Form des Weisheitszahnes angenommen.
Mitte: oben die Karies (ganz unten am Zahnfleisch!), unten die Kavität.
rechts: Die extra schlanke Füllung soll das Zahneputzen erleichtern.

82-jähriger Patient (07.04.2016 / 347)
Anamnese: Dieser Patient hat vergessen, dass er noch Weisheitszähne hat. Er ist mit 86 Jahren gestorben, ohne dass die Weisheitszähne je gestört haben.
links: 8+
Mitte: 8-
rechts: -8

Anamnese: Dieser Patient hatte noch nie Probleme mit den Weisheitszähnen.

Anamnese: Diese Patientin ist stolz auf ihren Weisheitszahn, den sie immer gut putzt.

Anamnese: Auch diese Patientin hat ihre Weisheitszähne immer noch - und keinerlei Beschwerden.

Anamnese: Ein jüngerer Patient mit zwei retinierten, symptomlosen Weisheitszähnen.

Anamnese: Keine Beschwerden, obere Weisheitszähne normal.

Schleimhautkaputze: Bei schief stehenden Weisheitszähnen kann eine gespaltene Schleimhautkaputze entstehen. Auch diese entzündet sich hie und da etwas (wie viele Schleimhautkaputzen auch) oder bleibt (immerhin viele Jahre lang wie in diesem Fall) symptomlos.

67-jähriger Patient (28.05.2015 / 863)
Anamnese: Der Patient hat zwei untere retinierte Weisheitszähne. Sie haben noch nie irgendwelche Symptome gemacht. Ich wollte das Röntgenbild aus Neugier machen, was mir der Patient heute erlaubt hat. Die Foto zeigt die Gingiva über dem versteckten Weisheitszahn. Sie ist völlig normal.
Hintergrund: In der Schweiz sind retinierte Weisheitszähne bei älteren Patienten eine Seltenheit. Meistens werden sie schon bei den Jugendlichen herausoperiert. Vielleicht ist die Gefahr einer Komplikation bei der Weisheitszahn-Entfernung etwa gleich gross wie die Gefahr, dass etwas Ernsthaftes passiert, wenn man den Zahn belässt.

Vor einer Extraktion müsste man ein grosses Röntgenbild machen (OPT), auf dem die Weisheitszähne mit Wurzeln und Unterkiefernerv
abgebildet sind. Möglicherweise wäre dann noch eine 3D-Aufnahme nötig (DVT). Diese liesse man am besten in einer kieferchirurgischen Praxis herstellen.
Die horizontale Stellung der unteren Weisheitszähne an und für sich hat keinen Krankheitswert, solange das Zahnfleisch gesund ist und keine Schwellung, kein Schmerz und keine Entzündung auftritt. Die Extraktion wäre nicht einfach, sondern würde eine tiefe Aufklappung der Zahnfleisches erfordern.
22-jähriger Patient (03.11.2022 / 6492)
Anamnese: Der Patient hat keinerlei Beschwerden. Er möchte aber wissen, ob seine beiden unteren Weisheitszähne die Zähne im Unterkiefer verschieben werden.
Hintergrund: Kieferorthopäden möchten die Weisheitszähne entfernen, weil sie die Zähne zusammenschieben könnten, vor allem die unteren Frontzähne.
Tertiärer Engstand: Das ist ein Engstand der unteren Frontzähne, der erst im Erwachsenenalter entsteht, auch wenn die Weisheitszähne fehlen. Schuld ist nicht nur die Tendenz der hinteren Zähne, nach vorne zu kippen, sondern vielleicht auch die Unterlippe, wenn sie immer wieder die Frontzähne gegen hinten drückt. Auch die Zungenspitze kann sich über die unteren Frontzähne legen und dann zusammen mit der Unterlippe die Zähne nach hinten drücken. Wenn die unteren Frontzähne nach hinten kippen, dann kann die Oberlippe auch die oberen Frontzähne nach hinten drücken. Dieser Engstand ist aber normalerweise kein Problem (siehe hier).

47-jähriger Patient (08.06.2023 / 5689)
Anamnese: Der Patient hat keinerlei Beschwerden und bemerkt nichts von der Veränderung.
Hintergrund: Vielleicht ist das Zahnfleisch unter der Krone angeschwollen und hat den Weisheitszahn in die Höhe gedrückt. Aber weshalb hat diese chronische Zahnfleischentzündung nicht auch zu einer Parodontaltasche mit Knochenschwund geführt?

Diesen einmalig geformten Weisheitszahn
hat Herr Kollege
med. dent. Chris Traianou
Im Molli Park, 4800 Zofingen
Email: praxis@traianou.ch
Aufnahmedatum: 21.03.2023
Vergleiche auch mit Zwillingszähne
Diese wundersamen Doppelanlagen, Zwillingszähne, Zapfenzähne usw. werden schon lange statistisch gezählt: in welcher Weltgegend sind sie selten? Und wo häufiger? So hat man gefunden, dass der Mesiodens in Europa bei 0.2%, in China bei 2.2% und in Myanmar sogar bei 5% der Patienten anzutreffen sei. Wegen dieser Neugier habe ich bei meinen "Funden" auch ein paar Anmerkungen zur Herkunft der Patienten gemacht − allerdings ohne irgendeinen Trend feststellen zu können. Ist der Unterschied zwischen 0.2% und 2% vielleicht ein Stichproben-Zufall? Und ist er in einem etwas grösseren Zusammenhang überhaupt relevant?

7-jährige Patientin (15.12.2023 / 7257)
Die Wurzeln der Milchzähne werden von den bleibenden Zähnen resorbiert, bis sie ganz verschwunden sind und der Milchzahn ausfällt. Diese Resorption ist schmerzfrei und verläuft völlig automatisch. Zuletzt fällt der Milchzahn aus - ohne ein Tropfen Blut - und dann bricht der bleibende Zahn durch.
Das Mädchen drückt mit dem Finger den lockeren Zahn schief nach vorne und behauptet dabei, dass das nicht weh tut.
Geheimnisse des Zahnwechsels: Was steuert die Odontoklasten, damit sie zur richtigen Zeit erscheinen und die richtige Wurzel resorbieren? Und woher kommen sie? Und wie und weshalb verschwinden sie nach vollbrachter Arbeit?

14-jähriger Patient (20.02.2020 / 5883)
Dieser Junge ist ein "Spätzahner". Die beiden oberen Siebner kommen normalerweise schon mit 12 Jahren, und er ist jetzt 14. Die Durchbruchszeit dauert normalerweise nur einige Wochen, und meistens sind die Zähne "einfach plötzlich" da. In diesem Fall dauert auch der Zahndurchbruch länger, und deshalb konnte ich ihn so schön beobachten.
Die durchbrechenden Zähne drücken beständig mit einer ganz leichten Kraft gegen die Zahnfleischbrücken, die immer noch gut erhalten sind und quer über die Zähne verlaufen. Mit der Zeit werden sie sich schmerzlos auflösen.
Geheimnisse des Wachstums: Weshalb sind diese Siebner so spät und so langsam? Wie kann es sein, dass sich das Zahnfleisch auflöst ohne Schwellung, Schmerzen und Entzündung?

6-jähriger Patient (03.05.1995 / 2569)
Dieser Mesiodens hat das Kind schon lange gestört. Er konnte mit einer einfachen Spritze gut entfernt werden. Der Knabe hat eine spanische Herkunft.

8-jährige Patientin (13.09.2017 / 7071)
Der Zapfenzahn kommt bei 1-2% der Menschen vor. Meistens ist es ein seitlicher Schneidezahn, der nur halb so breit ist wie sonst. Man kann ihn mit Komposit verbreitern, sodass man ihm nichts mehr ansieht.
Dieser Zahn hat einen ostschweizerischen genetischen Hintergrund

45-jährige Patientin (20.01.2022 / 7610)
Zahnformel: 3221+123 (statt 321+123).
38-jährige Patientin (01.06.2015 / 6742)
Diese Brasilianerin hat die gleiche Zahnformel wie Hund, Katze, Pferd, Hase usw., nämlich 3221+1223 statt 321+123.

30-jähriger Patient (01.02.2024 / 3486)
Der untere Fünfer fehlt bei etwa 3% der Patienten (Polder, Bart J., et al. "A meta-analysis of the prevalence of dental agenesis of permanent teeth." Community dentistry and oral epidemiology 32.3 (2004): 217-226.).
(Meade MJ, Dreyer CW. Tooth agenesis: An overview of diagnosis, aetiology and management (2023))
Bei diesem Patienten sind wegen einer Wachstumsstörung auch beide unteren Fünfer klein geblieben.

10-jähriger Patient (27.09.2017 / 6432)
Dieser dunkelhäutige Knabe hat einen zusätzlichen unteren Frontzahn. 21-122 ist eine seltene Abweichung von der gewöhnlichen Zahnformel 21-12.

59-jährige Patientin (16.04.2024 / 8651)
Auch diese Dame hat einen Zwillingszahn, aber bei 2-.

Der Neuner liegt hinter dem Weisheitszahn.
35-jähriger Patient (03.05.1988 / 810)
Der Patient, ein "urchiger Urschweizer", musste zum Notfall-Arzt wegen Schluckweh links. Er bekam
Antibiotika, welche gut ansprachen. Nach einer Weile erschienen die Schmerzen wieder, aber noch stärker.
Dann ging er zum Zahnarzt, welcher oben links eine Rötung fand und merkte, dass das Zahnfleisch dort
auf Druck noch mehr schmerzte. Das Röngtenbild zeigte dann die grosse Überraschung: ein Neuner.
Nach der Extraktion sind die Schmerzen sofort verschwunden.

Diese Neuner liegen vor den Weisheitszähnen!
30-jähriger Patient (23.06.2010 / 2240)
Nicht jeder Zahnarzt hat das Glück, bei einem Patienten gleich zwei Neuner zu sehen. Können Sie die Neuner auf den Röntgenbildern erkennen? Der genetische Hintergrund liegt ganz einfach im Zürcher Oberland.

29-jähriger Patient (21.03.2018 / 193)
2015: ein Neuner rechts oben erscheint ganz klein neben dem Weisheitszahn.
2018: der Neuner ist grösser geworden und sticht in die Wange.
Therapie: Abschleifen des spitzigen Höckers. Das tut nicht weh, geht nur eine Minute lang und hilft sofort. Nun darf der Neuner wahrscheinlich noch viele Jahre im Mund bleiben.
Der Patient hat mir erzählt, dass ein früherer Vorfahre mütterlicherseits eventuell jüdischer Abstammung gewesen sei. Und mir scheint nun, dass die Genetik der Zahnvarianten global ziemlich gleichmässig verteilt ist.

60-jähriger Patient (09.07.2025 / 7866)
Auf diesem Bitewing vom 9.7.2025 wurde erstmals ein Neuner sichtbar. Bei allen früheren Bitewing-Aufnahmen wurden die Zähne nicht bis ganz hinten abgebildet, so dass der Neuner nie zu sehen war. Er befindet sich unter dem Zahnfleisch und ist im Mund nicht sichtbar.
Und das Einzelbild zeigt, dass der Neuner eigentlich völlig gesund ist.
Vielleicht wird man einen solchen Reservezahn einst als einen Lückenfüller benutzen
könen?
Zusätzlicher Höcker = zusätzlicher Nerv und zusätzliche Wurzel
Wenn man bedenkt, dass die Zahnformen
weitgehend genetisch vorbestimmt sind, so ist ein solcher Zahn besonders interessant.
Offenbar genügt eine kleine genetische Abweichung vom Normalen (der Zahn ist ja sonst perfekt in Ordnung),
dass ein zusätzlicher Höcker samt Nerv und evt. Wurzel wächst.
Es scheint ein Kontroll-Gen zu existieren, welches auf der
Gaumen- und Wangenseite der Zähne zusätzliche Höcker wachsen lassen kann.
Hier werden solche Höcker auch bei anderen Zähnen als nur bei den oberen Sechsern gezeigt.

8-jährige Patientin (07.02.2024 / 7910)
Ein ganz seltenes Phänomen ist der Carabelli-Höcker bei einem Milchzahn. Dieser befindet sich sogar noch auf der Wangenseite des Zahnes!

15-jährige Patientin (12.06.2019 / 5415)
Die Patientin reibt auf beiden Seiten an den Carabelli-Höckern der oberen beiden Sechser die Zunge wund. Sie könnte sich entzünden. Zum Glück kann man solche störenden Zahnhöcker ganz einfach mit einem Polierdiamanten abrunden.

16-jährige Patientin (17.06.2019 / 5416)
Die Schwester der obigen Patientin hat ebenfalls zwei Carabelli-Höcker bei den beiden oberen Sechsern.
links: Zwischen den Höckern ist schon vor fünf Jahren Karies entstanden. Damals war aber eine Behandlung wegen ihrer Angst unmöglich.
Mitte: Die Karies hat schon den ganzen Zahn erfasst. Der Nerv ist noch intakt. Der Carabelli-Höcker ist weggeschliffen.
rechts: Die fertige Kompositfüllung

63-jähriger Patient (28.08.2013 / 3457)
Dieser obere Siebner hat einen enorm grossen zusätzlichen Höcker auf der Wangenseite. Es ist ein übergrosser "Carabelli-Höcker". Der Zahn ist gesund und macht keine Probleme.

57-jährige Patientin (24.06.2016 / 4507)
Zahn -7 mit einem Carabelli-Höcker auf der Wangenseite
Bei unteren Zähnen sind solche Höcker höchst selten.

57-jähriger Patient (23.05.2022 / 7319)
Zahn 8- mit einem Carabelli-Höcker auf der Zungenseite (mesiolingual).
Ganz links im Bild ist die Wurzel des Carabelli-Höckers sichtbar. Ungewiss ist, ob sie im Laufe der Zeit bis zur halben Länge resorbiert wurde oder schon immer so klein war.

12-jähriger Patient (21.07.2020 / 7630)
Beide oberen Eckzähne haben je einen grossen Carabelli-Höcker auf der Gaumenseite. Einer ist fast doppelt so gross wie der andere.
Die Höcker stören den Knaben kein bisschen.
Auf dem Bild sieht man auch, dass alle Höckerspitzen leicht beschädigt sind. Der Junge habe früher viele Softdrinks bekommen. Wahrscheinlich entwickeln sich die kleinen Schäden langsam weiter zu tieferen Erosionen, die man füllen muss.
Hier befinden sich zwei Eckzähne nebeneinander. Beide sind fest.
12-jähriger Patient (09.11.2011 / 4619)
Hintergrund: Die Zähne bewegen sich mehr als man denkt. Beim normalen Zahndurchbruch bewegen sie sich am schnellsten. Hier ist ein unterer Eckzahn um eine ganze Zahnbreite nach hinten verschoben worden.
09.11.2011 (10-jährig)
Es hat viel zu wenig Platz für den Eckzahn.
06.01.2016 (14-jährig)
Er hat doch Platz - ohne Behandlung.
10-jähriger Patient (09.11.2011 / 4584)
Die Unregelmässigkeiten der Zahnstellung stören weder den Knaben noch seine Mutter.

10-jährige Patientin (29.11.2011 / 5861)
Hintergrund: Stark kariöse und wurzelbehandelte Milchzähne werden nicht so gut abgebaut wie gesunde. Häufig bleiben die Wurzeln lang und werden schräg und dünn und bleiben wie spitzige Stacheln tief im Zahnfleisch drin.
40-jährige Patientin (01.06.2013 / 755)
Hintergrund: Wohl fast jeder Zahnarzt meint, ein solcher Zahn gehöre dringend extrahiert. Um 1985 hätte man dann bis ins Erwachsenenalter eine Maryland-Brücke als Langzeitprovisorium und dann als "definitive" Lösung eine VMK-Brücke mit Abschleifen der Nachbarzähne geplant. Seit etwa 2010 würden viele Kollegen nach der Extraktion ein Implantat planen.
Der Fall zeigt zwei Dinge, nämlich dass man:

49-jährige Patientin (14.03.2013 / 5498)
Dieser Siebner hat eine tiefe Furche im palatinalen Höcker. Ist die palatinale Wurzel zweigeteilt? Die Patientin stammt aus dem Irak und ist erst kürzlich in die Schweiz gekommen.
Hintergrund: Die äussere Form ist ein Resultat der inneren Struktur. Bei einer Wurzelbehandlung ist es oft nötig, dass man bei der Suche der Wurzelkanäle auch die äussere Form des Zahnes in Betracht zieht.
Zwei Jahre später:
Nach nur zwei Jahren Aufenthalt in der Schweiz ist der Zahn kariös zerfallen. Die Wurzelkanäle liegen
untypisch entsprechend der äusseren Form: 2 palatinale und 1 bukkaler Kanal.
(Normal ist umgekehrt: 1 palatinaler und 2 bukkale).
33-jährige Patientin (15.03.2006 / 2791)
Hintergrund: Zahnmissbildungen sind relativ selten. Dabei handelt es sich häufig um mehr oder weniger ausgeprägte Verschmelzungen zweier Zähne, auch Zwillingszähne genannt. Am häufigsten findet man sie im Milchgebiss bei den unteren Frontzähnen. Der Patient spürt übrigens nichts Besonderes bei diesem Zahn.
Stammzelle
2-Zell-Stadium
4-Zell-Stadium
8-Zell-Stadium
16-Zell-Stadium
Zahnglocke
|
Normaler Zahn![]() |
Doppelanlage![]() |
Verwachsung ![]() |
|---|

Gleich zwei Zwillingszähne nebeneinander! Zwei sind verwachsen, und zwei stehen auseinander.
(Quelle: drhirt.ch)

5-jähriger Patient (04.12.2018 / 7384)

8-jähriger Patient (02.12.2003 / 4110)
Hintergrund: Etwa jedes 1000. Kind hat einen Zwillings-Milchzahn. Meistens sind es untere Frontzähne. Der Zwillingszahn fühlt sich ganz normal an. Er hat jedoch oft einen tiefen senkrechten Spalt im Schmelz, in dem sich gerne Karies bildet. Der nachfolgende bleibende Zahn ist praktisch immer normal ausgebildet.
1 Ansicht von vorne
2 Ansicht von hinten
3 Ansicht auf die Schneidekanten
4 Ansicht auf die resorbierten Wurzeln

6-jähriger Patient (08.12.2010 / 5322)
Hintergrund: Etwa jedes 1000. Kind hat einen Zwillings-Milchzahn. Meistens sind es untere Frontzähne. Der Zwillingszahn fühlt sich ganz normal an. Er hat jedoch oft einen tiefen senkrechten Spalt im Schmelz, in dem sich gerne Karies bildet. Der nachfolgende bleibende Zahn ist praktisch immer normal ausgebildet.
Der Zwillingszahn wurde am 3.5.2011 extrahiert.
von links nach rechts: 82 81 [71 72]

7-jährige Patientin (25.01.2012 / 5555)
Besonderheit:
Das Mädchen bekam ein Jahr später untere Frontzähne mit
Schmelzbildungsfehlern

54-jährige Patientin (28.09.2017 / 4487)
Der Zwillingszahn 14 fühlt sich subjektiv völlig normal an.
links: von aussen gesehen
rechts: von unten gesehen
links: Röntgenbild
rechts: vom Gaumen her gesehen

29-jähriger Patient (23.09.2024 / 6991)
Besonderheit:
Die oberen Vierer haben als einzige Prämolaren zwei Wurzelkanäle. Diese stammen von zwei Zahnkeimen.
Meistens verschmelzen sie zu einer einheitlich geformten Krone mit zwei Höckern (einem kleineren
und einem grösseren).
In diesem Fall sind die beiden Keime nur spärlich verschmolzen, und in der Krone ist eine lange Furche geblieben. Sie sieht ziemlich tief aus und ist anfällig für Karies.

15-jähriger Patient (31.01.2018 / 4982)
Hintergrund: Der Zahn 7+ bricht normalerweise mit 12 Jahren durch. Bei diesem Jungen blieb er unter dem Zahnfleisch. Vor zwei Tagen begann eine Schwellung mit stärkeren Schmerzen. Da hilft ein Röntgenbild weiter.
links: Röntgenbild mit dem verlagerten Siebner und mit einem schwach sichtbaren Schatten ganz links. Eine Täuschung? Ein Entwicklungsfehler?
rechts: Bei der Inzision kam viel Eiter aus der Wunde. Ein Stück Zahnfleisch wurde entfernt, und dann kam am Hinterrand der Wunde etwas Hartes zum Vorschein. Es konnte mit wenig Kraft mobilisiert werden und mit einer Zange gut herausgedreht werden.
links: Tief in der Wunde kam der gesunde, weisse Siebner zum Vorschein.
rechts: Das komplexe Odontom, bestehend aus Schmelz mit einigen Schmelzperlen, Dentin, verkümmerten winzigen Wurzeln, Pulpa, Desmodont, Zahnstein und Verfärbungen, oder einfacher in diesem Fall: ein missbildeter Weisheitszahn. Die Weichteile, die am Zahn hafteten, wurden weggekratzt und mit 15 min. NaOCl aufgelöst.

15-jähriger Patient (12.02.2018)
Hintergrund: Ein Elternteil dieses Patienten habe mehrere überzählige Zähne gehabt, die in der Jugend entfert worden seien.
Anstelle der oberen beiden Weisheitszähne sind zahnähliche Odontome entstanden, welche den beiden gesunden Siebnern den Weg versperren. Normalerweise hätten die beiden Siebner bereits vor 3 Jahren durchbrechen sollen. Die Odontome sollten entfernt werden.
Die unteren Weisheitszähne sind normal.

55-jährige Patientin (25.02.2019 / 7541)
Anamnese: In der Jugend ist der Zahn 22 nicht aufgefallen. Langsam ist er aber kürzer als die anderen geworden. Und heute, 40 Jahre später, ist er 5 Millimeter zu kurz. Ein kieferorthopädischer Versuch, den Zahn mit einem Aligner zu verschieben, ist nicht gelungen.
Erklärung: Am Apex hat sich ein gutartiges Zementom entwickelt. Auf dem Röntgenbild hat es etwa 8 mm Durchmesser. Offenbar ist dieses Zementom ziemlich fest mit dem Knochen verwachsen im Gegensatz zum normalen Desmodont, das lebenslang Zahnbewegungen erlaubt.
Elongation der OK-Front: Ein besondere Zahnbewegung findet man bei den Frontzähnen des Oberkiefers: sie werden immer länger, und zwar etwa 1 mm pro 10 Jahre. Auch die Oberlippe wird um diesen Betrag länger. Das ist unmerklich wenig und wird nur bei besonderen Umständen sichtbar. Solche Umstände sind dieses Zementom, Ankylosen von Frontzahnwurzeln, und Implantate in der OK-Front bei jungen Erwachsenen.
Implantate in der OK-Front: Implantate sind wie das Zementom fest mit dem Knochen verwachsen. Da die Zähne links und rechts des Implantates im Laufe der Zeit länger werden, wird die Implantatkrone, die sich nicht bewegen kann, mit den Jahren zu einem ästhetischen Problem.

Die bleibenden unteren Frontzähne weisen alle einen Schmelzbildungsfehler auf der Rückseite auf.
8-jährige Patientin (07.02.2013 / 5555)
Hintergrund: Schmelzbildungsfehler entstehen, wenn das Körperwachstum durch eine Krankheit unterbrochen wird. Meistens sind die Schmelzbildungsfehler harmlos. In einzelnen Fällen können sie aber störend wirken. In schweren Fällen übernimmt die IV die Zahnbehandlung, wenn sie vor dem 18. Lebensjahr angemeldet und ausgeführt wird.Besonderheit: Dieses Patientin hatte ebenfalls einen Zwillingszahn

8-jährige Patientin (23.11.2011 / 5068)
Hintergrund: Dieses Mädchen hat viele Schmelzbildungsfehler. Die Kosten für die ästhetische Korrektur wird die IV übernehmen.
17-jähriger Patient (08.06.2015 / 6751)
Hintergrund: Dieser Junge hat viele Schmelzbildungsfehler (brauen Flecken) links und rechts symmtetrisch verteilt bei den Molaren. Nur vorne bei den Schneidezähnen ist nur eine Seite betroffen. Prognose: Solche Flecken sind weniger stark als normaler Schmelz. Sie blättern irgendwann ab. Darunter erscheint normales Dentin. Mit einfachen Kompositfüllungen kann man heutzutage solche Defekte sehr gut reparieren.
44-jährige Patientin (09.07.2014 / 3096)
Hintergrund: Schmelzperlen sind normalerweise unbemerkt und haben keine schädlichen Folgen. Bei diesem oberen Weisheitszahn hat sich jedoch Zahnstein die Schmelzperle angelagert. Er führte zu einem Gingiva-Abszess. Die 44-jährige Patientin entschied sich zur Extraktion, weil der Weisheitszahn zu schwierig zu putzen war.
62-jähriger Patient (29.09.2014 / 1112)
Hintergrund: Milchzähne persistieren, wenn der Ersatzzahn nicht vorhanden ist. Wie viele Jahre persistieren sie? Bei diesem Patienten ist der untere zweite Milchmolar ziemlich genau 60 Jahre alt geworden! Zuletzt hat er zu wackeln begonnen und beim Kauen geschmerzt. Das Bild wurde unmittelbar vor der Extraktion erstellt.
Hintergrund: Trocknet ein Zahn aus, entsteht an seiner Oberfläche ein feines Netz von Rissen. Offenbar schrumpfen Schmelz und Wurzelzement an der Luft ziemlich rasch.
links: Ein erst gerade getrockneter Zahn. Er hat keine Krakelierung.
(Patient unbekannt)
Mitte: Zahn nach 3 Tagen Aufbewahrung an der Luft.
Zusätzlich zur Krakelierung ist der Riss in der Wurzel zu einem breiten Spalt geworden.
(63-jährige Patientin (23.09.2018 / 3493))
rechts: Zahn nach 3 Tagen Aufbewahrung an der Luft. Die Krakelierung geschieht auf der Krone und Wurzel.
Der dunkle lange Spalt ist wegen der Amalgamfüllung entstanden. Er hat sich nicht verbreitert.
(Patient unbekannt)

heute 32-jähriger Patient (21.09.2018 / 7505)
Hintergrund: Das Wachstum ist in der Biologie noch ein weitgehend ungelöstes Rätsel. Wie entstehen die verschiedenen Milchzähne mit ihren verschiedenen Formen und Grössen, und wie machen sie dann am jeweils richtigen Ort und zur richtigen Zeit Platz für die bleibenden Zähne? Dieses planmässige Wachsen und Vergehen mutet wie ein Wunder an.Anamnese: Die Mutter des Patienten hat die Milchzähne gesammelt und nun schon über 20 Jahre lang aufbewahrt.
Sie sind wegen der Austrocknung an zahlreichen Orten gebrochen. Der obere Molare wurde mit etwas Leim wieder zusammengesetzt.
Auffällig ist die lange Wurzel des oberen Schneidezahns. Er hat dem bleibenden Zahn keinen Platz gemacht.
Wahrscheinlich ist er verzögert ausgefallen oder musste extrahiert werden.
Der Patient hatte mehrere Jahre lang eine "Spange".

58-jähriger Patient (25.01.2016 / 6361)
Anamnese: Der Patient spürt keine Schmerzen. Er hat zwei Amalgamfüllungen bei 6+7, und bei beiden ist die Schleimhaut weiss geworden, genau in dem Bereich, der das Amalgam berührt.
Hintergrund: Das Amalgam verliert Quecksilber und andere Metallionen (je nach der Amalgamsorte Nickel, Kupfer, Silber usw.). Die Schleimhaut reagiert mit dieser lichenoiden (=flechtenförmigen) Veränderung. Nur wenn das Amalgam entfernt wird, klingt die Schleimhautveränderung ab.

35-jähriger Patient (16.05.2017 / 7093)
Hintergrund: Der Patient liess diese Amalgamfüllung vor etwa 20 Jahren in Südportugal machen. Der Zahn verursacht keinerlei Beschwerden. Das Amalgam hat aber eine extreme Schwarzverfärbung verursacht. Erst nach der Fotografie war der Patient einverstanden, die Füllung zu entfernen. Eine derart grosse Schwarzverfärbung kommt selten vor. Wahrscheinlich ist der Füllungsrand undicht und sickert seit vielen Jahren Feuchtigkeit unter die Füllung.
oben links: Die Amalgamfüllung mit dem breiten grauen Hof rundherum.
oben rechts: Die neue Kompositfüllung mit dichtem Rand.
unten links: Das Dentin unter dem Amalgam ist pechschwarz, aber fast überall hart.
unten rechts: Es wird nur das am meisten verfärbte Dentin ausgebohrt, was keine Schmerzen verursacht.

34-jährige Patientin (09.12.2014 / 6666)
Hintergrund: Die Patientin spürt keinerlei Schmerzen. Der graue Hof ist nicht rundherum gleichmässig verteilt. Hat der Schulzahnarzt das Amalgam unregelmässig gut gestopft, den Schmelz verschieden finiert, nicht überall gut getrocknet oder nicht sauber exkaviert?
Grauer Hof um zwei kleine Amalgamfüllungen. Bei genauer Betrachtung sieht man auch einen Riss im Schmelz nach distal.

46-jähriger Patient (23.05.2019 / 6875)
Hintergrund: Wieder keinerlei Schmerzen. Aber graue Dentinverfärbungen sind mir seit kurzer Zeit definitiv hoch verdächtig. Ich empfehle nun immer, solche Füllungen auszuwechseln. Nach dem Ausbohren des verfärbten Dentins ist das Loch doppelt so tief wie zu Beginn.

47-jährige Patientin (05.10.2011 / 5097)
Diese Patientin beklagte sich vor einem Jahr erstmals über einen empfindlichen Zahnhals bei diesem Zahn. Verschiedene Massnahmen nützten nichts, und die Schmerzen wurden langsam stärker. So entschlossen wir uns, die kleine, äusserlich intakte Amalgamfüllung zu entfernen. Verdächtig waren drei feine, schwarze Risse im Zahn, die von der Füllung auszugehen schienen.
Hintergrund: Die Amalgamfüllung war etwa 39 Jahre alt, kariesfrei und gemäss dem Röntgenbild nur etwa 2 mm tief. Es zeigte sich, dass unter der Füllung eine schwere Korrosion stattfand. Diese führte zu fünf etwa 4-5 mm tiefen, von der Mitte nach aussen verlaufenden, schwarz verfärbten Dentinrissen. Einer führte direkt zur Pulpa. Bei der scharzen Farbe handelt es sich um Kupfer- und Nickel-haltige Korrosionsprodukte. Die herausgelösten Quecksilberionen bleiben nicht im Dentin, sondern werden von der Feuchtigkeit im Spalt abtransportiert.
Frauen haben hochsignifikant mehr Amalgamtattoos als Männer. Siehe auch im deutschen Wikipedia unter Amalgamtätowierung.
Der Grund könnte darin liegen, dass Frauen häufiger zum Zahnarzt gehen als Männer. In meiner Praxis kommen etwa 25-30% mehr Frauen als Männer. Sie haben aber etwa drei mal so viele Tattoos wie Männer. Die Schulzahnärzte kennen womöglich den wahren Grund.
| Anzahl | Anzahl Rechnungen | Total Kosten | gefundene Tattoos | p = | |
|---|---|---|---|---|---|
| Frauen | 4'740 | 32'806 | 8'441'711 | 25 (0.5%) | |
| Männer | 3'978 | 25'353 | 6'743'155 | 8 (0.2%) | |
| Verhältnis F/M | 1.19 | 1.29 | 1.25 | 3.1 | 0.01380289 |
Hintergrund:
Beim Entfernen einer Amalgamfüllung kann der Bohrer ausrutschen und das Zahnfleisch verletzen.
Der Bohrer ist jeweils voller Amalgamschlamm, der in der Wunde abgestreift wird.
Der Schlamm wächst ein und ist fortan als schwarzer Fleck sichtbar - offenbar ohne schädliche Folgen.
Viele Patienten mit Amalgamtattoos haben ziemlich grosse Angst vor dem Zahnarzt. Sie können sich nicht an den Unfall erinnern. Wahrscheinlich waren sie anästhesiert und trotzdem unruhig. Und die meisten haben sich nie gefragt, woher die Flecken kommen oder haben sie nicht bemerkt- obwohl sie gross und gut sichtbar sind.
Die meisten Tattoos entstehen unten. Offenbar wird da weniger vorsichtig gebohrt als oben.
Amalgam-Tattoos Frauen
Die folgenden zwei Frauen haben grosse Tattoos und grosse Angst vor dem Zahnarzt:
links:
65-jährige Patientin (11.03.2013 / 4073)
Tattoo distal von 43.
rechts:
54-jährige Patientin (28.03.2013 / 5000)
Tattoo distal von 43.

links: Tattoo regio 32-
40-jährige Patientin (14.05.2013 / 6298)
Mitte: Tattoo bei 5-
57-jährige Patientin (29.05.2013 / 4436)
rechts: Tattoo bei -56
68-jährige Patientin (04.04.2017 / 991)

60-jährige Patientin (02.10.2014 / 5906)
Das ist eine ängstliche Patientin, die schon als Kind mehrere Extraktionen, viele Schmerzen und später dann teure Behandlungen beim Zahnarzt erlebt hat.

57-jährige Patientin (08.04.2014 / 475)
Der Fleck befindet sich an der Stelle des fehlenden linken oberen Siebners, der vor dem Jahr 2000 extrahiert worden ist.Auf dem Röntgenbild sieht man eine grosse Amalgamfüllung auf dem Siebner. Sie reichte tief unter das Zahnfleisch und hat wahrscheinlich eine noch ältere Amalgamfüllung ersetzt. Die Verletzung entstand bei diesem Füllungswechsel, also um 1975, als die Patientin ca. 18 Jahre alt war.

links:
37-jährige Patientin (14.04.2014 / 6095)
Der Fleck befindet sich über dem rechten oberen Eckzahn.
Die Patientin berichtet, dass der damalige Zahnarzt "ein Ross" gewesen sei, bereits pensioniert,
die Anästhesie noch von Hand aufgezogen habe, und dass sie wegen ihm so grosse Angst vor dem Zahnarzt habe.
rechts:
65-jährige Patientin (16.04.2014 / 2002)
Der Fleck befindet sich ebenfalls über dem rechten oberen Eckzahn.

links:
55-jährige Patientin (11.06.2014 / 6377)
Der Fleck befindet sich auf der Gaumenseite der Molaren links oben.
rechts:
49-jährige Patientin (14.07.2014 / 5533)
Der Fleck befindet sich auf der Zungenseite der Molaren rechts unten.

60-jährige Patientin (15.07.2014 / 5922)
Die Patientin ist besonders schlecht auf Zahnärzte zu sprechen.
links: Tuber oben links
rechts: Wange und Tuber oben rechts

83-jährige Patientin (30.10.2014 / 3300)
links:
Porzellankrone mit beidseitigem Amalgamtattoo.
rechts:
Der Zahn ist wurzelbehandelt und hat zwei Schrauben in den Wurzelkanälen.
Beide Tattoos erzeugen einen Schatten auf dem Röntgenbild!

60-jährige Patientin (13.05.2015 / 1808)
Das Tattoo befindet sich beim 6- bukkal.
Urspünglich befand es sich wohl deutlich unter dem Zahnfleischrand. Er ist dann mit den Jahren zum Tattoo herabgesunken.

79-jährige Patientin (01.09.2015 / 3098)
Das Tattoo befindet sich beim -6 lingual

links: 75-jährige Patientin (04.04.2018 / 6515)
rechts: 83-jährige Patientin (22.12.2016 / 432)
Die Tattoos befinden sich etwa regio 6- (li) und -6 (re) mitten auf dem Kamm.

Die folgenden beiden Fälle zeigen gleich je zwei Tattoos bei einem Zahn
65-jährige Patientin (11.04.2016 / 2824)
links: Zahn -5, Ansicht von lingual
rechts: Zahn -5, Ansicht von bukkal
67-jährige Patientin (10.11.2015 / 6883)
links: Zungenseite von 76-
rechts: Wangenseite von 76-

79-jährige Patientin (02.11.2015 / 523)
Das Tattoo befindet sich in der Wange seitlich vom +7.

73-jährige Patientin (13.03.2018 / 5697)
Die Tattoos befindet sich wenige Millimeter unterhalb der Prämolaren links und rechts.

60-jährige Patientin (05.01.2016 / 6915)
Die Patientin stammt aus Kambodscha. Das Tattoo befindet sich in der Schleimhaut hinter der Porzellankrone von 7+ (8+ fehlt).

84-jährige Patientin (08.05.2017 / 432)
Tattoo regio 35.

68-jährige Patientin (08.05.2017 / 5139)
Das Tattoo befindet zwischen 17 und 16 auf der Wangenseite der Zähne.

69-jährige Patientin (02.02.2017 / 939)
Die Tattoos stammen vermutlich von einer einzigen Amalgamfüllung (ein "MOD"), die sich auf dem fehlenden -6 befand. Die Kompositbrücke wurde 2002 angefertigt, also vor 15 Jahren, und ist immer noch in bestem Zustand.

links: 60-jährige Patientin (13.04.2017 / 1089)
rechts: 64-jährige Patientin (21.02.2019 / 6803)
Diese Tattoos befinden sich beide mitten auf dem Kamm links unten (regio -45 bezw. -6).
Herkunft: Wahrscheinlich wurde einst eine Amalgamfüllung ausgebohrt und dabei die Papille zwischen den Zähnen verletzt. Dabei blieb unbemerkt Amalgam in der Wunde liegen und heilte dann ein.

74-jähriger Patient (11.06.2014 / 3007)
Beide Bilder zeigen den gleichen Fleck. Er befindet sich links unten bei -6 auf der Zungenseite.
Das Tattoo könnte anlässlich der Kronenpräparation entstanden sein.

80-jähriger Patient (06.11.2014 / 5643)
Das Tattoo befindet sich vis-à-vis vom überkronten Zahn +6 in der Wangenschleimhaut. Es könnte vor etwa 50 Jahren entstanden sein.

60-jähriger Patient (06.02.2015 / 108)
links: Das Tattoo stammt wahrscheinlich aus der Schulzeit. Es befindet sich bukkal vom 6- und ist relativ klein.
90-jähriger Patient (24.11.2015 / 1828)
rechts: Der Patient hat den Fleck angeblich selber noch nie gesehen. Das Tattoo befindet sich bukkal vom 5-.

75-jähriger Patient (29.03.2016 / 1703)
Das Tattoo liegt hinter dem Weisheitszahn 28. Es ist älter als die Goldkrone. Offenbar hatte der Zahn früher eine Amalgamfüllung.

50-jähriger Patient (21.04.2016 / 2406)
Das Tattoo befindet sich dort, wo der Weisheitszahn 48 war.

links: 74-jähriger Patient (08.02.2012 / 1571)
rechts: 82-jähriger Patient (30.06.2020 / 1571)
Beide Tattoos befinden sich auf der Aussenseite der der oberen hinteren Zähne.
Wahrscheinlich sind beide vom selben Zahnarzt verursacht worden.

70-jähriger Patient (06.07.2016 / 6642)
Das Tattoo befindet sich bei der Papille zwischen 37 und 38.
Es ist nicht entstanden, weil der Patient den Kopf weggedreht hat. Wahrscheinlicher ist, dass der Bohrer mit einer Wischbewegung zu weit aus dem Kastenboden heraus bewegt worden ist. Und wahrscheinlich sind beide Tattoos in der gleichen Sitzung entstanden. Offenbar hatte der Zahnarzt seinen Bohrer nicht gut "im Griff".
Die Rillen im Komposit des Weisheitszahns sind eine Vorbereitung für eine Kompositbrücke.

Hintergrund: Goldkronen gelten noch immer bei einigen Zahnärzten als der beste Zahnersatz. Gold korrodiert nicht. Es kommt aber darauf an, ob das Gold gezogen ist (sehr gut) oder gegossen (schlechter).
Auf dem Bild ist eine Bandkrone. Das Band ist gezogen und geht rund um den Zahn herum, und der Deckel ist gegossen und liegt oben auf. Beide Teile haben ein Loch bekommen. Aber der gezogene Teil sieht viel besser aus als der Deckel. Unter dem Deckel ist ein leeres Loch. Da war früher Zinkphosphat-Zement drin. Er ist das schwächste Glied der Kronen.

26-jährige Patientin (08.06.2016 / 7053)
Hintergrund: Das Piercing wurde vor 1.5 Jahren eingesetzt. Die Oberlippe drückt seither ganz leicht darauf. Dem Ring entlang ist ein Biofilm gewachsen. Er scheint nicht zu stören. Jedoch wirkt sich der Lippendruck auf die Gingiva unter dem Piercing aus.
Folgen des Piercings nach 1.5 Jahren:
52-jähriger Patient (24.08.2017 / 6611)
Hintergrund: Der Patient hat seit 6 Tagen starke, klopfende Schmerzen bei den Molaren links oben. Er vermutet, dass etwas zwischen den Zähnen eingeklemmt ist.
Mit einem Scaler konnte ein tief eingesunkener Kern zwischen zwei Molaren herausgehebelt werden. Der Kern war am Keimen.
Offenbar sind Samen gegen Speichel immun und können auch zwischen den Zähnen von lebenden Menschen keimen.

6-jährige Patientin (30.06.2015 / 6779)
Hintergrund: Schleimhautveränderungen sollten genau beoachtet werden. Dieses Muttermal könnte sich verändern. Dann müsste man es entfernen.
Das Muttermal ist etwa 5 x 3 Millimeter gross

49-jährige Patientin (04.11.2015 / 5159) Die Epulis ist eine kugelförmige Schwellung des Zahnfleisches. Sie befindet sich am Zahnfleischrand auf der Wangenseite eines Molaren. Die Ursache ist eine Entzündung zwischen den Wurzeln des Zahnes.
links: -7 mit Epulis. Der Zahnstein lag etwa 5 mm tief unter dem Zahnfleisch.
rechts: 7- mit normaler Gingiva zum Vergleich.

41-jähriger Patient (18.09.2017 / 6027)
Die Aphthe ist immer noch rätselhaft, weil man nicht weiss, woher sie kommt. Als Ursache kommen Herpesviren und Bakterien, aber auch Stress und Allergien gegen gewisse Lebensmittel in Frage. Zur Milderung der Schmerzen eignen sich Solcoseryl und Pyralvex unter vielen anderen.
links: Aphthe an der linken Wangeninnenseite.

44-jährige Patientin (03.10.2018 / 2854)
Hintergrund: Die Patientin ist Raucherin und bekam vor gut zwei Wochen eine Eiseninfusion.
Sie habe zudem auch einen starken Vitaminmangel. Der weisse Belag sei vor zwei Wochen entstanden.
Er schmerzt nicht.
Er befindet sich vor allem auf der linken Wangen-Innenseite und am linken Zungenrand.
Die rechte Seite hat nur einen einzelnen kleinen weissen Fleck.
Ursache ist wahrscheinlich eine Immunschwäche.

52-jähriger Patient (05.02.2019 / 4903)
Hintergrund: Der Patient hat vor 4 Jahren nach einer Magen-Operation 38 Kg abgenommen und raucht seither fast nicht mehr. Zudem wurde etwas Diabetes und Rheuma festgestellt. Die Wangen-Innenseiten sind blau-braun verfärbt und hie und da leicht geschwollen.
20.3.2019: Verdachtsdiagnosen: dysplastisches Epithel, Koinzidenz mit einem Colonpolypen oder eine AV-Malformation.
Die Histopathologie hat jedoch keine Atypie, Dysplasie oder Malignität gefunden,
sondern entzündlich veränderte Exzisate einer radikulären Zyste.
Der 47 wurde deshalb 2019 extrahiert.
4.7.2024: Die Wangenschleimhaut ist unverändert blau verfärbt. Die weissliche Region verschwindet
manchmal und erscheint wieder rechts oder links, wahrscheinlich wegen einer Kaubelastung.
27.02.2025: Wichtige Ergänzung der Anamnese: Der jetzt 58-jährige Patient vertraut mir an, dass er schon seit 30 Jahren an einem Restless Leg Syndrom leidet. Die Schmerzen seien in letzter Zeit grösser geworden und entstünden nun tags und nachts.
Das RLS wird meistens von einem Eisenmangel begleitet (siehe Restless-legs.org). Bei Eisenmangel entstehen häufig bläuliche Petechien. Im obigen Bild sind sie so zahlreich, dass die Wangen-Innenseite flächig blau erscheint.
Cofaktor Wangenbeissen: Bei beiden Wangen liegen die blauen Zonen auf der Höhe der Kauflächen. Die Schleimhaut wird dort offenbar durch ein unterschiedlich starkes Wangenbeissen immer wieder gequetscht. Der Patient spürt die damit verbundenen Schmerzen im Mund nicht so stark, weil er wegen dem RLS dauernd und überall noch grössere Schmerzen hat.
27.2.2025: Die Wangenschleimhaut zeigt deutliche Zeichen von Wangenbeissen. Wegen den andauernden Heilungsvorgängen sieht
die Oberfläche der Schleimhaut immer wieder etwas anders aus. Die histologische Abklärung hat keine Malignität gefunden.

89-jährige Patientin (15.07.2024 / 431)
Hintergrund: Die Umschlagfalte ist die Grenze zwischen der beweglichen Wangenschleimhaut und der festen Gingiva. Sie definiert, wo der Prothesenrand liegen soll. Ist der Prothesenrand zu lang, so drückt die Umschlagfalte die obere Prothese herunter, wenn sich die Oberlippe bewegt, zum Beispiel beim Sprechen oder Lachen. Umgekehrt kann die untere Prothese von der unteren Umschlagfalte angehoben werden, wenn man zum Beispiel den Mund öffnen will. Ein Prothesenträger lernt, die Muskelbewegungen zu unterlassen, welche die Umschlagfalten bewegen und die Prothesen wegschieben.
Der M. masseter ist längs der Umschlagfalte am Oberkiefer angewachsen. Spannt er sich an, so verdickt er sich und verformt seine Sehne die Umschlagfalte. Die Sehne wird im Bereich der Prämolaren als Wangenband sichtbar. Deswegen muss man dort bei der oberen Vollprothese links und rechts je eine Wangenbandpassage einschleifen. Bei einigen älteren Patienten sinkt mit der Zeit die ganze Umschlagfalte herunter. Deswegen muss man hie und da den Prothesenrand einer alten Prothese kürzen, damit wie wieder hält. Das ist eine einfache Sache.
Die Umschlagfalte kann sich auch so weit verschieben, dass sie sich an den Facetten einer Seitenzahnbrücke wundreibt. Dann muss man entlang der angeschwollenen Umschlagfalte die Porzellan-Facetten der Zwischenglieder der Brücke abschleifen. Das ist nicht so einfach.

88-jähriger Patient (14.08.2024 / 1160)
Hintergrund: Der Patient hatte schon immer einen schmalen Spalt zwischen den beiden mittleren Schneidezähnen. Vor 21 Jahren brach der linke bei einem Unfall und wurde durch ein Implantat ersetzt.
Seit einem Jahr klemmt sich die Oberlippe immer häufiger im Diastema ein. Offenbar ist die Lücke etwas breiter geworden.
Zur Abhilfe habe ich einfach mit Composit den rechten Zahn etwas breiter gemacht und das Diastema geschlossen. Das hat sofort genützt.

(34-jährige Patientin, 14.6.2013 / 6210)
Hintergrund: Schleimhautveränderungen sollten genau beoachtet werden.
links: Brauner Fleck am Gaumen. Die Patientin ging zur Zahnhygiene wegen den braunen Zahnhälsen. Dort lernte sie, mit der Zahnbürste die Innenseite der Zähne besser zu putzen.
rechts: 6 Monate später ist der Fleck weg. Er war wahrscheinlich durch Meridol verfärbtes abgestossenes Epithel .

59-jährige Patientin (12.04.2023 / 75)
Anamnese: Die Patientin hat Gemüsesuppe gemacht und wollte einen Löffel voll mit der noch heissen Suppe probieren.
Rätsel: Weshalb sind Bläschen entstanden und ist die Fläche nicht gleichmässig verbrannt? Ist die Gaumenschleimhaut zwischen den Bläschen unverletzt geblieben? Weshalb?

72-jährige Patientin (28.03.2012 / 176)
links: Das Fibrom entstand unmerklich und schmerzt nicht, aber plötzlich schien es gross und machte Angst. Kann es Krebs sein?
rechts: Es ist nicht breit mit der Unterlage verwachsen, sondern hängt seitlich an einem breiten Stiel. Darunter ist eine Entzündung sichtbar.
links: Der Prothesenrand greift genau unter das Fibrom.
rechts: Die Entzündung wird durch den Prothesenrand verursacht. Die Patientin erzählt zu diesem Bild, dass sie mit der Zunge schon lange fast zwanghaft ständig das Fibrom über den Prothesenrand schieben muss.
links: Der neue Prothesenrand ist angezeichnet.
rechts: Nach dem Wegfräsen des Metallrandes. Die Patientin wird noch einige Tage lang Plakout-Gel unter das Fibrom streichen.
Erwartung: Die Entzündung wird in wenigen Tagen abschwellen und das Fibrom wird in einigen Monaten flacher. Es ist harmlos und muss nicht weggeschnitten werden, wenn es nicht stört.

74-jährige Patientin (06.07.2023 / 5651)
Hintergrund: Schon 2016 hat die Patientin die "Warze" rechts unten bemerkt. Wir haben sie belassen, weil sie in keiner Weise störte.
Sieben Jahre später war sie etwas grösser und störte beim Essen. Nun wollte sie die Patientin entfernen.
Dazu machte ich zuerst eine kleine Spritze dort, wo der Stiel angewachsen war.
Dann haben wir die "Warze" in die Länge gezogen, damit sie deutlich sichtbar wurde.
Und dann habe ich den Stiel mit dem Elektrotom in kleinen Schritten abgeschnitten. Es hat nur wenig geblutet.
Mit dem Handschuh habe ich dann die Wunde etwa 1 Minute lang zugedrückt, damit sie aufhören konnte zu bluten.
Etwa 10 Minuten später hat man die Wunde fast nicht mehr sehen können.
Die "Warze" war wie eine glänzige, weiche kleine Kugel und hatte in der Mitte vom Stiel ein Blutgefäss. So stelle ich mir ein Fibrom vor.

59-jährige Patientin (21.09.2011 / 64)
Hintergrund: Anfangs bestand die Befürchtung, der kleine Tumor könnte bösartig sein. Die Oberfläche hat sich zwar verändert, sie ist aber nicht lappig, runzelig, verschiedenfarbig oder gar blutig geworden. Und der Durchmesser blieb bei etwa 3 Millimeter. So handelte es sich wahrscheinlich nur um ein harmloses Fibrom.
Etwa ein Jahr später wollte der Patient die Warze entfernen lassen. Dabei stellte sich heraus, dass sie nicht breitflächig mit der Unterlage verwachsen, sondern durch einen dünnen Stiel mit ihr verbunden war. Der Stiel konnte einfach durchgeschnitten werden. Die "Warze" fiel in sich zusammen, als ob sie mit einer Flüssigkeit gefüllt gewesen wäre, ähnlich wie eine Polyp etwa in der Nase. Sie war nun so klein, dass der Patient auf eine Biopsie verzichten wollte. Die Wunde blutete nur wenig und kurz, so dass keine Naht nötig war.
52-jähriger Patient (31.08.2017 / 6828)
Hintergrund: Der Patient ist Raucher.
Er hat die Warze nie gesehen und spürt nichts von ihr.
62-jährige Patientin (30.06.2017 / 1808)
Hintergrund: Die Patientin hat nie etwas von der Warze gemerkt.
Die ganz schwach sichtbaren weisslichen Linien auf der Warze sind erst erschienen, als die Schleimhaut am Gaumen während einer Füllung trocken wurde.

58-jährige Patientin (12.12.2017 / 7409)
Hintergrund: Von dieser winzigen Warze spürt die Patientin nichts.
Die Warze war am 17.9.2019 immer noch gleich gross.

links: Die Warze wurde schon 2012 beobachtet und stört nicht.
Aufnahme vom 03.02.2020 von
med. dent. Christian Kallweit
Email: praxis@kallweit.ch
rechts: 26-jährige Patientin (01.09.2019, externe Pat.), Nichtraucherin
Die Warze erschien vor 1 Jahr und wurde im November an der ZMK Bern entfernt.
Diagnose: verruköse Hyperplasie mit Hyperkeratose.
(DD Verruca vulgaris gingivalis, Papillom, fibröse Hyperplasie).
Aufnahme von Dr. med. dent. Stefanie Hirt
Email: Zahnarztpraxis@DrHirt.ch

73-jährige Patientin (23.11.2017 / 657)
Reizfibrome schmerzen nicht und sind nicht gefährlich. Wenn sie eine gewisse Grösse erreichen, beginnen sie zu stören. Man kann sie wegschneiden, weglasern, wegfrieren oder wegbrennen, und wenn man es vorsichtig macht, sieht man zuletzt nichts mehr davon.

92-jährige Patientin (12.12.2014 / 6495)
Die Bläschen waren schmerzhaft und entstanden nach einer Wurzelbehandlung im März 2013.
Die Patienten besuchte deswegen einen Naturheilarzt (Diagnose: Viren), ihren Hausarzt (Diagnose: Titanunverträglichkeit beim Stift im Zahn 3+)
und einen Neurologen (Diagnose: Trigeminus-Neuralgie) und
nahm seither täglich Schmerzmittel, Salben, Naturheilmittel, homöopatische Mittel usw.
Schliesslich bat sie der Hausarzt, zu einem Zahnarzt zu gehen zwecks Entfernung des Titanstiftes.
Der Zement im Wurzelkanal roch stark nach ZnO-Eugenol. Er wurde restlos ausgebohrt. Einlage mit Ledermix.
Endlich wurden die Schmerzen geringer und verschwanden nach einigen Wochen ganz.

73-jähriger Patient (25.08.2020 / 1611)
Der Patient spürte einen leichten Schmerz über dem Zahn und ging zum Arzt. Der fand in den Blutwerten eine leichte Entzündung und gab dem Patienten eine Salbeitinktur. Sie nützte nichts, weshalb der Patient gestern und vorgestern stundenlang Tag und Nachts Salbeiblätter unter die Wange legte. Deshalb ist nun die Gingiva so weiss geworden. Sie wird ohne Salbei in kurzer Zeit wieder heilen.Der Grund der Schmerzen war ein keilförmiger Defekt unter dem Zahnfleisch von Zahn 5+ (✱), der den Abfluss der Gingiva-Sekrete gestaut hat. Die Behandlung war eine Zahnhalsfüllung unter dem Zahnfleisch, die den Defekt auffüllte.

44-jähriger Patient (01.03.2018 / 6183)
Der Speichelstein ist nicht so glatt wie ein Zahn, sondern so unregelmässig und stachelig wie Zahnstein. Er zerkratzt mit seinen Kristallen wie mit Nadelspitzen den Ausführungsgang der Speicheldrüse, so dass er anschwillt und den Stein immer fester umschliesst, bis der Speichel gestaut wird.

25-jähriger Patient (27.01.2020 / 6670)
Bei diesem Patienten sehen der Mundboden und das Röntgenbild so aus wie beim obigen Patienten. Zudem ist auch bei den Zähnen sehr viel Zahnstein vorhanden. Daraus entsteht der Verdacht, dass nur spezielle Bakterien Speichelsteine bilden können, nämlich solche, die fähig sind, sehr viel Zahnstein zu bilden.

48-jähriger Patient (21.05.2019 / 1795)
Hier sind etwa 100 kleine Speicheldrüsen (Glandulae palatinae) abgebildet. Ihre Ausführungsgänge sind nur 1-2 Millimeter lang.
Obwohl sie immer Speichel nach aussen abscheiden, können Bakterien in den Ausführungsgang eindringen und die Zellen der Drüse erreichen. Sogar Pigmentpartikel von Tusche gelangen dorthin. Werden sie durch Zungenbewegungen einmassiert?
Die Ausführungsgänge sind deshalb auch Eintrittspforten ins Körperinnere. Der Mund-Magen-Darmtrakt besitzt tausende von solchen kleinen Speicheldrüsen. Ohne Immunabwehr im ganzen Körper könnte niemand leben, auch keine Tiere und Pflanzen.
44-jährige Patientin (22.05.2023 / 5156)
Die Mucozele befindet sich auf der Unterlippe ganz links. Sie schmerzt nicht und stört auch nicht. Die Patientin möchte sie auf jeden Fall nicht wegschneiden lassen.

25-jährige Patientin (14.04.2014 / 6133)
Hintergrund: In seltenen Fällen stirbt ein Zahnnerv wegen der Karies nicht, sondern bleibt lebendig und formt sich zu einem Pulpapolyp. Bei Belastung ist der Pulpapolyp schmerzhaft. Deshalb wollte diese Patientin den Zahn extrahieren lassen.
Der Zahn hatte eine Pfahlwurzel. Das heisst, er hatte statt drei dünne Wurzelkanäle in zwei getrennten Wurzeln einen einzigen breiten Kanal und nur eine Wurzel.

Zahn 16, 53-jährige Patientin (24.10.2014 / 3489)
Die Pulpa kann wuchern und den Zahn von innen aushöhlen, bis er so dünn wird, dass die Pulpa rosa durchschimmert. Im Bild rechts wurde eine Guttapercha-Spitze in die Höhle gesteckt, was NICHT geschmerzt hat! Dabei ist ein Eitertröpfchen ausgetreten.
Anamnese: Die Patientin spürte schon vor einem halben Jahr ein komisches Gefühl, wenn sie mit dem Finger auf den Zahnfleischrand am Gaumen neben dem Molar drückte. Damals war die rosa Verfärbung noch nicht zu sehen.
Behandlung: Wurzelfüllung und grosse Kompositfüllung.

72-jähriger Patient (11.02.2016 / 24)
Goldkrone vor 1996 angefertigt. 2011 fiel sie ab und wurde mit Komosit ersetzt. 2013 ist ein Teil des Nervs verschwunden. 2016 ist ein grosses Loch entstanden. Karies? Die folgenden Umstände sprechen gegen eine Karies:
Extern resorbierendes Granulom
Manchmal wird eine Zahnwurzel von aussen abgebaut. Spezielle Zellen (Odontoklasten) fressen das Wurzeldentin auf.
Meistens merkt man erst etwas, wenn sie bis zur Pulpa vorstossen.
Der Defekt ist unregelmässig, und das Dentin wird dabei nicht aufgeweicht wie bei der Karies.
Früher waren solche Schäden von der Versicherung übernommen. Aber heute heisst es, die Ursache
sei immer verhütbar − nicht wie bei internen Granulom.
Apikales Granulom
Dieses ist eine entzündliche Reaktion auf die Bakterien im Wurzelkanal.
Sie gelangen meistens über eine tiefe Karies zur Pulpa.
Stirbt diese ab, so vermehren sich die Bakterien in der toten Pulpa bis zur Wurzelspitze.
Dort dringen sie aus dem Zahn heraus. Das Parodont wehrt sie ab und bildet dazu eine Entzündung − das apikale Granulom.
Es kapselt die Wurzelspitze und die austretenden Bakterien hermetisch vom Knochen ab.
Seine Grösse schwankt zwischen 1 Millimeter und 1 cm.
Es ist manchmal prallvoll mit Eiter gefüllt und schmerzt.

Zahn 13, 71-jährige Patientin (15.07.2014 / 1038)
Hintergrund: Die Patientin hatte vor 8 Monaten erstmals leichte Schmerzen rechts oben. Nach Entfernung einer vermeintlichen Prothesen-Druckstelle bei 3+ blieb der Schmerz bestehen. Vor einer Woche entleerte der 3+ unerwartet und plötzlich viel Eiter, und seither fast stündlich einen unangenehmen Saft. Die Gingiva schien vollkommen normal, aber das Röntgenbild zeigte einen seltsamen Befund: Der Zahn hat eine 12 mm tiefe Tasche und etwa 4 mm unter der Gingiva ein Loch. Am exrahierten Zahn stellte sich heraus, dass das Loch nicht weich, sondern steinhart war. Die Ursache waren also nicht Karies-Bakterien, sondern Odontoklasten, welche ein externes Granulom erzeugten. Die vertikalen Linien auf der Wurzel sind keine Dentinfrakturen, sondern stammen von einem Hue-Scaler.

Zahn 14, 70-jährige Patientin (27.10.2020 / 2164)
Hintergrund: Die Patientin hat seit 4 Monaten leichte Schmerzen rechts oben. Das Einschleifen eines leichten Vorkontaktes brachte keine Verbesserung. Die Gingiva über der Wurzel war deutlich gerötet und hatte eine tiefe Tasche. Das Röntgenbild zeigte ein externes Granulom an der Vorderseite der Wurzeln. Zudem hat sich der Alveolarknochen bis zwischen die Wurzeln zurückgezogen. Diesen Defekt wagte ich mich nicht zu reparieren. So entschloss ich mich zur Extraktion und fertigte zwei Tage späer eine Kompositbrücke an.
Arbeitszeit: 100 Min.
Kosten total: 565 CHF
links: Das externe Granulom befindet sich auf der Höhe der Pulpakammer im Bereich des Zahnhalses, und zwar nicht auf der Vorderseite, wie das Rötgenbild vermuten lässt, sondern auf der palatinalen Seite.
Mitte: Es ist nicht nur ein Loch, sondern auch eine Verdickung des Wurzeloberfläche. Der Zahnhals ist in dieser Region auch bukkal etwas verdickt.
rechts: Bei 50-facher Vergrösserung sieht man, dass die Odontoklasten das Dentin unregelmässig auflösen.

Dieser Patient bemerkte 2002 links oben am Gaumen beim 2. Molaren eine Fistel. Der Eintrag heisst: "Warzenähnliches, ca 3 mm Durchmesser, leicht blutiges/evt. eitriges Püggeli regio +7 pal.". Ich habe dem Patienten seinerzeit vorgeschlagen, den Zahn zu ziehen. Der Grund war: "Eiter mit unbekannter Ursache". Da war der Patient nicht einverstanden und wollte den Zahn behalten.
Nun ist er wieder gekommen (2012). Er hat 10 Jahre lang nie Schmerzen gehabt! Auf dem Röntgenbild scheint der Herd etwas grösser geworden zu sein. Der Zahn scheint aber nichts mit dem Eiter zu tun zu haben. Der Eiter verschwindet deshalb nicht sicher, wenn man den Zahn zieht! Als nächstes wird der Patient eine 3D-Aufnahme machen lassen...
23-jähriger Patient (25.09.2002 / 2730)
Hintergrund: Fisteln sind chronische Ausgänge für Eiter. Meistens entleeren sie jahrelang ohne Schmerzen in kleinen Portionen fortlaufend etwas Eiter. Er besteht aus lebenden Bakterien und toten Zellen, wird heruntergeschluckt und ist offenbar gut verdaubar.
2016: Digitales Volumentomogramm und chirurgische Entfernung des Gewebes.
Histologisch wurde keine Malignität gefunden. Die Heilung war unvollständig.

Vernarbte Fistel an der Wange.
Das Röntgenbild vom 6- zeigt ein gewöhnliches Granulom. Ein türkischer Zahnarzt habe die Füllung vor einem Jahr gemacht. Er hat versucht, die Pulpa zu retten.
14-jährige Patientin (10.06.2024 / 7421)
Hintergrund: Praktisch alle dentogenen Fisteln befinden sich im Zahnfleisch. In diesem ganz seltenen Fall hat sich die Entzündung jedoch durch die Wange hindurch ausgebreitet und ist die Fistel auf der Aussenseite der Wange erschienen.
2024: Das DVT zeigt auf dem frontalen Schnittbild (quer zum Kopf), dass das Granulom die Aussenseite der Mandibula durchbrochen hat (roter Pfeil). Es kann also tatsächlich für die Fistel in der Wange verantwortlich sein.
Zahn 37, 56-jähriger Patient (17.01.2014 / 5987)
Hintergrund: Dieser Patient hat vor einem Jahr leichte Schmerzen bekommen. Der Zahn -7 hatte eine Karies bis zur Pulpa. Die direkte Überkappung verlief nicht gut, und der Nerv musste entfernt werden. Auf dem Röntgenbild war das externe resorbierende Granulom zu sehen. Die Pulpaexstirpation half, und die Schmerzen sind weitgehend wieder verschwunden - aber nie ganz. 6 Monate später wurden sie stärker, und auf dem Röntgenbild sah man, dass das Granulom grösser geworden ist. Am extrahierten Zahn ist es leicht zu erkennen.

Zahn 46, 48-jähriger Patient (24.08.2022 / 5296)
Anamnese: Die Wurzelfüllung wurde vor gut 20 Jahren gemacht.
Röntgenbild 2006 (links): Die mesiale Wurzel hat ein Granulom. Es könnte eine Reaktion auf die Bakterien oder chemischen Zerfallsprodukte sein, die aus dem unteren Drittel des Wurzelkanals ausströmen.
Röntgenbild 2016 (rechts):
Fast wie ein Wunder ist das Granulom ohne Behandlung weitgehend verschwunden.
Der Patient habe nieSchmerzen gehabt.
Erklärung? Der Patient nimmt pro Tag 5-7 Gramm Vitamin C zu sich. Dies stärkt seine Körperabwehr. Könnte es sein, dass sein Zahngranulom wegen der schlechten Wurzelfüllung entstanden ist und durch die besonders gute Körperabwehr von selber geheilt ist?
Zahn 13, 63-jähriger Patient (03.10.2016 / 6032)
links: Das Granulom ist an der Wurzelspitze angewachsen, umschliesst den Eiter und schützt den Knochen davor. Dieser Schutz erfordert eine sehr starke Durchblutung der Kapsel. In Wirklichkeit ist sie viel röter als auf dem Bild, weil der Zahn vor der Fotografie mehrere Stunden gewässert worden ist.
rechts: Das Granulom wurde auf einer Seite geöffnet. Man erkennt den Hohlraum im Inneren der Kapsel. Darin steckt ein Wurzelkanalinstrument (Hedström-Feile ISO-Grösse 08). Es ragt etwa 2 Millimeter aus der Wurzelspitze heraus.

Zahn 28, 43-jähriger Patient (13.06.2022 / 6326)
Anamnese: Die Schmerzen begannen gestern abend links hinten, waren heute morgen stärker, und erreichen jetzt Stirn und Ohr.
Befund: Die linke Wange schmerzt beim Palpieren. Alle Zähne sind kaltempfindlich und stark abgenutzt. Die Molaren +78 sind die Hauptverdächtigen. Beide sind kariesfrei und klopfempfindlich, +8 ist etwas lockerer als +7.
Röntgenbild: +7 hat eine kleinere Füllung als +8. Letztere könnte die Pulpa reizen, und +8
könnte sogar ein Granulom haben.
Test mit feucht-heissem Tuch: lindert die Schmerzen nicht.
Hinweise auf Knirscherschmerzen: Wangenmuskulatur schmerzt bei Palpation, Abrasionsgebiss, Lockerung des
+8 durch Knirschen.
Hinweise auf ein Granulom: Lockerung des +8 durch Anschwellung des Granuloms,
Wirkungslosigkeit des feucht-heissen Tuches spricht gegen Muskelkater-Schmerzen,
Röntgenbild mit Granulom-verdächtiger Wurzelspitze.
Therapie-Entscheid: Es sprechen mehr Argumente für ein Granulom als für Knirscherschmerzen. Deshalb entschlossen wir uns für die Extraktion des Weisheitszahnes. Eine Wurzelbehandlung wäre sehr schwierig. Erst der extrahierte Zahn gab uns Recht.

Zahn 16, 53-jähriger Patient (24.01.2018 / 6828)
links: Das Granulom umschliesst die Spitze der palatinalen Wurzel. Es ist schmerzhaft, enthält aber keinen Eiter.
rechts: Das Granulom wurde auf einer Seite geöffnet. Die Karies hat den ganzen Wurzelkanal erfasst, und die Kariesbakterien drängen aus der Wurzelspitze (grauer Fleck). Das Granulom verhindert, dass sie in den Knochen eindringen können.

Zahn 31, 63-jährige Patientin (05.02.2025 / 6711)
Anamnese: Der Zahn hat nie geschmerzt, wurde aber immer schiefer und lockerer. Der Apex schaut aus der Fistel heraus, das Röntgenbild zeigt, dass die Wurzel fast keinen Knochen mehr hat.
Therapie-Entscheid: Die Patientin wollte noch keine Extraktion. Der Zahn wurde deshalb nur geschient und gleichzeitig ästhetisch verbessert. Falls die Wurzel zu schmerzen beginnt, kann man sie einfach vom Zahn abtrennen. Die Krone bleibt gleich.

9-jähriger Patient (07.12.2016 / 6759)
links: Zahn 6- mit tiefen, schmalen Grübchen, die man nicht gut reinigen kann. Sie verlaufen längs und quer. In solchen Grübchen beginnt die Karies, wenn man häufig Süsses isst. Kinder machen das besonders oft. Fluoride härten den Zahnschmelz, sodass die Karies langsamer voranschreitet.
rechts: Zahn 6+ mit ähnlichen Grübchen und einer minimalen (dunkler Fleck mit weissem Schmelz daneben in der linken Zahnhälfte) und einer beginnenden Karies (grosser brauner Fleck in der Zahnmitte).

6-jährige Patientin (10.01.2023 / 8265)
links: Zahn 6- am 25.01.2023 bei der Schulzahnkontrolle. Das zentrale Grübchen ist wegen einer MIH nicht optimal mit Schmelz bedeckt. Zudem putzen die Eltern (es sei der Vater) dem Kind die Zähne nicht gut. Die Mutter erhält ein Rezept für Duraphat, zudem wird ihr gezeigt, wie sie mit einer Paro-Interpace das Grübchen gut putzen kann.
rechts: Zahn 6- am 10.01.2024 bei der Schulzahnkontrolle. Das zentrale Grübchen hat sich zu einer Caries profunda entwickelt. Der Vater könne seiner Tochter die Zähne jeweils nicht gut putzen. Manchmal müsse die Mutter mit einer Nadel ein eingekeiltes störendes Körnchen aus dem Loch herauspicken. Der Zahn habe bis jetzt noch nie geschmerzt. Die Karies ist etwa 5 mm tief.
63-jährige Patientin (22.09.2011 / 5282)
Die Goldkrone ist sicher immer gleich gut wie die Nachbarzähne geputzt worden. Trotzdem hat sie unter dem Zahnfleisch ein tiefes Loch bekommen, so dass ein Keil hineingesteckt werden kann.
Hintergrund: Der Patient ist Nichtraucher und pflegt seine Zähne überdurchschnittlich gut. Möglicherweise findet unter der Goldkrone eine Spaltkorrosion statt. Die beiden Amalgamfüllungen neben der Goldkrone könnten wie ein galvanisches Element wirken.

68-jährige Patientin (31.03.2015 / 1570)
Hintergrund: Die Patientin hatte eine Bestrahlung, und seither sind die Speicheldrüsen nicht mehr aktiv. Diese Karies ist in kurzer Zeit am unteren rechten mittleren Schneidezahn auf der Zungenseite entstanden. Das ist der Ort, wo es sonst nie Karies gibt. Und warum nicht beide mittleren unteren Schneidezähne???
Prognose: Ohne Behandlung würde dieses Loch wahrscheinlich sehr lange unverändert bleiben

Hintergrund: Alle drei Patienten haben eine Karies an einer ungewöhnlichen Stelle bekommen, wo sonst niemand ein Loch bekommt. Der Verdacht liegt nahe, dass die Zähne an diesen Stellen eine Schwachstelle hatten.
Sicher wird die ganze Region überall gleich gut geputzt, sind keine Speiseresten vorhanden und ist auch eine Selbstreinigung durch den reibenden Kontakt mit der Wangen- und Lippenschleimhaut gewährleistet.
3a: Die schwarze Karies geht bis unters Zahnfleisch
3b: Schwarze Karies stark vergössert
3c: Nach dem Ausbohren. Dazu ist keine Spritze nötig, weil sich der Nerv zurückgezogen hat und das Ausbohren nicht spürt.
3d: Fertige Kompositfüllung
3e: des Rätsels Lösung:
Vor geraumer Zeit (in der Jugend) hat die Zahnbürste den untersten Rand des Zahnes regelmässig nicht ganz erwischt.
Nach dem Putzen verblieb jeweils ein kleines Häufchen Bakterien.
Es konnte mit der Zeit eine winzig kleine Karies verursachen.
Das Bild zeigt gleich zwei solche Zähne.
Der Patient hat nun aber gelernt, den untersten Rand dieser beiden Zähne besser zu putzen.
Nun kommen die zwei kariösen Stellen zum Vorschein.
Sie werden nun nicht mehr weiter wachsen (oder nur minimal), weil jetzt jeden Tag Zahnpaste an diesen Ort gelangt.
Sie verstärkt und remineralisiert das offene Dentin mit Fluorid.

Hintergrund: Beide Löcher sind an einem scheinbar gut pflegbaren Ort entstanden. Die beiden verschiedenen Farben machen diese Karies noch rätselhafter.

20-jährige Patientin (01.04.2015 / 4558)
Hintergrund: Die Patientin ist hoch kariesaktiv. Nach "fünf Tagen zu je fünf Stunden Schmerz" ist sie schliesslich mit diesem neuen Loch gekommen. Wir sind ahnungslos, woher die Farbe kommt.
Die Karies ging bis zur Pulpa. Diese blutete nur schwach, was verdächtig war. Die Mehrheit im Team entschied sich (so kurz vor Ostern) für eine sichere Sache und wollte keine direkte Überkappung riskieren. Bei der Exstirpation entstand dann eine sehr starke Blutung aus dem mesiobukkalen Kanal. Der Entscheid zur Wurzelbehandlung war also vielleicht doch der bessere.
Prognose: Ohne Behandlung würde dieses Loch wahrscheinlich rasch grösser werden.

16-jährige Patientin (21.08.2016 / 5089)
Anamnese: Diese Karies begann vor 5-8 Jahren und hat nie geschmerzt.
links: An der Karies beteiligen sich verschiedenfarbige Bakterien.
rechts: Die körnige Struktur entspricht wahrscheinlich einzelnen Bakterienkolonien (= Bakterien der gleichen Sorte).
links: In den Wurzelkanälen sind die Kolonien weiss.
rechts: Röngtenbild: die Bakterien sind bereits am Apex angelangt.
Prognose: Ohne Behandlung würde dieses Loch wahrscheinlich sehr rasch grösser werden.

85-jährige Patientin (19.09.2018 / 1732)
Anamnese: Die Patientin ist sechs Jahre lang nicht mehr zur Kontrolle gekommen. Nun stört sie "eine scharfe Kante beim Eckzahn". Solche Löcher hat sie früher nie bekommen. So ab 80 bekommen einzelne Patienten rasch sehr grosse Löcher, oft bei mehreren Zähnen.
links: Zwei grosse Löcher, fertig ausgebohrt...
rechts: ...und jetzt mit Komposit gefüllt

60-jährige Patientin (07.05.2019 / 449)
Anamnese: Die Patientin hatte vor 20 Jahren, als sie 40-jährig war, noch sehr gute Zähne, so wie die beiden auf dem Röntgenbild. Aber dann begann sie ihre Zähne zu vernachlässigen. Dabei war sie immer gut gelaunt und hatte nie Schmerzen. Unterdessen sind acht Molaren total von Karies zerstört. Erst seit einigen Tagen spürt sie eine kleine Schwellung unten links. Es waren diese beiden Wurzelreste - voller Eiter.
die beiden Zähne vor 19 Jahren...

50-jähriger Patient (16.06.2022 / 7485)
Anamnese: Der Patient erlitt beim Schulzahnarzt ein Trauma und entwickelte dann eine Dentalphobie. Er konnte sie als Erwachsener durch eine Traumatherapie mildern. Aber 2016 wurde bei einer Operation der Ischiasnerv verletzt. Es folgten chronische Schmerzen, die nun mit Lyrica (Pregabalin) und Fentanylpflaster (Opioid) unterdrückt werden müssen.
Der Zahnzerfall entstand wegen der lebenslangen Auswirkung der obigen psychischen und medikamentösen Faktoren:
Diese unglückliche Kombination von Umständen findet man auch bei Drogensucht und wird Meth-Mund genannt.
Therapie: Zwei Vollprothesen. Da der Kamm gut erhalten ist sind keine Implantate nötig. Die Zahnwurzeln werden so lange als möglich belassen oder sogar therapeutisch gefestigt.>

9-jährige Patientin (05.04.2023 / 7331)
Anamnese: Die Patientin hat eine cystische Fibrose. Diese macht allen Schleim (auch in der Lunge und im Darm) und den Speichel zähflüssig. Der zähflüssige Speichel kann die Karies viel weniger abwehren als normaler Speichel.
1) Befund am 8.6.2022: kleine dunkle Verfärbung, Fissur hart, Hygiene gut, Prognose gut. Behandlung in 1 Jahr wenn das Kind mutiger ist.
2) Befund am 5.4.2023: Mutter und Tochter kamen schon jetzt weil der Zahn manchmal etwas schmerzt. Völlig unerwartet ist nach nur 10 Monaten eine riesige Karies entstanden. Diese sollte möglichst schnell behandelt werden, am besten sofort. Aber wie? Bei einem anderen Zahnarzt mit Lachgas? Das Mädchen und seine Mutter gingen jedoch auf eine reizarme Behandlung ohne Anästhesie ein und blieben Schritt für Schritt kooperativ.
3) Die Karies ist noch nicht ganz entfernt. Aber auch die nun folgende restliche Exkavation war gut erträglich. Und die Füllung zu legen ist sowieso kein Problem.
4) Fertige Komposit-Füllung mit noch einigen verbliebenen Spuren vom Farbband. Nun waren alle sehr glücklich und stolz.

41-jähriger Patient (24.06.2014 / 6545)
Hintergrund: Knochen sind nicht "massiv" wie Holz, sondern luftig gebaut wie ein Schwamm. Im Inneren des Knochens hat es viele dünne Knochenbälkchen, und die Zwischenräme sind gefüllt mit roten und weissen Blutkörperchen, Fettzellen und vielen anderen Zellarten. Die Knochenbälkchen werden ständig von Osteoklasten und Osteoplasten umgebaut und den aktuellen Spannungslinien angeglichen. Die Spannungslinien entstehen durch die Kräfte und Belastungen, die auf den Knochen einwirken. Wie und warum solche runden kompakten Knocheninseln entstehen, ist nicht bekannt.

65-jährige Patientin (12.12.2022 / 2745)
Hintergrund: Diese Patientin spürt seit dem 25. Labensjahr fast täglich Schmerzen wegen einer Fibromyalgie. Zudem hat sie einen starken und ebenfalls schmerzenden Bruxismus.
Vielleicht hat das ständige Knirschen und Pressen im Laufe von 40 Jahren einerseits das Desmodont dazu gebracht, die überlastete Wurzel zu resorbieren. Und andererseits hat die Resorption den Knochen stimuliert, eine Kompakta-Insel zu bilden. Aber weshalb ist die Kompakta-Insel grösser als das resorbierte Material?

85-jährige Patientin (19.07.2014 / 1630)
Hintergrund: Knochenhöcker an der Innenseite der Mandibula links und rechts. Die Tori sind knochenhart und schmerzen nicht. Wenn sie zu gross werden, können sie die Zunge stören.

30-jähriger Patient (27.08.2004 / 3854)
Hintergrund: Dieser Patient hat sich an den Tori gestört und wollte sie entfernen lassen. Nach einer gewöhnlichen Anästhesie und einem kleinen Schnitt kamen die knöchernen, weissen Höcker zum Vorschein. Sie konnten ohne Komplikation (keine Blutung, keine Eröffnung einer Höhle oder dergleichen) mit dem Bohrer abgetragen werden. Die Wundheilung verlief gut und ohne nennenswerte Schmerzen.

77-jähriger Patient (13.03.2019 / 2180)
Der Patient fühlt mit der Zunge auf der rechten Seite einen Spitz, der ihn aber nicht stört. Auf der linken Seite sind die Tori alle rundlich.

70-jährige Patientin (14.12.2023 / 218)
Dieser Torus mandibularis ist in fast 8 Jahren (genau in 94 Monaten und 4 Tagen) etwa 2 Millimeter gewachsen. Er ist also etwa zwei hundertstel Millimeter pro Monat gewachsen. Das ist etwa doppelt so schnell wie ein Heavy biter seine Zähne abnützt (siehe hier).
links 10.02.2016: Der Torus ist etwa 2 mm lang
rechts 14.12.2023: Der Torus ist etwa 4 mm lang und störe die Patientin "überhaupt nicht".

46-jährige Patientin (12.03.2019 / 7420)
Diese beiden Tori stören die Patientin nicht, obwohl sie noch grösser sind als jede im oberen Bild. Die Patientin hat bis vor 12 Jahren von den Tori überhaupt nichts bemerkt. Ein Zahnarzt hat sie damals darauf hingewiesen. Seither beobachtet die Patientin die Tori. Sie seien seither nicht grösser geworden. Da die Tori harmlos sind, darf man einfach abwarten ohne Behandlung.

Hintergrund: Der Verdacht, dass der T. mand. den Unterkiefer verstärkt und vielleicht eie Folge von starkem Bruxismus ist, wirkt wegen diesem Bild eher ungerechtfertigt. Nur 6 Jahre später sind die Tori deutlich grösser geworden.
Die Zunge spürt zwar die beiden Kugeln, stört sich aber nicht gross daran. Keinerlei Beschwerden!
Dafür wird der Verdacht grösser, dass der T. mand. eine genetische Ursache hat.

43-jähriger Patient (27.09.2023 / 8573)
Der Patient fragt sich immer wieder mal, was die Knollen am Unterkiefer bedeuten. Aber sie schmerzen nicht und stören ihn auch nicht.
Die Frontzähne des Patienten sind stark abgenützt. Das deutet auf eine hohe Beisskraft. Es könnte sein, dass die Tori mandibulares zur Verstärkung der Mandibula wachsen, wenn diese durch hohe Kaukräfte im Mikromillimeterbereich verbogen wird.

Hintergrund: Knochenhöcker bei einer Thailänderin, mitten am Gaumen, ca 2 cm gross. Ihre Mutter habe noch einen grösseren. Keinerlei Beschwerden!

Hintergrund: Knochenhöcker an der Innenseite des Gaumens links und rechts.

Hintergrund: Knochenhöcker an der Aussenseite des Oberkiefers rechts.

Hintergrund: Dieser 1 cm grosse Sequester ist spontan und schmerzlos bukkal vom +7 ausgetreten.
Das Röntgenbild zeigt eine grosse Karies beim +6.
Der Unterkiefer hat bei dieser Patientin einen spitzigen Torus mandibularis gebildet (siehe hier).

10-jähriger Patient (11.07.2024 / 7641)
Hintergrund: Eigentlich erwartet man, dass sich die linke und rechte Seite des Körpers einigermassen gleichzeitig entwickeln. Beim Zahndurchbruch gibt es aber viele Ausnahmen.
Als dieser Junge 9 Jahre alt geworden ist, hat man befürchtet, dass der linke Schneidezahn fehlt. An seiner Stelle ist lediglich das Zahnfleisch etwas weiss geworden.
Das Röntgenbild zeigt den vermissten Zahn jedoch ganz normal geformt in einer Warteposition unter dem Zahnfleisch.
Ein gutes Jahr später konnte man keinen Unterschied mehr sehen zwischen links und rechts.

3-jähriger Knabe (01.10.2025)
Hintergrund: Beim Milchzahndurchbruch entsteht manchmal etwas Fieber. Das ist nicht gefährlich, und es entsteht dabei keine Schwellung und kein Eiter. Aber es verwundert, dass beim Auflösen des Zahnfleisches über dem Milchzahn meistens kein Schmerz entsteht. Gemäss der Tabelle der Zahndurchbruchzeiten ist der Knabe eher ein Spätzahner.
Zahnfleischzipfel auf dem -V: Das Zahnfleisch auf dem Zahn ist vorne blau verfärbt und hinten ganz schmal geworden. Es wird sich in wenigen Tagen ablösen. Gleichzeitig wird der Milchzahn etwas länger und so verhindern, dass das Zahnfleisch nochmals über ihn wachsen kann.

12-jährige Patientin (08.02.2017 / 5978)
Hintergrund: Beim Zahndurchbruch muss sich das Zahnsäckchen rund um die Zahnkrone und das Zahnfleisch über dem Zahn auflösen. Bei Säuglingen ist das manchmal sehr schmerzhaft. Man stellt sich vor, dass die Schneidekanten und Höckerspitzen das Zahnsäckchen und das Zahnfleisch von unten langsam durchstechen. Bei scharfen Schneidekanten und spitzigen Höckern geht das gut, aber bei stumpfen Schneidekanten und flachen Höckern entsteht dabei wahrscheinlich ein dumpfer Druck.
Schleimhautbrücke beim 7+: Offensichtlich stand das Zahnfleisch über den Höckerspitzen dieses oberen Siebners unter Druck und hat sich aufgelöst. Das Grübchen in der Mitte des Zahnes verursacht keinen Druck. Hier bleibt das Zahnfleisch in Form eines Bandes noch eine Weile lang bestehen.

Hintergrund: Follikuläre Zysten entstehen meist bei jungen Männern an unteren Weisheitszähnen, die nicht durchbrechen. Sie sind meist symptomlos und ein Zufallsbefund auf einem Röntgenbild. Aber sie werden langsam grösser und können dann den Mandibularnerv stören, den Unterkieferknochen schwächen, sich wegen Bakterien entzünden oder selten sogar krebsig entarten.
Diese follikuläre Zyste ist aus dem Zahnsäckchen des unteren Siebners entstanden. Weil er nicht durchbricht, bleibt es erhalten und wird wahrscheinlich wegen einem ständigen immunologischen Reiz immer grösser. Im Normalfall löst es sich jeweils beim Zahndurchbruch auf.
Foto links: Das Zahnfleisch über der Zyste hinter dem Sechser sieht ganz normal aus.
OPT rechts oben: Rund um die Zyste ist im Knochen ein eigenartiger Kreis entstanden.
DVT rechts unten: Die Zyste hat den Knochen hinter dem Siebner deutlich verdrängt.

Anamnese: Der Weisheitszahn 38 wurde 2016 in Israel extrahiert. Die Patientin spürte fortan ein sporadisches Unwohlsein in der Region des 38. Ihr Zahnarzt hat 2018 das Röntgenbild links gemacht. Es zeigt die abgebrochene Wurzel des 38. Er sagte jedoch, das sei nichts. Hat er eine Dekoronation versucht? 2023 kam die Patientin in die Schweiz. Nun entstehen in der Region 38 immer wieder kleine eitrige Fisteln. Das neue Röntgenbild rechts zeigt die abgebrochene Wurzel. Sie hat sich in der Zwischenzeit etwa 1 cm bewegt und liegt nun flach unter dem Zahnfleisch.
Hintergrund: Wurzeln können sich bewegen, und das machen sie auch beim Zahndurchbruch. Sogar abgebrochene Wurzeln können sich bewegen.
Foto links unten: Ein einfacher Schnitt in der Region 38 führt zum vermuteten Wurzelrest. Neben dem Schnitt sind die kleinen Fisteln sichtbar.
Foto rechts unten: Der Wurzelrest ist 8 mm lang. Er war noch immer über sein Desmodont (Wurzelhaut) fest mit dem Knochen verwachsen.
Das Wunder des Zahndurchbruchs: Das Desmodont kann dank den Sharpey'schen Fasern die Wurzel in Längsrichtung und nach vorne verschieben - so entsteht der Zahndurchbruch im Milchgebiss und bei den bleibenden Zähnen. Weitere Geheimnisse spielen eine Rolle: die Wachstumssteuerung, die Elastizität der Kollagenfasern, und weshalb kein Wachstum nach hinten?
Das Hydroxyl-Ion OH- wird durch Säuren abtransportiert und
durch Chlorid- oder Fluorid-Ionen ersetzt.
Dadurch entstehen Abnützungen vor allem bei den Höckerspitzen und Schneidekanten sowie Druckspitzen bei den Zahnhälsen.
Die Höckerspitzen und Schneidekanten werden manchmal mehrere Millimeter weit abgenützt. Dabei wird der ganz tief liegende Schmelz entblösst, der um die Zeit der Geburt entstanden ist. Dieser Schmelz ist aber wegen dem perinatalen Stress nicht selten weniger stark als normaler Schmelz.Schmelz wächst nicht gleichmässig heran wie zum Beispiel ein Finger. Vielmehr bildet jedes Pulpahorn zuerst ein eigenes Verkalkungszentrum wie einen kleinen Hut. Darum herum und darüber entstehen dann im Laufe von etwa drei Jahren weitere Schichten. Bei den Sechsern sieht das so aus:
1 Zwei Monate vor der Geburt hat jedes Pulpahorn einen kleinen Hut aus Schmelz.
2 Bei 1-Jährigen ist die ganze Kaufläche mit verschieden dickem Schicht Schmelz vorgeformt.
3 Starke Knirscher nützen den Schmelz bis über die Neonatallinie ab (roter Pfeil).
Der perinatal entstandene Schmelz ist manchmal weicher (wegen Stillen, Verminderung der Ca++-Aufnahme usw.)
Eine Beschreibung der Schmelzbildung und deren Störungen findet sich hier:
Prof. P. Gängler et al. (2020): MIH - alter Wein in neuen Schläuchen?und bei
DISS N. Willing (2006): Schmelzbildungsstörungen an Zähnen der 2. Dentition, Prävalenz und UrsachenforschungSchmelzbildungsstörungen kann es sowohl bei Milchzähnen als auch bei den bleibenden Zähnen geben. Sie betreffen etwa 10-30% der Patienten. Die genaue Ursache ist noch unbekannt. Ein aktueller Bericht aus der Schweiz ist hier: Valeria Diener, Joëlle A. Dulla et al.: Tipps für die Privatpraxis zur Therapie der Molaren-Inzisiven-Hypomineralisation

Einzig die Weisheitszähne sind normal.
Die Ursache ist wahrscheinlich Hunger und Mangelernährung in den ersten
Lebensjahren (in Kenja).
(26-jähriger Patient (23.11.2022 / 8386))

Die Ursache ist unbekannt.
(45-jährige Patientin (23.11.2022 / 1522))
Frontzähne ohne Hypomineralisation

Die Ursache ist vermutlich eine Verletzung der Gingiva im Mund über den Frontzähnen im Alter von 2 bis 3 Jahren.
(10-jährige Patientin (27.11.2024 / 7798))

Zahn 7-: winzige Delle mitten auf dem etwa 2 mm tief abgeknirschten Höcker.
(21-jähriger Patient (24.03.2016 / 4900))
Zahn 6-: tiefere Delle, sporadischer Kauschmerz (knirschbedingt?).
(16-jährige Patientin (01.04.2013 / 4656))

rechts: Zahn -6 mit zwei weiteren Erosionen auf den Höckerspitzen. Solche Dellen sind sicher kein Putzfehler!

Dieser Patient kam nur, um die scharfen Kanten unten rechts abrunden zu lassen.
Ich habe die Löcher dann alle mit Komposit aufgefüllt.
58-jähriger Patient (02.09.2020 / 1764)

links: Zahn 46 (von der Seite)
rechts: Zahn 36 (von vorne)
Den Zähnen fehlt wenig Schmelz und viel Dentin.
Knirschen verursacht nur flache Abnützungen.
Säure hingegen greift Dentin mehr an (ab pH 6.5) als Schmelz (ab pH 5.5).
Die Patientin trinkt seit 20 Jahren vier Tassen Kaffee pro Tag (pH 5.0) und liebt Balsamico-Essig im Salat.
Die Erosion entstand aber erst in den letzten 7 Jahren wegen einem Reflux und einer medikamentös bedingten Mundtrockenheit.
41-jährige Patientin (21.09.2022 / 8357)

links: Dieser Patient hatte schon zwei Jahre lang Kauschmerzen links unten. Er meinte stets, es sei der zweithinterste Zahn.
Dort fanden jedoch mehrere Zahnärzte kein Problem.
rechts: Nur zwei Monate nach der Aufnahme links brach beim hintersten Zahn ein Höcker ab - und die Schmerzen waren sofort vorbei.
51-jähriger Patient (01.10.2019 / 7791)

17-jährige Patientin (13.09.2017 / 4613)
links: Zahn -7 mit winziger Karies auf der distobukkalen Höckerspitze. Die Ursache ist unklar. Man sollte meinen, dass auf der Höckerspitze 100% Selbstreinigung herrscht.
rechts: Nach der Reparatur zeigt sich die hohe Belastung des Höckers. Hat sie das Schmelzgefüge gelockert?

links: Es sind ca. 10 kleine offene Höckersitzen vorhanden. Einige sind tief kariös.
rechts: Eine tiefe Karies unter dem perinatalen Schmelz.
Ca. 25-jährige Patientin
Diese beiden Bilder stammen von Kollege
med. dent. Herbert G. Spang
Juraweg 1, 3250 Lyss
praxis_spang@hotmail.com

15-jähriger Patient (09.12.2015 / 4815)
Anamnese: Bei diesem Patienten sind beide unteren 6-er innert 8 Jahren so stark abgenützt wie sonst selten. Vielleicht haben die Zähne nicht gut zusammengepasst und er musste sie flach knirschen und reiben, damit die Höcker nicht störten. Die beiden Gegenzähne haben nur wenig Schmelz verloren.Hintergrund: Erosionen können einen Zahn mehrere Millimeter kürzer machen. Da der Schmelz nur etwa 2 Millimeter dick ist, tritt dann das darunterliegende Dentin an die Oberfläche. Es ist porös, weicher als Schmelz, und es kann sich leicht verfärben. Welcher Zahn ist es?

20-jähriger Patient (23.11.2017 / 7303)
Anamnese: Der Patient hat vor etwa 6 Jahren viel Coca-Cola und red bull getrunken. Seither seien die Erosionen nicht mehr grösser geworden.
Hintergrund: Auffällig ist, dass die Erosionen nur bei allen vier Sechsern und nicht auch bei den Siebnern aufgetreten sind.
Denn alle acht Zähne haben gleich viele saure Getränke aushalten müssen.
Die beiden Zähne sind zu unteschiedlichen Zeiten gewachsen:
Die Höckerspitzen der Sechser entstehen im 7. und 8. Schwangerschaftsmonat.
Die Höckerspitzen der Siebner hingegen erst mit 2.5 Jahren.
Vielleicht haben die Siebner während des Wachstums mehr Fluorid bekommen als die Sechser.

46-jährige Patientin (01.12.2022 / 6007)
Anamnese: Die Patientin trinkt täglich etwa 3.5 Liter Tee mit Zitronensäure. Sie putzt die Zähne morgens und abends mit einer gewöhnlichen Zahnpasta.Hintergrund: Praktisch alle heutigen Zahnpasten enthalten Fluoridionen, die den Zahnschmelz säurefest machen. Aber 3.5 Liter zitronensauren Tee pro Tag kann das Fluorid nicht abwehren.
Das Bild zeigt die CO2-haltigen Bläschen nach wenigen Sekunden Einwirkungszeit der Säure (blau, Ultra-Etch®).
55-jährige Patientin (01.04.2019 / 5158)
Anamnese: Die Patientin geniesst jeden Morgen ein Müesli mit Früchten und trinkt hie und da Orangen- oder Zitronensaft dazu. Um 16 Uhr isst sie jeweils einen Apfel und putzt dann die Zähne. Sie hat schon bei allen Zähnen eine Zahnhalsfüllung.links: oben: Erosion im Wurzeldentin. Unten: Erosion im Schmelz.
rechts: Ansicht nach der Reparatur mit Komposit, kurz vor der Politur mit Gummi.
Hintergrund: Säuren erweichen Dentin und Schmelz. Der Speichel remineralisiert die betroffenen Stellen nach etwa 30 Minuten. Putzt man vorher die Zähne mit Zahnpaste, so werden die aufgeweichten Stellen wegpoliert.
72-jährige Patientin (11.01.2021 / 670)
Anamnese: Die Patientin hat schon bei fast allen oberen und einigen unteren Zähnen Zahnhalsfüllungen.
Die Rillen machen die zweite Ursache der Zahnhalsdefekte deutlich: das Knirschen.
Beim Knirschen entstehen mechanische Spannungen im Zahnhals und beeinträchtigen seine Oberfläche. Die Richtung der Wellen resultiert aus dem Verlauf der Spannungsmaxima und dem Verlauf der Putzbewegungen.
Rätselhaft sind zwei Dinge: das Bisschen Zahnstein im Kerbgrund von +2, und die grossen Flächen ohne Wellenmuster.

70-jähriger Patient (28.09.2022 / 8048)
Anamnese: Der Patient putzt seine Zähne eigentlich immer gut.
Offensichtlich ist der Kerbgrund ein ideales Biotop für viele Bakterien.
Die Folge ist unweigerlich neben der mechanischen Spitzenbelastung noch eine Schwächung der Apatitkristalle im Kerbgrund durch bakterielle Säuren.

74-jähriger Patient (12.01.2021 / 2390)
Anamnese: Der Zahn +6 ist seit über 20 Jahren elongiert. Der Gegenzahn fehlt schon seit 25-30 Jahren. Die tiefe Kerbe ist wegen starkem Knirschen entstanden in einer Zeit, als das Zahnfleisch noch bis zum Zahnhals reichte. Das dürfte vor 40-50 jahren um 1970 gewesen sein. Damals gründete der Patient sein eigenes Geschäft, welches bis heute erfolgreich ist.
Das Zahnfleisch ist wahrscheinlich wegen der Elongation immer mehr zurückgegangen. Sie begann um 1990 und hat dann den Zahnhals phasenweise weiter entblösst. Die Rezessionsphasen entsprechen den verschieden tiefen Erosionsabschnitten.

Diese Zahnhalsdefekte sind entstanden, weil die Patientinnen oft knirschen und zwei- bis dreimal pro Tag die Zähne mit Zahnpasta putzen.
links: Dieser Defekt ist über einer Komposit-Füllung entstanden, die vor 16 Jahren hergestellt worden ist. 72-jährige Patientin (18.03.2021 / 670)
rechts: Zusätzlich ist hier auch ein kleiner Schaden beim Zahnfleisch entstanden: eine Papille ist fast ganz weggeschabt. Sie wächst wieder nach, wenn die Patienten die Zähne nur noch einmal pro Tag und etwas weniger schwungvoll putzt. 56-jährige Patientin (18.03.2021 / 1035)

Hintergrund: Das Halszäpfchen wird beim Schlucken und Sprechen durch kleine Muskeln und Sehnen sehr präzise bewegt. Auf dem Bild ist die Anatomie dieser Bewegungsvorrichtung sehr schön zu sehen.

39-jähriger Patient (04.02.2019 / 6166)
Hintergrund: Die Zunge erneuert beständig die Oberfläche. Normalerweise geschieht dies überall gleichzeitig. Bei der lingua geographica ist der Erneuerungsprozess unregelmässig.

85-jährige Patientin (01.04.2025 / 8188)
Hintergrund: In den Falten einer lingua plicata befinden sich immer winzige Speisereste. Diese können immer wieder mal zu einer kleinen Entzündung führen, wenn man die Zunge nicht gut putzen kann (mit einer Zungenbürste oder einem Zungenschaber usw.).

35-jähriger Patient (06.11.2018 / 1815)
Hintergrund: Nicht alle Raucher bekommen so eine schwarze Zunge. Die Farbe stammt von den Aschepartikeln der Zigaretten. Sie sind ein wenig giftig. Und sie schwärzen auch die Lunge. Mit der Zeit können sie Krebs verursachen. Das lässt sich statistisch beweisen. Aber im Einzelfall kann man es nicht voraussagen. Und bekanntlich stirbt die Hoffnung zuletzt (dass man wie Helmut Schmidt trotz Rauchen reich, glücklich und uralt wird).
Was tun? Der Konflikt zwischen den emotionalen ("ich brauche eine Zigi") und vernünftigen Gehirnabschnitten ("ich sollte nicht rauchen") ist allbekannt. Es stellt sich immer mehr heraus, dass wir Menschen die "Realität" nur äusserst bruchstückhaft erfassen können und deshalb wohl gesamthaft scheitern werden. Dagegen ist eine Zigarette wie ein "besser den Spatz in der Hand als die Taube auf dem Dach", ein bescheidenes kleines momentanes Glücksgefühl. Der Patient ist ab dem Bild etwas erschrocken und nahm sich vor, das Rauchen zu reduzieren.

rechts: 13-jährige Patientin (24.09.2025 / 8907)
Hintergrund: Beim Cloves-Syndrom entstehen gutartige zusätzliche Auswüchse an vielen Orten im Körper. Auf der Haut bilden sich beispielsweise Muttermale ganz verschiedener Form, die beiden Beine können verschieden lang sein, und der Unterkiefer kann links und rechts unterschiedlich kräftig auswachsen.
Dieser Zunge hat am Zungenrand links viele kleine weiche warzenähnliche Auswüchse. Sie stören beim Essen nicht, und das Mädchen beisst sich eigentlich auch nie auf die Zunge. Es möchte deshalb diese Naevi nicht operativ korrigieren lassen. Es putzt übrigens seine Zähne vorbildlich und sie gläzen in einem makellosen, selten schönen Zustand.

links: 29-jähriger Patient (06.05.2014 / 4029)
rechts: 32-jährige Patientin (23.06.2016 / 7034)
Hintergrund: Kurze Zungenbändchen werden häufig geschnitten, damit die Zungenspitze sich normal bewegen kann und das Kind normal sprechen lernt.
Dieser Patient hat sich jedoch geweigert. Seine Schwester und seine Mutter haben auch kurze Zungenbändchen.
Bei der Schwester hat der Patient miterlebt, wie sie nach dem Schnitt eine Woche lang Schmerzen hatte. Deshalb hat er sich stets gegen den Schnitt gewehrt.
Das kurze Zungenbänchen stört ihn nicht im Geringsten, und seine Aussprache tönt ganz normal!
Zum Vergleich: ein besonders langes (und schönes) Zungenbändchen.
Kompliziertes Kiefergelenk
Das Kieferköpfchen hat die Form einer quer liegenden Bohne. Seine Oberfläche besteht aus glattem Knorpel. Darüber liegt der Diskus (Gelenkscheibe). Er gleitet beim Mundöffnen zusammen mit dem Köpfchen auf der Vorgleitbahn nach vorne. Der M. pterygoideus lateralis besteht aus mehreren kleinen Muskeln, die das Kieferköpfchen mitsamt dem Diskus links und rechts in Harmonie mit dem Kiefergelenk der anderen Seite auf Zehntelsmillimeter genau bewegen können.
Manchmal wird das Kieferköpfchen krank. Zum Beispiel kann sich der M. pteryg. lat. verkrampfen (etwa nach häufigem nächtlichem Knirschen). Dann gleitet der Diskus ruckartig nach vorne und kann beim Mundöffnen ein Knackgeräusch erzeugen. In extremen Fällen entsteht im Kiefergelenk eine Arthrose. Weil das Gelenk direkt ans Ohr grenzt, können solche Erkrankungen auch Ohrenschmerzen und/oder einen Tinnitus verursachen.
Linkes Kiefergelenk, 51-jährige Patientin (07.06.2010 / 1239)
Beachte den breiten Raum zwischen dem Kieferköpfchen und der Gelenkpfanne. In diesem Raum befindet sich die Gelenkscheibe. Sie ist aus Knorpel, und mehrere kleine Muskeln sorgen dafür, dass sie immer mitten auf dem Kieferköpfchen sitzt.
Schneiden und komprimieren konnte ich das Video bei https://products.aspose.app/video/compress. 😊
Schnitt Nr. 1 und 180: Frontalschnitt.
links: innen, rechts: aussen
Schnitt Nr. 90: Sagittalschnitt. Hier ist auch der Gehörgang zu sehen, der sich direkt hinter dem Kiefergelenk befindet.
links: vorne, rechts: hinten
Schnitt Nr. 45: Längsschnitt durch das Kieferköpfchen und durch die Vorgleitbahn (45° nach innen/vorne gedreht).
links: Vorgleitbahn
Schnitt Nr. 160: Querschnitt durch das Kieferköpfchen und zur Vorgleitbahn.
links: aussen, rechts: innen
Linkes Kiefergelenk, 64-jährige Patientin (18.08.2022 / 1207)
Beachte die Defekte im Knorpel (an der Oberfläche) und im Knochen (darunterliegend). Sie befinden sich vorwiegend oben-vorne-aussen.
Anamnese: Die Schmerzen im Kiefergelenk haben vor 2 Monaten begonnen. Dazu kam ein lautes, schmerzhaftes Knackgeräusch beim Öffnen. Durch eine manuelle Kiefergelenkstherapie verminderte sich der Schmerz auf 50%. Es wird noch eine Hypnotherapie gegen das nächtliche Knirschen folgen.
Schnitt Nr. 1 und 180: Frontalschnitt.Die Gelenkscheibe ist stellenweise ganz resorbiert, so dass sich Kieferköpfchen und Gelenkpfanne berühren.
links: innen, rechts: aussen
Schnitt Nr. 90: Sagittalschnitt.
links: vorne, rechts: hinten
Schnitt Nr. 45: Längsschnitt .
links: Vorgleitbahn
Schnitt Nr. 160: Querschnitt durch das Kieferköpfchen und zur Vorgleitbahn.
links: aussen, rechts: innen

links: 83-jährige Patientin (20.07.2020 / 5937)
Hintergrund: Die Patientin trug diese Prothese schon viele Jahre ohne Problem. Nun ist sie dement, und plötzlich hat sich ihr Gaumen unter der Prothese entzündet.
Ursachen: Diese Prothesenstomatitis wird wahrscheinlich durch Druck, Metallionen, Bakterien, medikamentös bedingte Mundtrockenheit und ungenügende Reinigung verursacht.
Die Prothese sollte nicht mehr getragen werden.

65-jährige Patientin (18.02.2025 / 4718)
Hintergrund: Die Patientin spürt seit Monaten ein komisches Gefühl bei der 20 Jahre alten Porzellanbrücke und manchmal einen üblen Geruch darunter. Vor einer Woche entstanden einige Bläschen am Gaumen, und vor zwei Tagen diese etwas schmerzhafte Schwellung. Der linke submandibuläre Lymphknoten und linke Halsseite sind druckdolent.
Ursachen: Undichter Rand der Porzellanbrücke und Wasseraufnahme des Zementes. Subgingivaler Zahnstein (bei +7 mes). Allergie gegen Hausstaub und Nickel. Momentan grosser Stress.

Therapie:
links: Die Brücke wird geschlitzt und dann mit minimaler Kraft abgezogen. Auf der Papille distal der Brücke liegt nur ein ganz kleines Tröpfchen Eiter.
Mitte: Bei +7 ist der Zement (Zinkphosphatzement) feucht, weich, braun und riecht ganz kalt-abstossend. Der Geruch ist ganz anders wie bei infizierten Wurzelkanälen, die eher lebhaft beissend-stinkig sind.
rechts: 12 Stunden nach Entfernung der Brücke, Inzision und Zahnstein-Entfernung. Der +7 hatte mesial einen rauhen Belag auf den Wurzeln bis 8 mm subgingival. Die kaltempfindlichen Pfeiler wurden mit Ketac™Cem bedeckt.

Heilung:
links: Als erstes musste die Kaufähigkeit wieder hergestellt werden. Deshalb machte ich auf +5 eine Kompositkrone.
Mitte oben: Der Heilungsverlauf des Zahnfleisches zwischen +5 und +7 verlüuft ganz normal trotz der Belastung
beim Kauen.
Der fehlende Kontakt bei +7 führte zu einer Überlastung von +5.
Deshalb erhöhte ich den +7 mit Ketac™Cem, was das Kaugefühl sofort verbesserte. Die Patientin
meinte, sie habe jetzt wieder 25% der früheren Kauleistung mit der Brücke.
Mitte unten: Die Okklusion von +5 ist noch nicht optimal. Sie wird sich wegen der ähnlichen Härte von Komposit und Schmelz automatisch verbessern (im Gegensatz zu den zu harten Kauflächen aus Metall und Keramik).

44-jährige Patientin (17.06.2021 / 6404)
Diese Zahnstellung ist eine Mischung zwischen der normalen Zahnstellung und dem Deckbiss

59-jährige Patientin (19.05.2021 / 541)
Die Frontzähne werden nicht oder kaum benutzt.
Diese Zahnstellung kann sich auch nach einer Operation mit Verschiebung des Ober- und Unterkiefers nach einigen Jahren wieder einstellen. Der Rückfall geschieht wahrscheinlich wegen dem Druck der Muskulatur (Zunge, Lippen, Wangen).

37-jährige Patientin (20.05.2021 / 8149)
Das fliehende Kinn wird mit wenig Willensstärke und viel Anpassungsbereitschaft assoziiert.
Der Frontzahn-Tastsinn ist zwar vorhanden, wird jedoch seltener benutzt.
Der Biss ausschliesslich auf die hinteren, starken Zähne kann auch die gegenteilige Entwicklung einer kraftvollen, stets rasch entschlossenen Handlungsweise begünstigen.
Berühmte Leute: Walter Roderer (Komödiant), Mao Tsetung (China)

51-jähriger Patient (18.05.2021 / 3026)
Bei diesem extremen Tiefbiss führt der Vorbiss vor allem nach unten und kaum nach vorne. Deswegen bleiben die hinteren Kaumuskeln beim Frontzahn-Tasten ziemlich dominant. Die unteren Zähne zeigen entsprechend stark (etwa 2 mm tief) abgeschliffene Schneidekanten.

Ein Zahn ist wie ein eingemauerter Balken. Die Wurzel (W) ist eingemauert, und die Krone (K) ist der aus der Mauer herausragende Teil des Balkens. Trifft eine Querkraft (Q) auf die Krone, so wird sie beim Zahnhals abgebogen. Deshalb entstehen dort
- Spannungsspitzen
- keilförmige Defekte (k.Def)
- Absplitterung (A, ganz selten)
28-jähriger Patient (23.01.2025 / 5252)
Bei diesem extremen Tiefbiss führte die Balkenbiegung zum Absplittern eines kleinen Teils des labialen Schmelzrandes. Zusätzlich ist eine ganz feine, schmale zentral liegende vertikale Abrasion sichtbar. Diese wird sich mit den Jahren zu einem feinen, dunklen Schmelzriss entwickeln. Schuld sind die unteren Frontzähne, die wegen ihrer Zahnstellung einen ausserordentlich grossen Druck auf die oberen Frontzähne bewirken.
Beim Deckbiss schieben die unteren Frontzähne beim Abbeissen sehr stark gegen die oberen Frontzähne. Diese werden entsprechend stark gemäss dem Gesetz der Balkenbiegung nach vorne verbogen. Häufig entstehen deshalb bei den Zahnhälsen keilförmige Defekte. In diesem Fall ist sogar ein kleines Stück des Schmelzrandes abgesplittert.

61-jährige Patientin (24.05.2021 / 4718)
Die Frontzähne haben die Unterlippe immer wieder etwas wund gerieben. Zuletzt half nur eine Bisserhöhung um etwa 2 mm. Einige Wochen nach der Bisserhöhung sind sowohl das Kiefergelenk-Knacken verschwunden als auch die morgendliche Verspannung der Wangenmuskulatur.

24-jähriger Patient (31.05.2021 / 8071)
Beim Kreuzbiss ist der Frontzahn-Tastsinn unmöglich. Nur manchmal entsteht beim Kauen ein feiner Frontzahnkontakt.
Oft ist das Kinn vorstehend, was einen dominanten und einen eher unsensiblen Charakter suggeriert.
Bekannte Leute sind Arnold Schwarzenegger in seinen Action-Filmen sowie Brian Carlos, der schwierigste Häftling der Schweiz.

56-jährige Patientin (06.07.2021 / 2138)
Genau genommen ist bei dieser Zahnstellung die linke Seite (+234, rechts im Bild) im Kreuzbiss verzahnt und die rechte Seite (432+) normal verzahnt. Der Übergang vom Kreuzbiss zum Normalbiss findet bei den mittleren Schneidezähnen (1+1) statt, welche im Kopfbiss stehen.

Genetik
13-jährige Patientin (05.02.2025 / 6675)
Die Zahnstellung des Mädchens ist sehr ähnlich wie jene ihres Grossvaters.
Laut
Current Biology sind unter anderem die Gene EDAR, PITX2 und HS3ST3A1 dafür verantwortlich.
Andere Gene beeinflussen die Gefühle.
So wollten beide, der Grossvater und seine Enkelin, Ihre Zahnstellung gleichermassen verändern.

60-jähriger Patient (06.06.2016 / 2583)
1995: Der Zahn hatte eine Art Wurzelfüllung und Schmerzen. Ich habe sie revidiert, die Schmerzen verschwanden, und mit AH26 und Guttastiften verschlossen.
2016: Wegen Schmerzen öffnete ich den Zahn erneut. Am Zahnfleischrand auf der Innenseite des Zahnes trat im Laufe der ersten Behandlung ein kleiner Tropfen Eiter heraus, und aus dem eröffneten Zahn quoll Blut mit Gasbläschen heraus. Offenbar hinterliess meine Revision von 1995 noch viele Bakterien in den Wurzelkanälen. Sie bildeten im Laufe von 20 Jahren ein übel riechendes Gas in der Wurzel neben der alten Wurzelfüllung.
Bei der zweiten Sitzung sind die Schmerzen verschwunden und ich füllte ab mit AH Plus und Guttapercha. Aber es trat wieder ein Tropfen Eiter am gaumenseitigen Zahnfleischrand heraus. Offenber hat der Zahn noch ein Problem.

62-jähriger Patient (09.07.2015 / 1743)
Anamnese: Der Patient hat 1985 eine Wurzelfüllung mit AH26 und Guttastiften bekommen. Er bekam einen Amalgamaufbau, welcher 1996 durch Tetric ersetzt wurde. Allmählich stellte sich diese Schwarzverfärbung ein.
Hintergrund: Die Schwarzverfärbung ist eine Ansammlung von dunklen Pigmenten. Sie reicht meistens nicht tief unter das Zahnfleisch. Folglich stammt die Farbe nicht vom Knochenfach, sondern von der Mundhöhle. Es gibt noch keine Methode, um die Schwarzverfärbung zu verhindern. Aber im Prinzip sollte sie von der Mundhöhle aus wieder rückgängig gemacht werden können (Bleaching). Sie führt zu keinen Rissen und Frakturen (im Gegensatz zur Schwarzverfärbung wegen Amalgam).
64-jähriger Patient (02.10.2018 / 1697)
Hintergrund: Starke Parodontitis, stets Beläge unter dem Zahnfleischrand, immer wieder tiefe Karies. Beim Zahn 27 entstand eine grosse Schwellung am Gaumen. Sie platzte nach zwei Tagen auf und hinterliess eine angeschwollene blaue Fistel.
31.10.2017: Blaue Fistel am Tag der ersten Wurzelbehandlung. Ich fand nur einen Wurzelkanal.
09.11.2017: Zweite Wurzelbehandlung wegen anhaltendem Schmerz. Nun fand ich den zweiten Wurzelkanal.
28.6.2017: Wurzelfüllung. Im palatinalen Kanal fand ich eine Perforation nach distal. Und am distobukkalen Gingivalrand erschien ein Eitertröpfchen.
02.10.2018: Fistel ein Jahr später. Sie scheint ausgeheilt zu sein.

63-jährige Patientin (13.09.2018 / 3493)
Hintergrund: Wurzelfrakturen entstehen etwa bei jeder 100. Wurzelfüllung.
Entstehen die Wurzelfrakturen
Die nebenstehenden Bilder deuten auf ein Austrocknungsphänomen. Nicht nur Dentin, auch Knochen verliert im Alter Wasser und wird brüchig.

78-jährige Patientin (13.09.2018 / 1057)
Hintergrund: Die Patientin leidet seit Jahren an einer extremen Mundtrockenheit wegen Medikamenten und wegen der Sauerstoffmaske, die sie zum Schlafen aufsetzen muss. Dadurch entstand in den letzten Jahren an einigen Zähnen so tiefe Karies, dass man sie nicht mehr retten kann. Deshalb möchte die Patientin jetzt eine Teilprothese.

Hintergrund: Die Wurzelfrakturen entstehen nicht nur wegen Überlastung des Zahnes, sondern auch wegen Austrocknung des Dentins. Dieser Molar hat nach drei Tagen Lagerung an der Luft an der ganzen Oberfläche lauter kleine, netzartig zusammenhängende feine Risse bekommen. Es ist eine Craquélierung der Oberfläche und keine Zahnfraktur. Sie entsteht bei allen Zähnen, die an der Luft getrocknet werden. Das Ausmassist jedoch verschieden.
Der lange dunkle Riss wird durch die Amalgamfüllung verursacht. Er ist trotz der Austrocknung nicht breiter geworden.

85-jährige Patientin (21.01.2025 / 242)
Die Ränder der beiden Kronen sehen auf dem Röntgenbild unverdächtig aus. Sie reichen etwa 2 mm tief unter das Zahnfleisch. Das hat das ganze Leben lang nie geschadet. Aber jetzt ist beim 15 (links im Bild) eine kleine Fistel auf der Höhe des Kronenrandes entstanden. Nachdem er weggeschliffen war hat sich die Region beim Fingerdruck sofort besser angefühlt.

79-jähriger Patient (13.09.2022 / 6311)
Bakterien produzieren stets nur einen weichen Biofilm. Der Speichel verkalkt ihn zu Zahnstein.
Und der Zahnstein verursacht Parodontitis. So die übliche Denkweise.
Es sind aber immer nur die Bakterien, welche das Zahnfleisch entzünden.
Sie befinden sich in und stets auch auf dem Zahnstein.
links: Der Zahn wackelte sehr fest wegen maximalem Zahnfleischschwund. Es sind sehr dicke Beläge zu sehen, aber wo ist der Zahnstein?
rechts: Der Zahn wurde kurz unter Wasser mit einer Zahnbürste gereinigt. Ein grosses Loch ist zum Vorschein gekommen, aber absolut kein Zahnstein. Dieser Patient hat einen Speichel, der keinen Zahnstein produziert, und trotzdem − oder gerade deswegen? − hat er maximal viel Zahnfleischschwund.

82-jähriger Patient (22.06.2021 / 2728)
Zahnstein ist verkalkter Biofilm. Er dient zur Abwehr der Bakterien. Dabei wachsen oft spitzige Stacheln. Dieser "biologische Kalk" ist fast doppelt so hart als Kalkstein (Kalziumcarbonat, CaCO3), Mohshärte 3) und ist ein Hydroxylapatit (Ca5[OH|(PO4)3], Mohshärte 5). Apatit entsteht überall im Körper (Knochen, Zahn, Zahnstein, Arterienverkalkung, Nierenstein usw.).

73-jährige Patientin (23.09.2019 / 5468)
Pankreas-Tumor vor 10 Jahren, Raucherin bis vor 8 Jahren, dann Rauchstopp nach Herzinfarkt. Wegen Parodontitis bereits fünf Zähne im Oberkiefer verloren, im Unterkierfer drei Zähne geschient. Mundhygiene nicht perfekt.
links: Zahn +6, Ansicht von vorne. Extrem viel Biofilm, aber fast kein Zahnstein.
rechts: Ansicht von hinten.
67-jähriger Patient (05.12.2024 / 1414)
Die Parodontitis löst die Zähne vom Knochen, und dann beginnen sie zu wackeln.
Ein fester Zahn hat die Zahnbeweglichkeit 0.
Der Film zeigt die maximale Zahnbeweglichkeit 4. Wenn der Patient den Zahnstein entfernen lässt und dann eine Mundhygiene mit Interdentalbürsten macht, wird der Zahn wieder fester.

26-jähriger Patient (27.06.2019 / 7563)
Dieser junge Iraner hat pro Tag 2 Pakete Zigaretten geraucht. Das Nikotin dringt in die Mundschleimhaut ein. Die Gefässe verschliessen sich sofort, um das Blut zu schützen. Nun kann aber die Immunabwehr nicht mehr ins Zahnfleisch, und die Zahnsteinbakterien unter dem Zahnfleisch haben freie Hand. Ohne die Immunabwehr vermehren sich die Bakterien extrem schnell.
links: Zahn -5, Ansicht von hinten
rechts: Ansicht von vorne.

104-jährige Patientin (14.06.2018 / 5584)
Das Wechselspiel zwischen Bakterien, Speichel, Sulcusfluid, Mundtrockenheit, Ernährung und Mundhygiene ist ausschlaggebend bei der Zahnsteinbildung.
Nicht nur das hohe Alter, auch die Kombination dieser Faktoren ist bei dieser Patientin einzigartig. Und der Unterschied zwischen den mittleren und seitlichen Schneidezähnen ist besonders frappant. Man muss annehmen, dass eine minimale Abweichung zwischen zwei Zähnen nach einigen Jahren zu enormen Unterschieden führen kann.

58-jährige Patientin (30.01.2017 / 6610)
Die Ernährung hat auch einen Einfluss auf die Zahnsteinbildung. Diese Patientin jedenfalls trinkt viel Milch und isst viel Käse und Yoghurt. So hat sie immer viel Calzium im Blut, und Zahnstein ist Calzium-Phosphat. Auf dem Bild rechts sind die einzelnen Kristallisationszentren gut sichtbar.
Natürlich spielt auch die Mundhygiene eine Rolle. Die Patientin putzte so vorsichtig, dass die Bürste die Hinterseiten der Frontzähne kaum berührt hat!

66-jährige Patientin (20.10.2021 / 1806)
Zahnstein ist die Verkalkung von Bakterienbelägen. Der Speichel bringt die Calzium- und Phosphationen, welche an den Bakterien kleben bleiben, zu Apatit kristallisieren und so eine Kalkschicht bilden. Sie dient zur Abwehr der Bakterien.
Schwarzer Zahnstein, auch "Black stain" genannt, entsteht wegen spezifischen Bakterien,
welche zusammen mit anderen Ionen aus dem Speichel die Schwarzverfärbung verursachen. Black-stain ist ein dünner Zahnstein, und schon Kinder können ihn haben.
Die Schwarzverfärbung kann auch von Lebensmitteln kommen, zum Beispiel von Grüntee.
Der weisse Zahnstein ist dick. Hier befinden sich andere Bakterien als nebendran im schwarzen Zahnstein.

59-jährige Patientin (26.08.2019 / 6117)
Sobald sich Zahnstein in einer Furkation befindet, kann man ihn nicht mehr richtig entfernen und ist der Zahn mittel- bis kurzfristig verloren.
links: Zahn +6 von vorne gesehen. Braun-schwarz: Zahnstein bis zur Wurzelspitze. Der Nerv in dieser Wurzel ist tot. Fleisch zwischen den Wurzeln: Granulom. Der Knochen vorne am Zahn und zwischen den Wurzeln ist vollst&aulml;ndig aufgelöst.
rechts: Zahn +6 von oben gesehen, Granulom entfernt. Der Zahnstein hat sich auch zwischen den Wurzeln ausgebreitet.
Die Furkation ist ein unzugänglicher Hohlraum zwischen den Wurzeln, den man nicht reinigen kann. Es gibt kein Instrument, das den Zahnstein und die Bakterien in der Furkation restlos herausputzen kann.

58-jähriger Patient (22.08.2019 / 6723)
Auch die Siebner haben eine Furkation und gehen manchmal wegen Zahnstein kaputt.
links: Zahn 7+ von hinten gesehen. Schwarz: Zahnstein. Fleisch zwischen den Wurzeln: Granulom. Es hat den Knochen zwischen den Wurzeln vollständig aufgelöst.
rechts: Zahn 7+ von oben gesehen, Granulom entfernt.
Beachte:
Die Zahnstein-Bakterien machen absolut keine Karies...

59-jährige Patientin (04.10.2018 / 1958)
Die Patientin hat seit einigen Jahren Diabetes. Er ist eingestellt. Trotzdem bekamen die beiden Backenzähne 7+7 unter dem Zahnfleisch viel Zahnstein. Er wuchs zwischen den Wurzeln und bis zur Wurzelspitze. Dort kann man ihn unmöglich wieder entfernen. Beide Zähne wurden so locker, dass die Patientin sie nicht mehr wollte.
links: Zahn +7, Ansicht von hinten
rechts: Ansicht von vorne (beachte die kleine Karies unter der Füllung).
Erstaunlicherweise ist nur die wangenseitige Wurzel befallen.

45-jähriger Patient (29.10.2020 / 5933)
Der Patient konnte rechts monatelang nicht mehr kauen. Prompt entstand Zahnstein auf den unbenutzen Kauflächen. Grund: die Wurzel unter der Goldkrone war gespalten:

61-jährige Patientin (02.03.2020 / 6610)
Diese unteren Frontzähne haben maximal viel Zahnstein. Ohne den Zahnstein sind die Zähne extrem locker, dass sie sofort auszufallen scheinen.
Die Patientin hat keine Schmerzen und meint, sie spüre nichts vom Zahnstein und putze immer gut.
Es ist eine tröstliche Tatsache, dass auch schwerste Parodontitis oft kein bisschen schmerzt.
Behandlung: prov. Schiene für die Zähne, Zahnstein wegbohren und Abdruck.
Ein Woche später: alle lockeren Zähne entfernen und Teilprothese einpassen.

73-jährige Patientin (07.05.2024 / 7168)
Die Patientin ist sich nicht bewusst, dass sie so viel Zahnstein hat. Ihrer Ansicht nach putzt sie die Zähne normal. Es könnte sein, dass sich hier eine beginnende Demenz ankündigt.
Sie ist gekommen, weil sie glaubte, dass etwas von einer Füllung abgebrochen sei. In Wirklichkeit war es ein bisschen Zahnstein. Die Stelle wird sich in kurzer Zeit wieder "normal" anfühlen.
Eine Zahnsteinentfernung wäre eine grosse Veränderung für die Zunge und beim Essen. Die vielen zu erwartenden Speisereste könnten die Patientin stören, und sie würde diese kaum gut putzen. Sie wollte deshalb erst mal abwarten.

66-jährige Patientin (10.11.2022 / 6617)
links: Das Röntgenbild zeigt den Zahn 24 mit einer Porzellankrone und einer kurzen Schraube im Wurzelkanal. Der Knochen über der Wurzel ist dunkel. Das ist ein entzündliches Granulom, das die Bakterien abwehrt, die aus der Wurzel herauskommen.
Mitte: Die Schraube konnte entfernt werden (es ist eine Messingschraube), und die Wurzelkanäle konnten geputzt werden. Dann wurden sie mit einem Antibiotikum abgefüllt (Ledermix).
rechts: Die Vergrösserung zeigt, dass die Schraube mit Zahnstein bedeckt ist. Dieser verursacht das Granulom.
Ist es nicht erstaunlich, dass Bakterien jeden kleinsten und verborgensten Ort der Welt finden und sich dort sogar noch vermehren können, wenn es Platz hat? Die Wurzelfüllung enthielt das antibiotische Eugenol (Nelkenöl). Sein Nachteil ist, dass es verdunstet. Deswegen schrumpft der Eugenol-Zement und gibt Platz frei für Bakterien. Diese haben einen grossen Einfluss auf unser Leben.

(Patient ca. 50-jährig)
links: Das Implantat musste entfernt werden, weil es sich gelockert hat.
rechts: Die Vergrösserung zeigt, dass Zahnstein am Implantat klebt. Dieser Zahnstein berührt direkt den Knochen, weshalb er dann abgebaut wird und sich das Implantat lockert.